×
Pour une meilleure utilisation, nous vous conseillons d’activer Javascript dans votre navigateur.
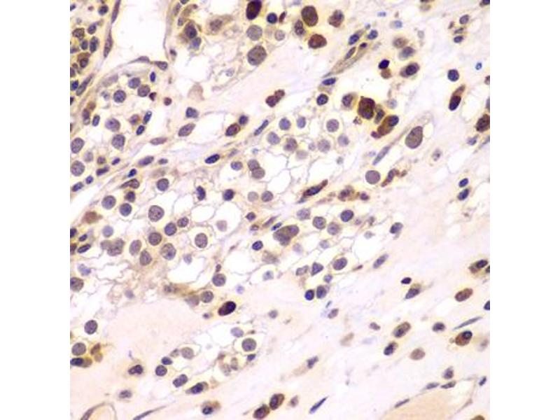
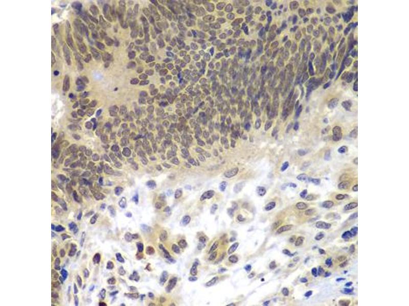
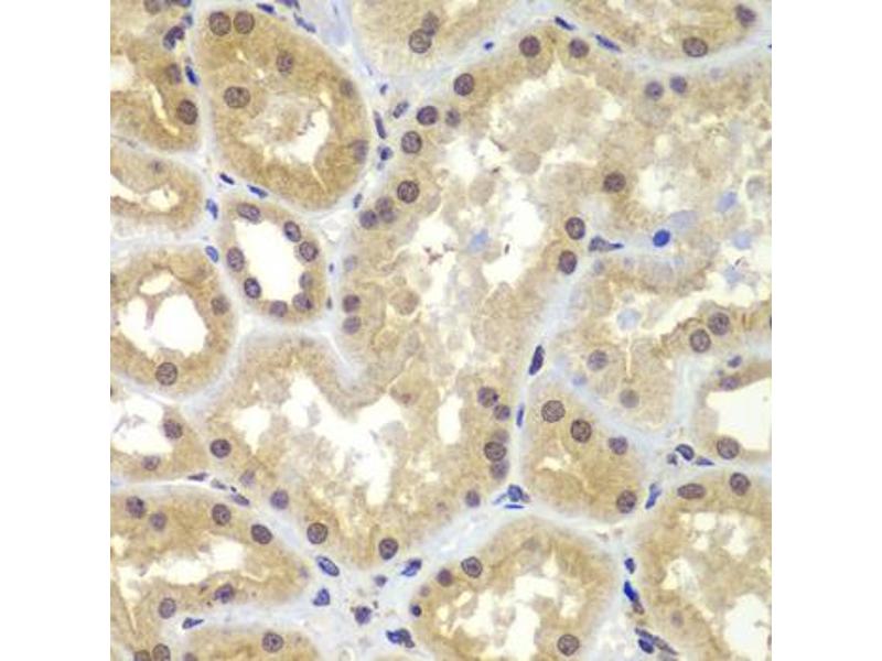
CEBPG anticorps
Cet anticorps Lapin Polyclonal détecte spécifiquement CEBPG dans WB, IHC et IF/ICC. Il présente une réactivité avec des échantillons de Humain, Souris et Rat.
N° du produit ABIN2970738
678,88 €
Plus frais de livraison 40,00 € et TVA
20 μL ABIN5974381
2 x 100 μL ABIN2898527
100 μL ABIN2970738
20 μL ABIN5974381
2 x 100 μL ABIN2898527
100 μL ABIN2970738
Envoi sous 7 à 13 jours ouvrables
Aperçu rapide pour CEBPG anticorps (ABIN2970738)
Antigène
Voir toutes CEBPG Anticorps
CEBPG
(CCAAT/enhancer Binding Protein (C/EBP), gamma (CEBPG))
Reactivité
Toutes les réactivités sur CEBPG Anticorps
Humain, Souris, Rat
Hôte
Toutes les hôtes sur CEBPG Anticorps
Lapin
Clonalité
Toutes les clonalités sur CEBPG Anticorps
Polyclonal
Conjugué
Tous les conjugués à travers CEBPG Anticorps
Cet anticorp CEBPG est non-conjugé
Application
Tous les applications à travers CEBPG Anticorps.
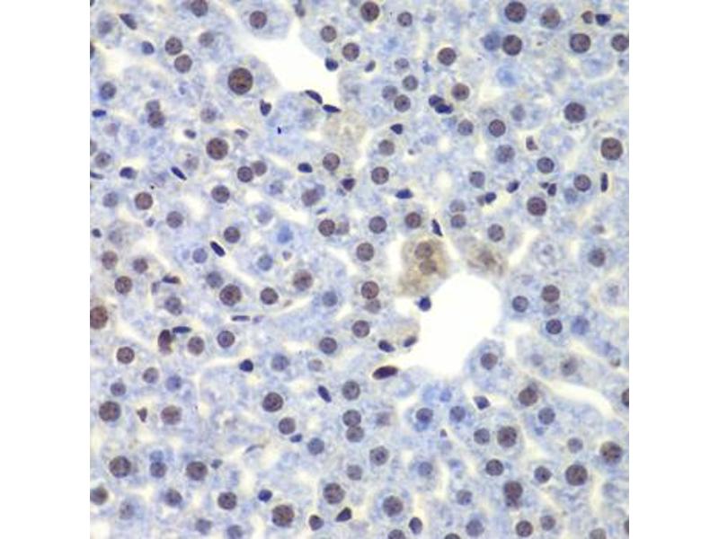
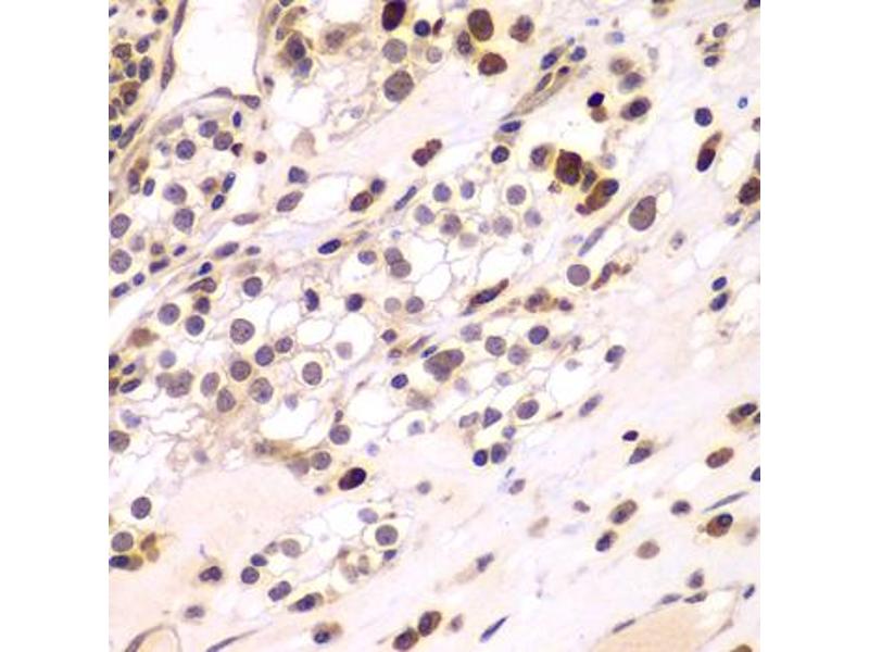
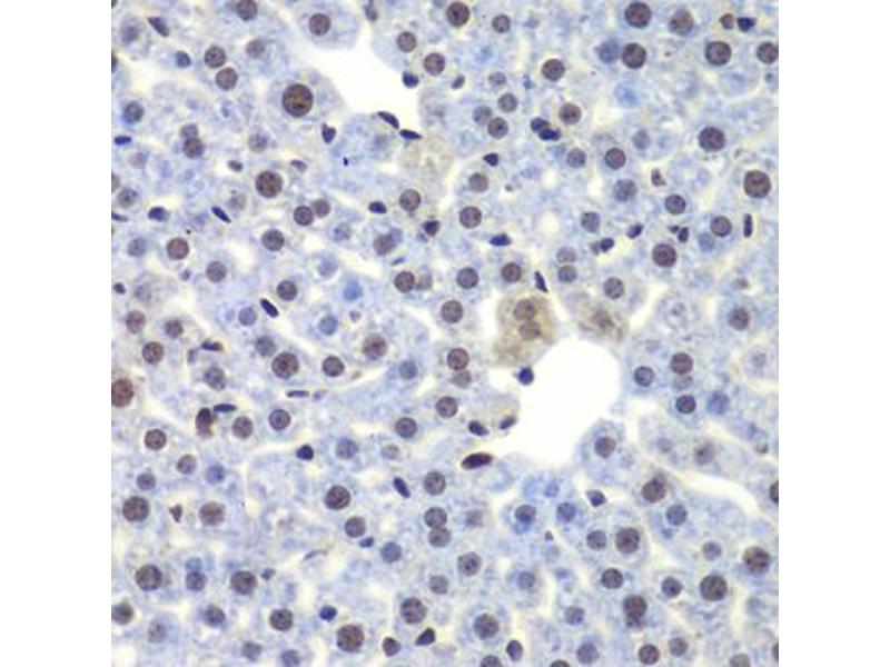
Western Blotting (WB), Immunohistochemistry (IHC), Immunofluorescence (fixed cells) (IF/ICC)
Détail du produit anti-CEBPG anticorps
(cache)
Purification
Affinity purified
Immunogène
Recombinant protein of human CEBPG.
Isotype
IgG
Alternatives
(show)
Information d'application
(cache)
Indications d'application
Optimal working dilution should be determined by the investigator.
Restrictions
For Research Use only
Stockage
(cache)
Format
Liquid
Concentration
Lot specific
Buffer
PBS, pH 7.3, 0.02 % sodium azide, 50 % glycerol.
Agent conservateur
Sodium azide
Précaution d'utilisation
This product contains Sodium azide: a POISONOUS AND HAZARDOUS SUBSTANCE which should be handled by trained staff only.
Stock
-20 °C
Stockage commentaire
Aliquot and store at -20 °C. Avoid repeated freeze/thaw cycles.
Détails sur CEBPG
(cache)
Antigène
CEBPG
(CCAAT/enhancer Binding Protein (C/EBP), gamma (CEBPG))
Autre désignation
CEBPG
Poids moléculaire
Calculated MW: 16 kDa Observed MW: 16 kDa
ID gène
1054
UniProt
P53567
Pathways
Positive Regulation of Response to DNA Damage Stimulus
Vus récemment
(cache)
Chat with us , powered by LiveChat