×
Pour une meilleure utilisation, nous vous conseillons d’activer Javascript dans votre navigateur.
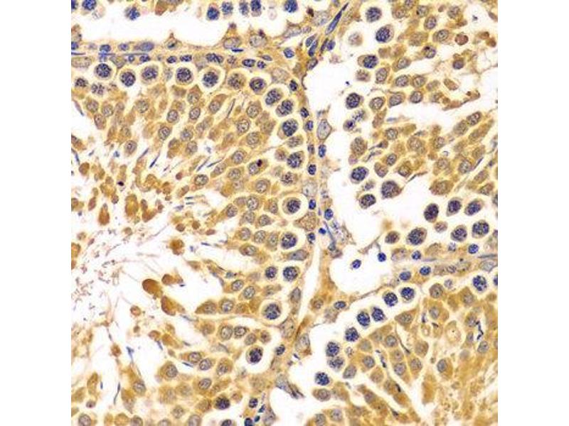
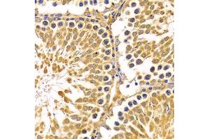
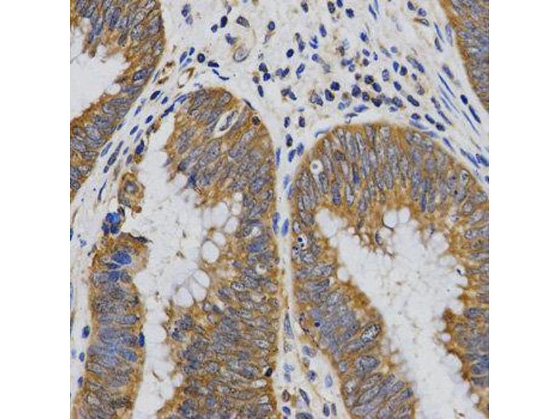
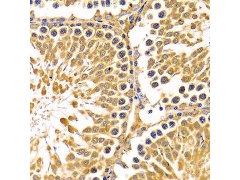
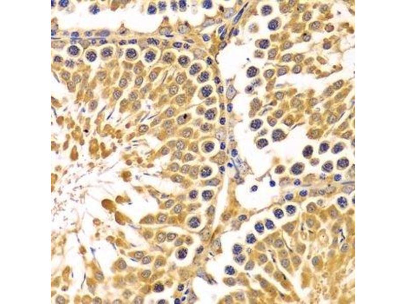
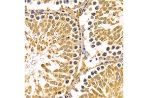
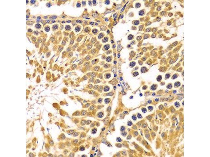
PIBF1 anticorps
L’anticorps anti-PIBF1 Polyclonal Lapin est utilisé pour la détection de PIBF1 dans des échantillons de Humain. Il a été validé pour WB et IHC.
N° du produit ABIN3023472
320,00 €
Plus frais de livraison 40,00 € et TVA
20 μL ABIN6220035
100 μL ABIN3023472
500 μL ABIN3023473
1000 μL ABIN3023471
20 μL ABIN6220035
100 μL ABIN3023472
500 μL ABIN3023473
1000 μL ABIN3023471
Envoi sous 8 à 10 jours ouvrables
Aperçu rapide pour PIBF1 anticorps (ABIN3023472)
Antigène
Voir toutes PIBF1 Anticorps
PIBF1
(Progesterone Immunomodulatory Binding Factor 1 (PIBF1))
Reactivité
Toutes les réactivités sur PIBF1 Anticorps
Humain
Hôte
Toutes les hôtes sur PIBF1 Anticorps
Lapin
Clonalité
Toutes les clonalités sur PIBF1 Anticorps
Polyclonal
Conjugué
Tous les conjugués à travers PIBF1 Anticorps
Cet anticorp PIBF1 est non-conjugé
Application
Tous les applications à travers PIBF1 Anticorps.
Western Blotting (WB), Immunohistochemistry (IHC)
Détail du produit anti-PIBF1 anticorps
(cache)
Réactivité croisée
Humain, Souris, Rat
Attributs du produit
Polyclonal Antibodies
Immunogène
A synthetic peptide of human PIBF1
Isotype
IgG
Alternatives
(show)
Information d'application
(cache)
Indications d'application
WB,1:500 - 1:1000,IHC,1:50 - 1:100
Restrictions
For Research Use only
Stockage
(cache)
Buffer
PBS with 0.02 % sodium azide,50 % glycerol, pH 7.3.
Agent conservateur
Sodium azide
Précaution d'utilisation
This product contains Sodium azide: a POISONOUS AND HAZARDOUS SUBSTANCE which should be handled by trained staff only.
Stock
-20 °C
Stockage commentaire
Store at -20°C. Avoid freeze / thaw cycles.
Détails sur PIBF1
(cache)
Antigène
PIBF1
(Progesterone Immunomodulatory Binding Factor 1 (PIBF1))
Autre désignation
PIBF1
Sujet
This gene encodes a protein that is induced by the steroid hormone progesterone and plays a role in the maintenance of pregnancy. The encoded protein regulates multiple facets of the immune system to promote normal pregnancy including cytokine synthesis, natural killer (NK) cell activity, and arachidonic acid metabolism. Low serum levels of this protein have been associated with spontaneous pre-term labor in humans. This protein may promote the proliferation, migration and invasion of glioma. [provided by RefSeq, Mar 2017],PIBF1,C13orf24,CEP90,PIBF,Signal Transduction,Cell Biology & Developmental Biology,Cell Cycle,Centrosome,Growth factor,PIBF1
Poids moléculaire
12 kDa/25 kDa/35 kDa/89 kDa
ID gène
10464
UniProt
Q8WXW3
Vus récemment
(cache)
Chat with us , powered by LiveChat