Tel:
+49 (0)241 95 163 153
Fax:
+49 (0)241 95 163 155
E-Mail:
orders@anticorps-enligne.fr

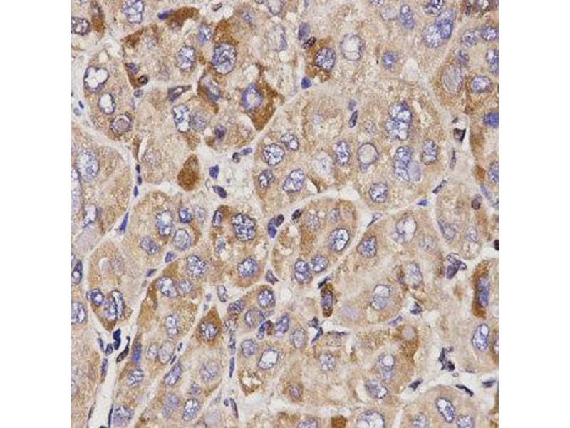
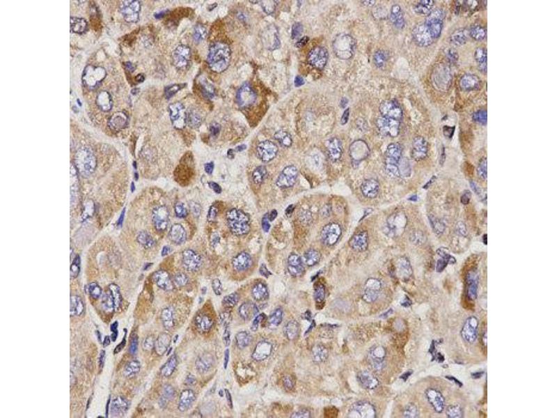
GAS2 anticorps (AA 1-100)

Cet anticorps Lapin Polyclonal détecte spécifiquement GAS2 dans WB et IHC. Il présente une réactivité avec des échantillons de Humain.
N° du produit ABIN3021611
416,00 €
Plus frais de livraison 40,00 € et TVA
Destination: France
Envoi sous 8 à 10 jours ouvrables

Aperçu rapide pour GAS2 anticorps (AA 1-100) (ABIN3021611)

Antigène

Voir toutes GAS2 Anticorps
GAS2 (Growth Arrest-Specific 2 (GAS2))

Reactivité

  • 65
  • 26
  • 11
Humain

Hôte

  • 60
  • 5
Lapin

Clonalité

  • 53
  • 12
Polyclonal

Conjugué

  • 26
  • 5
  • 4
  • 3
  • 2
  • 2
  • 2
  • 2
  • 2
  • 2
  • 1
  • 1
  • 1
  • 1
  • 1
  • 1
  • 1
  • 1
  • 1
  • 1
  • 1
  • 1
  • 1
  • 1
  • 1
Cet anticorp GAS2 est non-conjugé

Application

  • 37
  • 23
  • 18
  • 13
  • 13
  • 3
  • 3
  • 3
  • 3
  • 2
  • 1
Western Blotting (WB), Immunohistochemistry (IHC)
  • Épitope

    • 15
    • 9
    • 5
    • 4
    • 4
    • 3
    • 2
    • 1
    AA 1-100

    Séquence

    MCTALSPKVR SGPGLSDMHQ YSQWLASRHE ANLLPMKEDL ALWLTNLLGK EITAETFMEK LDNGALLCQL AETMQEKFKE SMDANKPTKN LPLKKIPCKT

     Réactivité croisée

    Humain, Souris

    Attributs du produit

    Polyclonal Antibodies

    Purification

    Affinity purification

    Immunogène

    Recombinant fusion protein containing a sequence corresponding to amino acids 1-100 of human GAS2 (NP_005247.1).

    Isotype

    IgG
  • Indications d'application

    WB,1:500 - 1:2000,IHC,1:50 - 1:200

    Restrictions

    For Research Use only
  • Format

    Liquid

    Buffer

    PBS with 0.02 % sodium azide,50 % glycerol, pH 7.3.

    Agent conservateur

    Sodium azide

    Précaution d'utilisation

    This product contains Sodium azide: a POISONOUS AND HAZARDOUS SUBSTANCE which should be handled by trained staff only.

    Conseil sur la manipulation

    Avoid freeze / thaw cycles

    Stock

    -20 °C

    Stockage commentaire

    Store at -20°C. Avoid freeze / thaw cycles.
  • Antigène

    GAS2 (Growth Arrest-Specific 2 (GAS2))

    Autre désignation

    GAS2

    Sujet

    The protein encoded by this gene is a caspase-3 substrate that plays a role in regulating microfilament and cell shape changes during apoptosis. It can also modulate cell susceptibility to p53-dependent apoptosis by inhibiting calpain activity. Alternative splicing results in multiple transcript variants.,GAS2,GAS-2,Signal Transduction,Cell Biology & Developmental Biology,Apoptosis,Cytoskeleton,Microfilaments,Death Receptor Signaling Pathway,GAS2

    Poids moléculaire

    15 kDa/34 kDa

    ID gène

    2620

    UniProt

    O43903

    Pathways

    Caspase Cascade in Apoptosis
Vous êtes ici:
Chat with us!