Tel:
+49 (0)241 95 163 153
Fax:
+49 (0)241 95 163 155
E-Mail:
orders@anticorps-enligne.fr

CD45RA anticorps

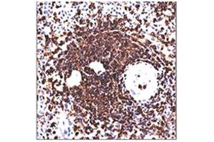
L’anticorps anti-CD45RA Monoclonal Souris est utilisé pour la détection de CD45RA dans des échantillons de Humain. Il a été validé pour FACS, IF et IHC (p).
N° du produit ABIN3026583
642,40 €
Plus frais de livraison 40,00 € et TVA
100 μg
Destination: France
Envoi sous 6 à 9 jours ouvrables

Aperçu rapide pour CD45RA anticorps (ABIN3026583)

Antigène

Voir toutes CD45RA Anticorps
CD45RA

Reactivité

  • 115
  • 10
  • 6
  • 5
  • 2
  • 2
  • 2
  • 1
  • 1
Humain

Hôte

  • 132
  • 1
  • 1
Souris

Clonalité

  • 133
  • 1
Monoclonal

Conjugué

  • 32
  • 16
  • 16
  • 8
  • 6
  • 3
  • 3
  • 3
  • 3
  • 3
  • 3
  • 3
  • 3
  • 3
  • 3
  • 3
  • 2
  • 2
  • 1
  • 1
  • 1
  • 1
  • 1
  • 1
  • 1
  • 1
  • 1
  • 1
  • 1
  • 1
  • 1
  • 1
  • 1
  • 1
  • 1
  • 1
  • 1
Cet anticorp CD45RA est non-conjugé

Application

  • 127
  • 36
  • 28
  • 27
  • 25
  • 18
  • 17
  • 15
  • 11
  • 3
  • 3
  • 2
  • 1
  • 1
  • 1
Flow Cytometry (FACS), Immunofluorescence (IF), Immunohistochemistry (Paraffin-embedded Sections) (IHC (p))

Clone

158-4D3
  • Attributs du produit

    This antibody recognizes a protein of 205 kDa-220 kDa, identified as CD45RA, an isoform of the human leukocyte common antigen (CD45). Human CD45 contains three exons which encode peptide segments designated A, B and C. The differential splicing of the exons generates at least five isoforms, ABC, AB, BC, B and O. This antibody reacts with ABC and BC isoforms. CD45RA is expressed on 40-50 % of peripheral CD4+ Tcells, 50 % of peripheral CD8+ T-cells, B-cells, and leukemic B-cell lines. T-cells expressing CD45RA are naive or virgin Tcells. T-cells expressing CD45RO are memory Tcells. CD45RA and CD45RO define complementary, predominantly non-overlapping populations of resting peripheral Tcells. This CD45RA antibody is useful in the study of the subpopulation of CD4+ or CD8+ T-cells. It is especially useful in differentiating T-cell lymphomas (CD45RO +ve) from B cell lymphomas (CD45RA +ve).

    Purification

    Protein G affinity chromatography

    Immunogène

    Stimulated human leukocytes were used as the immunogen for this CD45RA antibody.

    Isotype

    IgG2a kappa
  • Indications d'application

    The concentration stated for each application is a general starting point. Variations in protocols, secondaries and substrates may require the CD45RA antibody to be titered up or down for optimal performance.

    1. Staining of formalin-fixed tissues requires boiling tissue sections in 10  mM citrate buffer,  pH 6.0, for 10-20 min followed by cooling at RT for 20 minutes.
    2. The prediluted format is supplied in a dropper bottle and is optimized for use in IHC. After epitope retrieval step (if required), drip mAb solution onto the tissue section and incubate at RT for 30 min.\. FACS: 0.5-1 μg/million cells,IF: 1-2 μg/mL,IHC (FFPE): 0.5-1 μg/mL for 30 minutes at RT (1),Prediluted format : incubate for 30 min at RT (2)

    Restrictions

    For Research Use only
  • Concentration

    1 mg/mL

    Buffer

    1 mg/mL in 1X PBS, BSA free, sodium azide free

    Agent conservateur

    Azide free

    Stock

    4 °C,-20 °C

    Stockage commentaire

    Store the CD45RA antibody at 2-8°C (with azide) or aliquot and store at -20°C or colder (without azide).
  • Antigène

    CD45RA

    Autre désignation

    CD45RA

    Sujet

    This antibody recognizes a protein of 205  kDa-220  kDa, identified as CD45RA, an isoform of the human leukocyte common antigen (CD45). Human CD45 contains three exons which encode peptide segments designated A, B and C. The differential splicing of the exons generates at least five isoforms, ABC, AB, BC, B and O. This antibody reacts with ABC and BC isoforms. CD45RA is expressed on 40-50 % of peripheral CD4+ Tcells, 50 % of peripheral CD8+ T-cells, B-cells, and leukemic B-cell lines. T-cells expressing CD45RA are naive or virgin Tcells. T-cells expressing CD45RO are memory Tcells. CD45RA and CD45RO define complementary, predominantly non-overlapping populations of resting peripheral Tcells. This CD45RA antibody is useful in the study of the subpopulation of CD4+ or CD8+ T-cells. It is especially useful in differentiating T-cell lymphomas (CD45RO +ve) from B cell lymphomas (CD45RA +ve).

    ID gène

    5788
Vous êtes ici:
Chat with us!