Tel:
+49 (0)241 95 163 153
Fax:
+49 (0)241 95 163 155
E-Mail:
orders@anticorps-enligne.fr

AXUD1 anticorps

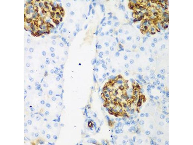
Cet anticorps Lapin Polyclonal détecte spécifiquement AXUD1 dans WB, IHC et IF/ICC. Il présente une réactivité avec des échantillons de Humain, Souris et Rat.
N° du produit ABIN2970493
954,16 €
Plus frais de livraison 40,00 € et TVA
Destination: France
Envoi sous 7 à 13 jours ouvrables

Aperçu rapide pour AXUD1 anticorps (ABIN2970493)

Antigène

Voir toutes AXUD1 (CSRNP1) Anticorps
AXUD1 (CSRNP1) (Cysteine-serine-Rich Nuclear Protein 1 (CSRNP1))

Reactivité

  • 36
  • 4
  • 4
  • 2
  • 2
  • 2
  • 1
  • 1
  • 1
  • 1
Humain, Souris, Rat

Hôte

  • 31
  • 5
Lapin

Clonalité

  • 32
  • 4
Polyclonal

Conjugué

  • 15
  • 1
  • 1
  • 1
  • 1
  • 1
  • 1
  • 1
  • 1
  • 1
  • 1
  • 1
  • 1
  • 1
  • 1
  • 1
  • 1
  • 1
  • 1
  • 1
  • 1
  • 1
Cet anticorp AXUD1 est non-conjugé

Application

  • 14
  • 13
  • 13
  • 11
  • 8
  • 3
  • 3
  • 3
  • 2
  • 1
Western Blotting (WB), Immunohistochemistry (IHC), Immunofluorescence (fixed cells) (IF/ICC)
Vous êtes ici:
Chat with us!