CAD anticorps
Aperçu rapide pour CAD anticorps (ABIN3025773)
Antigène
Voir toutes CAD AnticorpsReactivité
Hôte
Clonalité
Conjugué
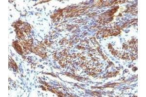
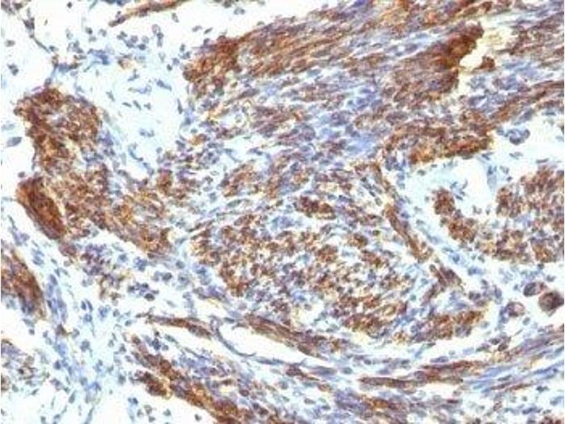
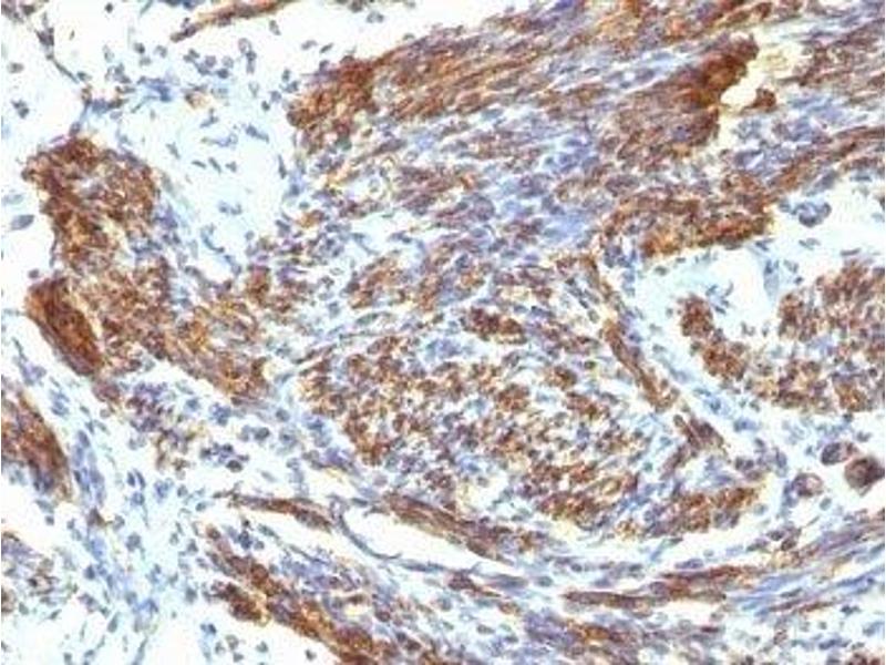
Application
Clone
-
-
Aucune reactivité croisée
- Rat (Rattus)
-
Purification
- Protein G affinity chromatography
-
Immunogène
- Recombinant full-length human protein was used as the immunogen for the CAD antibody.
-
Isotype
- IgG1 kappa
-
-
-
-
Indications d'application
-
Optimal dilution of the CAD antibody should be determined by the researcher.
1. Staining of formalin-fixed tissues requires boiling tissue sections in 10 mM Tris with 1 mM EDTA, pH 9.0, for 10-20 min followed by cooling at RT for 20 min.
2. The prediluted format is supplied in a dropper bottle and is optimized for use in IHC. After epitope retrieval step (if required), drip mAb solution onto the tissue section and incubate at RT for 30 min.\. Flow Cytometry: 0.5-1 μg/million cells in 0.1ml,Immunofluorescence: 1-2 μg/mL,Immunohistochemistry (FFPE): 0.5-1 μg/mL for 30 min at RT (1),Prediluted format: incubate for 30 min at RT (2) -
Restrictions
- For Research Use only
-
-
-
Concentration
- 0.2 mg/mL
-
Buffer
- 0.2 mg/mL in 1X PBS with 0.1 mg/mL BSA (US sourced) and 0.05 % sodium azide
-
Agent conservateur
- Sodium azide
-
Précaution d'utilisation
- This product contains Sodium azide: a POISONOUS AND HAZARDOUS SUBSTANCE which should be handled by trained staff only.
-
Stock
- 4 °C,-20 °C
-
Stockage commentaire
- Store the CAD antibody at 2-8°C (with azide) or aliquot and store at -20°C or colder (without azide).
-
-
- CAD (Carbamoyl-Phosphate Synthetase 2, Aspartate Transcarbamylase, and Dihydroorotase (CAD))
-
Autre désignation
- CAD
-
Sujet
- Recognizes a protein of 150 kDa, which is identified as the high molecular weight variant of Caldesmon. Two closely related variants of human caldesmon have been identified which are different in their electrophoretic mobility and cellular distribution. The h-caldesmon variant (120-150 kDa) is predominantly expressed in smooth muscle whereas l-caldesmon (70-80 kDa) is found in non- muscle tissue and cells. Neither of the two variants has been detected in skeletal muscle. This mAb recognizes only the 150 kDa variant (h-caldesmon) in Western blots of human aortic media extracts and is unreactive with fibroblast extracts from cultivated human foreskin. Caldesmon is a developmentally regulated protein involved in smooth muscle and non-muscle contraction.
-
Pathways
- Production of Molecular Mediator of Immune Response, Ribonucleoside Biosynthetic Process
Antigène
-