Tel:
+49 (0)241 95 163 153
Fax:
+49 (0)241 95 163 155
E-Mail:
orders@anticorps-enligne.fr

Melanoma anticorps

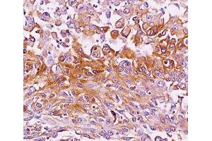
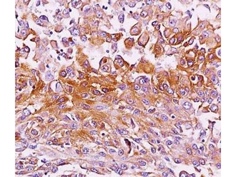
Cet anticorps anti-Melanoma Monoclonal Souris (Clone NKI-beteb) (ABIN3024241) détecte spécifiquement Melanoma dans IHC (p), IF et FACS. L’anticorps est réactif avec des échantillons de Humain et Cheval.
N° du produit ABIN3024241
642,40 €
Plus frais de livraison 40,00 € et TVA
100 μg
Destination: France
Envoi sous 6 à 9 jours ouvrables

Aperçu rapide pour Melanoma anticorps (ABIN3024241)

Antigène

Melanoma

Reactivité

  • 4
  • 2
  • 2
  • 1
Humain, Cheval

Hôte

  • 4
Souris

Clonalité

  • 4
Monoclonal

Conjugué

  • 4
Cet anticorp Melanoma est non-conjugé

Application

  • 3
  • 3
  • 1
  • 1
  • 1
Immunohistochemistry (Paraffin-embedded Sections) (IHC (p)), Immunofluorescence (IF), Flow Cytometry (FACS)

Clone

NKI-beteb
  • Aucune reactivité croisée

    Rat (Rattus)

    Purification

    Protein G affinity chromatography

    Immunogène

    Membranes from a human melanoma metastasis were used as the immunogen for this Melanoma antibody (gp100).

    Isotype

    IgG2b kappa
  • Indications d'application

    Differences in protocols and secondaries may require the gp100 antibody to be titered up or down for optimal performance.

    1. Staining of formalin-fixed tissues requires boiling tissue sections in 10  mM citrate buffer,  pH 6.0, for 10-20 min followed by cooling at RT for 20 minutes.\. FACS: 0.5-1 μg/million cells,IF: 1-2 μg/mL,IHC (FFPE): 1-2 μg/mL for 30 minutes at RT (1)

    Restrictions

    For Research Use only
  • Concentration

    1 mg/mL

    Buffer

    1 mg/mL in 1X PBS, BSA free, sodium azide free

    Agent conservateur

    Azide free

    Stock

    4 °C,-20 °C

    Stockage commentaire

    Store the Melanoma antibody at 2-8°C (with azide) or aliquot and store at -20°C or colder (without azide).
  • Antigène

    Melanoma

    Sujet

    By immunohistochemistry, this melanoma gp100 antibody specifically recognizes a protein in melanocytes and melanomas. It reacts with junctional and blue nevus cells and variably with fetal and neonatal melanocytes. Intradermal nevi, normal adult melanocytes, and non-melanocytic cells are negative. It does not stain tumor cells of epithelial, lymphoid, glial, or mesenchymal origin. The melanoma antibody labels formalin/paraffin melanomas and other tumors showing melanocytic differentiation.

    ID gène

    6490
Vous êtes ici:
Chat with us!