×
Pour une meilleure utilisation, nous vous conseillons d’activer Javascript dans votre navigateur.
Multimerin 1 anticorps
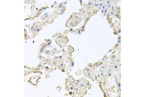
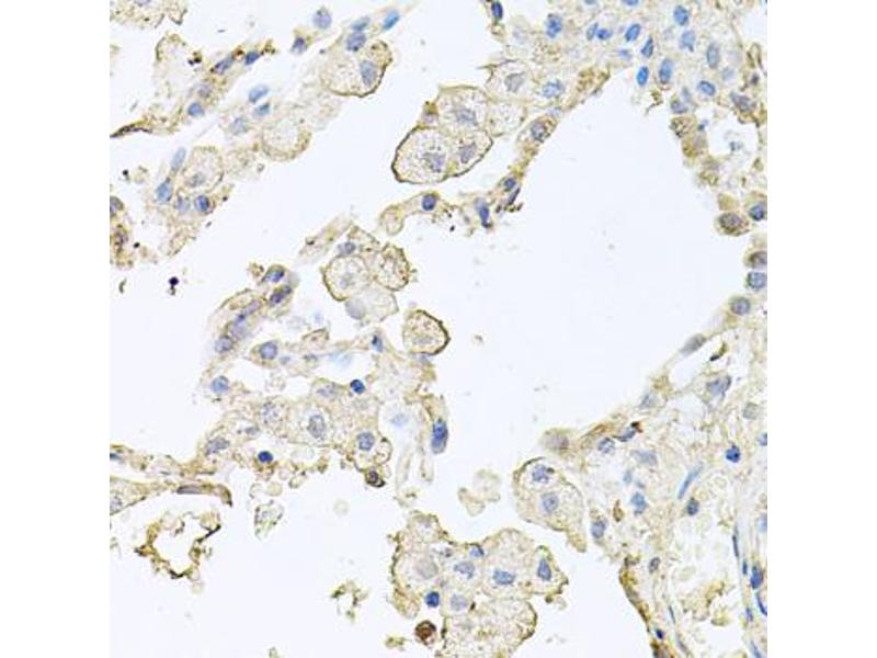
Cet anticorps anti-Multimerin 1 Polyclonal Lapin (ABIN2969720) détecte spécifiquement Multimerin 1 dans WB, IHC et IF/ICC.
L’anticorps est réactif avec des échantillons de Humain et Souris.
N° du produit ABIN2969720
678,88 €
Plus frais de livraison 40,00 € et TVA
20 μL ABIN5974009
2 x 100 μL ABIN2915230
100 μL ABIN2969720
20 μL ABIN5974009
2 x 100 μL ABIN2915230
100 μL ABIN2969720
Envoi sous 7 à 13 jours ouvrables
Aperçu rapide pour Multimerin 1 anticorps (ABIN2969720)
Antigène
Voir toutes Multimerin 1 (MMRN1) Anticorps
Multimerin 1 (MMRN1)
Reactivité
Toutes les réactivités sur Multimerin 1 Anticorps
Humain, Souris
Hôte
Toutes les hôtes sur Multimerin 1 Anticorps
Lapin
Clonalité
Toutes les clonalités sur Multimerin 1 Anticorps
Polyclonal
Conjugué
Tous les conjugués à travers Multimerin 1 Anticorps
Cet anticorp Multimerin 1 est non-conjugé
Application
Tous les applications à travers Multimerin 1 Anticorps.
Western Blotting (WB), Immunohistochemistry (IHC), Immunofluorescence (fixed cells) (IF/ICC)
Détail du produit anti-Multimerin 1 anticorps
(cache)
Purification
Affinity purified
Immunogène
Recombinant protein of human MMRN1.
Isotype
IgG
Alternatives
(show)
Information d'application
(cache)
Indications d'application
Optimal working dilution should be determined by the investigator.
Restrictions
For Research Use only
Stockage
(cache)
Format
Liquid
Concentration
> 1.26 mg/mL
Buffer
PBS, pH 7.3, 0.02 % sodium azide, 50 % glycerol.
Agent conservateur
Sodium azide
Précaution d'utilisation
This product contains Sodium azide: a POISONOUS AND HAZARDOUS SUBSTANCE which should be handled by trained staff only.
Stock
-20 °C
Stockage commentaire
Aliquot and store at -20 °C. Avoid repeated freeze/thaw cycles.
Détails sur Multimerin 1
(cache)
Antigène
Multimerin 1 (MMRN1)
Autre désignation
MMRN1
Poids moléculaire
Calculated MW: 58 kDa/138 kDa Observed MW: 138 kDa
ID gène
22915
UniProt
Q13201
Vus récemment
(cache)
Chat with us , powered by LiveChat