Tel:
+49 (0)241 95 163 153
Fax:
+49 (0)241 95 163 155
E-Mail:
orders@anticorps-enligne.fr

SUB1 anticorps

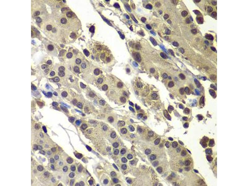
Cet anticorps anti-SUB1 Polyclonal Lapin (ABIN2970385) détecte spécifiquement SUB1 dans WB, IHC, IP et IF/ICC. L’anticorps est réactif avec des échantillons de Humain et Souris.
N° du produit ABIN2970385
954,16 €
Plus frais de livraison 40,00 € et TVA
Destination: France
Envoi sous 7 à 13 jours ouvrables

Aperçu rapide pour SUB1 anticorps (ABIN2970385)

Antigène

Voir toutes SUB1 Anticorps
SUB1 (Activated RNA Polymerase II Transcriptional Coactivator p15 (SUB1))

Reactivité

  • 39
  • 16
  • 13
  • 7
  • 6
  • 4
  • 3
  • 3
  • 3
  • 2
  • 2
  • 2
  • 2
  • 1
Humain, Souris

Hôte

  • 34
  • 5
Lapin

Clonalité

  • 35
  • 4
Polyclonal

Conjugué

  • 28
  • 3
  • 3
  • 3
  • 1
  • 1
Cet anticorp SUB1 est non-conjugé

Application

  • 33
  • 19
  • 18
  • 11
  • 5
  • 5
  • 2
  • 2
Western Blotting (WB), Immunohistochemistry (IHC), Immunoprecipitation (IP), Immunofluorescence (fixed cells) (IF/ICC)
Vous êtes ici:
Chat with us!