Tel:
+49 (0)241 95 163 153
Fax:
+49 (0)241 95 163 155
E-Mail:
orders@anticorps-enligne.fr

mGluR2/3 anticorps

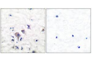
Cet anticorps anti-mGluR2/3 Monoclonal Lapin (ABIN3016610) détecte spécifiquement mGluR2/3 dans WB et IP. L’anticorps est réactif avec des échantillons de Humain.
N° du produit ABIN3016610
330,00 €
Plus frais de livraison 40,00 € et TVA
Destination: France
Envoi sous 8 à 10 jours ouvrables

Aperçu rapide pour mGluR2/3 anticorps (ABIN3016610)

Antigène

mGluR2/3 (GRIA2/3) (Glutamate Receptor, Ionotropic, AMPA 2/3 (GRIA2/3))

Reactivité

  • 26
  • 26
  • 23
  • 3
  • 3
  • 2
  • 2
  • 2
  • 2
  • 2
  • 2
  • 2
  • 2
Humain

Hôte

  • 31
Lapin

Clonalité

  • 21
  • 10
Monoclonal

Conjugué

  • 15
  • 2
  • 2
  • 2
  • 2
  • 2
  • 2
  • 2
  • 1
  • 1
Cet anticorp mGluR2/3 est non-conjugé

Application

  • 24
  • 12
  • 10
  • 3
  • 2
  • 1
  • 1
  • 1
Western Blotting (WB), Immunoprecipitation (IP)
Vous êtes ici:
Chat with us!