Tel:
+49 (0)241 95 163 153
Fax:
+49 (0)241 95 163 155
E-Mail:
orders@anticorps-enligne.fr

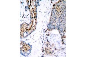
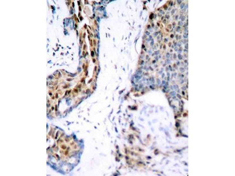
Estrogen Receptor alpha anticorps (pSer118)

Cet anticorps anti-Estrogen Receptor alpha est un anticorps Lapin Polyclonal détectant Estrogen Receptor alpha dans WB, IHC et IF. Adapté pour Humain.
N° du produit ABIN1681593

Aperçu rapide pour Estrogen Receptor alpha anticorps (pSer118) (ABIN1681593)

Antigène

Voir toutes Estrogen Receptor alpha (ESR1) Anticorps
Estrogen Receptor alpha (ESR1) (Estrogen Receptor 1 (ESR1))

Reactivité

  • 525
  • 170
  • 161
  • 19
  • 17
  • 10
  • 7
  • 6
  • 5
  • 4
  • 3
  • 3
  • 2
  • 2
  • 1
Humain

Hôte

  • 377
  • 158
  • 1
Lapin

Clonalité

  • 348
  • 189
  • 1
Polyclonal

Conjugué

  • 220
  • 38
  • 21
  • 18
  • 15
  • 11
  • 11
  • 11
  • 11
  • 11
  • 11
  • 10
  • 9
  • 9
  • 9
  • 9
  • 9
  • 9
  • 8
  • 8
  • 8
  • 8
  • 8
  • 8
  • 8
  • 8
  • 8
  • 8
  • 8
  • 7
  • 1
Cet anticorp Estrogen Receptor alpha est non-conjugé

Application

  • 367
  • 170
  • 159
  • 154
  • 94
  • 89
  • 80
  • 57
  • 49
  • 33
  • 26
  • 22
  • 15
  • 9
  • 7
  • 7
  • 5
  • 4
  • 2
  • 2
  • 2
  • 1
  • 1
  • 1
  • 1
  • 1
  • 1
  • 1
  • 1
Western Blotting (WB), Immunohistochemistry (IHC), Immunofluorescence (IF)
  • Épitope

    • 34
    • 32
    • 29
    • 29
    • 28
    • 26
    • 23
    • 16
    • 16
    • 16
    • 16
    • 16
    • 15
    • 15
    • 12
    • 11
    • 11
    • 9
    • 9
    • 9
    • 8
    • 7
    • 7
    • 7
    • 4
    • 3
    • 3
    • 3
    • 3
    • 3
    • 3
    • 2
    • 2
    • 2
    • 2
    • 2
    • 2
    • 2
    • 2
    • 2
    • 2
    • 2
    • 2
    • 2
    • 2
    • 2
    • 2
    • 2
    • 2
    • 2
    pSer118

     Réactivité croisée

    Humain

    Attributs du produit

    Phosphorylated Antibodies

    Purification

    Affinity purification

    Immunogène

    A phospho specific peptide corresponding to residues surrounding S118 of human Estrogen Receptor alpha (ESR1)

    Isotype

    IgG
  • Indications d'application

    WB,1:500 - 1:2000,IHC,1:50 - 1:100,IF,1:100 - 1:200

    Restrictions

    For Research Use only
  • Buffer

    PBS with 0.02 % sodium azide,50 % glycerol, pH 7.3.

    Agent conservateur

    Sodium azide

    Précaution d'utilisation

    This product contains Sodium azide: a POISONOUS AND HAZARDOUS SUBSTANCE which should be handled by trained staff only.

    Stock

    -20 °C

    Stockage commentaire

    Store at -20°C. Avoid freeze / thaw cycles.
  • Antigène

    Estrogen Receptor alpha (ESR1) (Estrogen Receptor 1 (ESR1))

    Autre désignation

    ESR1

    Sujet

    This gene encodes an estrogen receptor, a ligand-activated transcription factor composed of several domains important for hormone binding, DNA binding, and activation of transcription. The protein localizes to the nucleus where it may form a homodimer or a heterodimer with estrogen receptor 2. Estrogen and its receptors are essential for sexual development and reproductive function, but also play a role in other tissues such as bone. Estrogen receptors are also involved in pathological processes including breast cancer, endometrial cancer, and osteoporosis. Alternative promoter usage and alternative splicing result in dozens of transcript variants, but the full-length nature of many of these variants has not been determined.,ESR1,ER,ESR,ESRA,ESTRR,Era,NR3A1,ER alpha,Epigenetics & Nuclear Signaling,Transcription Factors,Nuclear Receptor Signaling,Signal Transduction,MAPK-Erk Signaling Pathway,Protein phosphorylation,ESR1

    Poids moléculaire

    35 kDa/47 kDa/53 kDa/66 kDa

    ID gène

    2099

    UniProt

    P03372

    Pathways

    Nuclear Receptor Transcription Pathway, EGFR Signaling Pathway, Retinoic Acid Receptor Signaling Pathway, Intracellular Steroid Hormone Receptor Signaling Pathway, Steroid Hormone Mediated Signaling Pathway, Ribonucleoprotein Complex Subunit Organization, Ribosome Assembly
Vous êtes ici:
Chat with us!