TTF1 anticorps
Aperçu rapide pour TTF1 anticorps (ABIN3025855)
Antigène
Voir toutes TTF1 AnticorpsReactivité
Hôte
Clonalité
Conjugué
Application
Clone
-
-
Purification
- Protein G affinity chromatography
-
Immunogène
- Recombinant protein was used as the immunogen for the TTF1 antibody cocktail.
-
Isotype
- IgG
-
-
-
-
Indications d'application
-
Optimal dilution of the TTF1 antibody cocktail should be determined by the researcher.
1. Staining of formalin/paraffin tissues requires boiling tissue sections in 10 mM Citrate buffer, pH 6.0, for 10-20 min followed by cooling at RT for 20 min.
2. The prediluted format is supplied in a dropper bottle and is optimized for use in IHC. After epitope retrieval step (if required), drip mAb solution onto the tissue section and incubate at RT for 30 min.\. Flow Cytometry: 0.5-1 μg/million cells in 0.1ml,Immunofluorescence: 0.5-1 μg/mL,Immunohistochemistry (FFPE): 0.5-1 μg/mL for 30 min at RT (1),Prediluted format: incubate for 30 min at RT (2) -
Restrictions
- For Research Use only
-
-
-
Concentration
- 1 mg/mL
-
Buffer
- 1 mg/mL in 1X PBS, BSA free, sodium azide free
-
Agent conservateur
- Azide free
-
Stock
- 4 °C,-20 °C
-
Stockage commentaire
- Store the TTF1 antibody cocktail at 2-8°C (with azide) or aliquot and store at -20°C or colder (without azide).
-
-
- TTF1 (Transcription Termination Factor, RNA Polymerase I (TTF1))
-
Autre désignation
- TTF1
-
Sujet
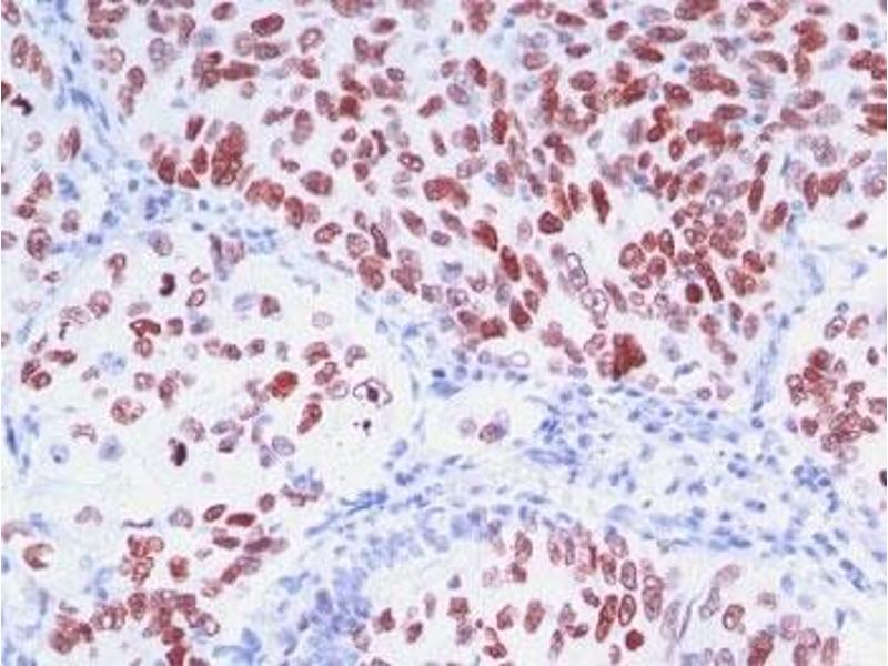
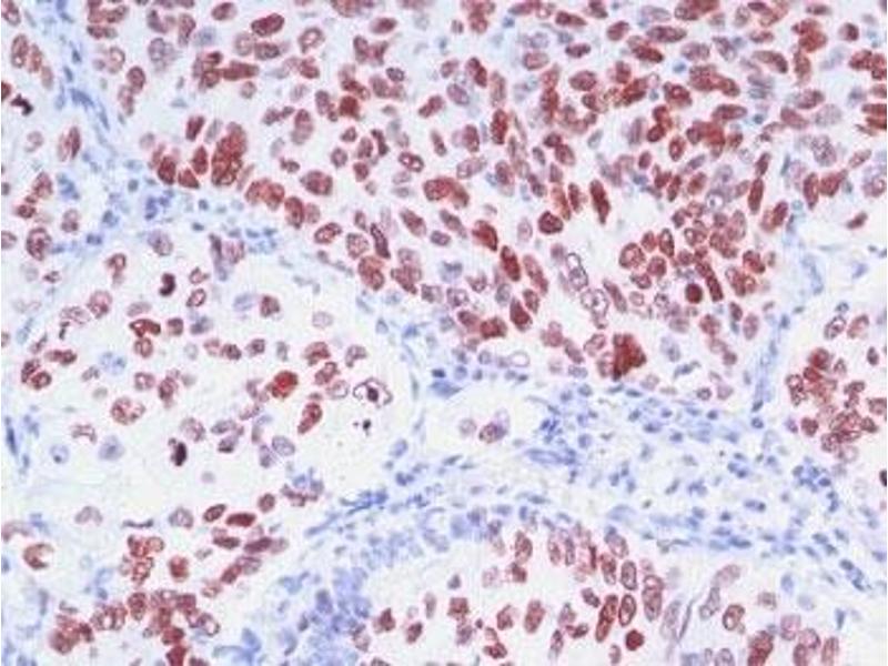
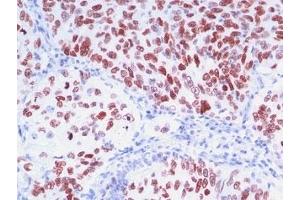
- Recognizes a protein of 40 kDa, identified as Thyroid transcription factor-1 (TTF-1). TTF-1 is a member of the NKx2 family of homeodomain transcription factors. It is expressed in epithelial cells of the thyroid gland and the lung. Nuclei from liver, stomach, pancreas, small intestine, colon, kidney, breast, skin, testes, pituitary, prostate, and adrenal glands are unreactive. Anti-TTF-1 is useful in differentiating primary adenocarcinoma of the lung from metastatic carcinomas originating in the breast, mediastinal germ cell tumors, and malignant mesothelioma. It can also be used to differentiate small cell lung carcinoma from lymphoid infiltrates. Loss of TTF-1 expression in non-small cell lung carcinoma has been associated with aggressive behavior of such neoplasms. TTF-1 reactivity is also seen in thyroid malignancies.
-
Pathways
- Thyroid Hormone Synthesis, Regulation of Systemic Arterial Blood Pressure by Hormones, Feeding Behaviour
Antigène
-