×
Pour une meilleure utilisation, nous vous conseillons d’activer Javascript dans votre navigateur.
OGFR anticorps
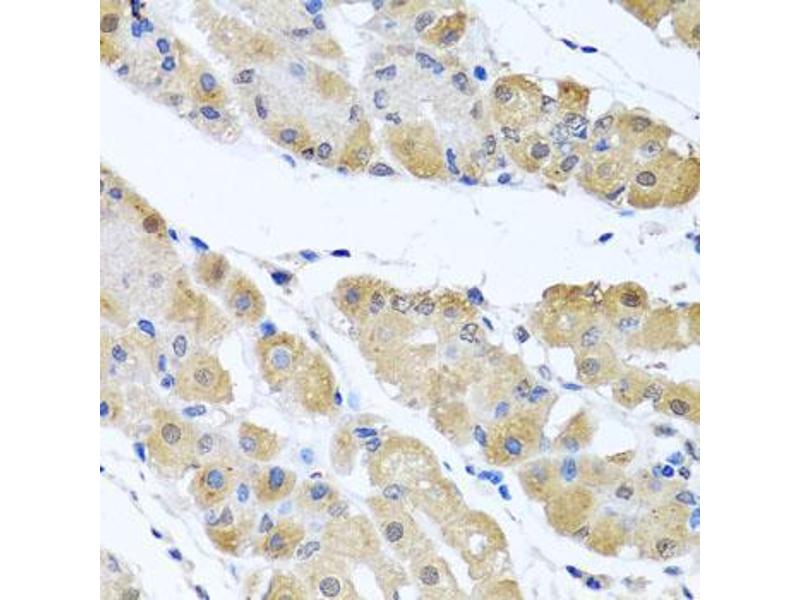
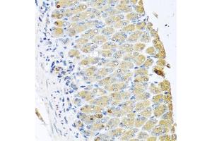
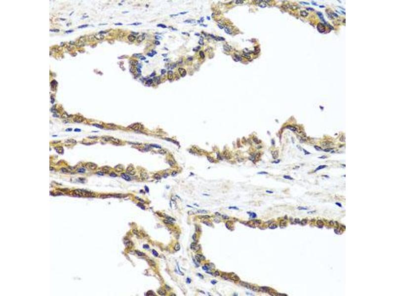
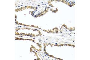
L’anticorps anti-OGFR Polyclonal Lapin est utilisé pour la détection de OGFR dans des échantillons de Humain, Souris et Rat. Il a été validé pour WB, IHC et IF/ICC.
N° du produit ABIN2970393
678,88 €
Plus frais de livraison 40,00 € et TVA
20 μL ABIN5974255
2 x 100 μL ABIN2918157
100 μL ABIN2970393
20 μL ABIN5974255
2 x 100 μL ABIN2918157
100 μL ABIN2970393
Envoi sous 7 à 13 jours ouvrables
Aperçu rapide pour OGFR anticorps (ABIN2970393)
Antigène
Voir toutes OGFR Anticorps
OGFR
(Opioid Growth Factor Receptor (OGFR))
Reactivité
Humain, Souris, Rat
Hôte
Toutes les hôtes sur OGFR Anticorps
Lapin
Clonalité
Toutes les clonalités sur OGFR Anticorps
Polyclonal
Conjugué
Tous les conjugués à travers OGFR Anticorps
Cet anticorp OGFR est non-conjugé
Application
Tous les applications à travers OGFR Anticorps.
Western Blotting (WB), Immunohistochemistry (IHC), Immunofluorescence (fixed cells) (IF/ICC)
Chat with us , powered by LiveChat