×
Pour une meilleure utilisation, nous vous conseillons d’activer Javascript dans votre navigateur.
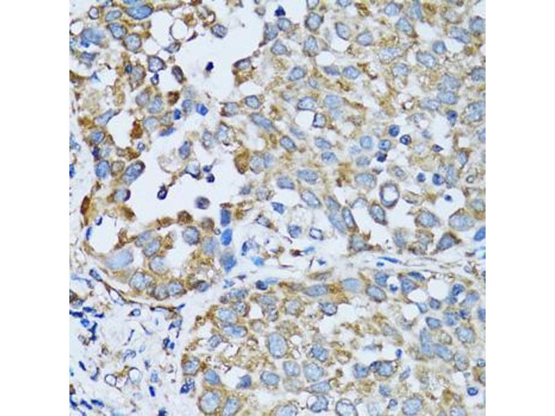
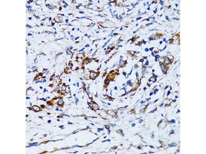
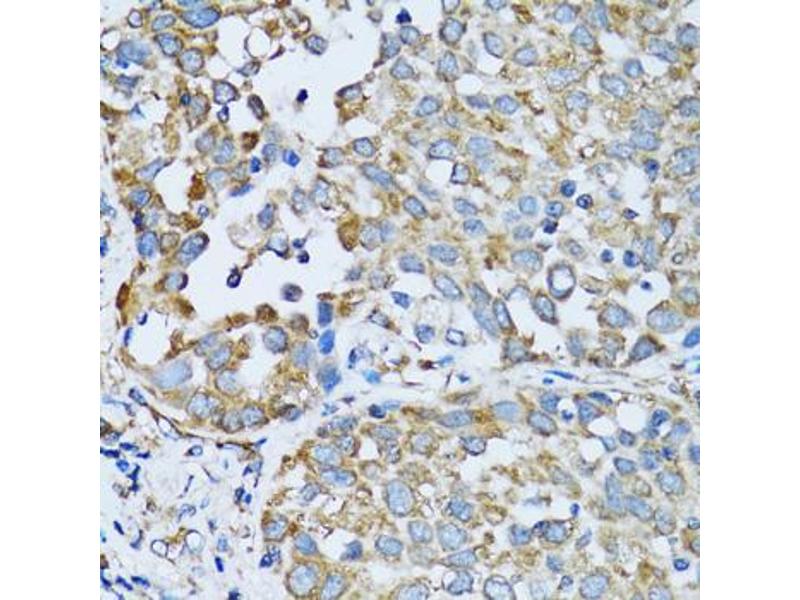
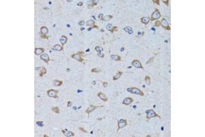
RARS anticorps
Cet anticorps anti-RARS Polyclonal Lapin (ABIN2968950) détecte spécifiquement RARS dans WB, IHC et IF/ICC.
L’anticorps est réactif avec des échantillons de Humain, Souris et Rat.
N° du produit ABIN2968950
954,16 €
Plus frais de livraison 40,00 € et TVA
60 μL ABIN2968949
120 μL ABIN2923273
200 μL ABIN2968950
60 μL ABIN2968949
120 μL ABIN2923273
200 μL ABIN2968950
Envoi sous 7 à 13 jours ouvrables
Aperçu rapide pour RARS anticorps (ABIN2968950)
Antigène
Voir toutes RARS Anticorps
RARS
(Arginyl-tRNA Synthetase (RARS))
Reactivité
Toutes les réactivités sur RARS Anticorps
Humain, Souris, Rat
Hôte
Toutes les hôtes sur RARS Anticorps
Lapin
Clonalité
Toutes les clonalités sur RARS Anticorps
Polyclonal
Conjugué
Tous les conjugués à travers RARS Anticorps
Cet anticorp RARS est non-conjugé
Application
Tous les applications à travers RARS Anticorps.
Western Blotting (WB), Immunohistochemistry (IHC), Immunofluorescence (fixed cells) (IF/ICC)
Chat with us , powered by LiveChat