Tel:
+49 (0)241 95 163 153
Fax:
+49 (0)241 95 163 155
E-Mail:
orders@anticorps-enligne.fr

Pan Muscle Actin anticorps

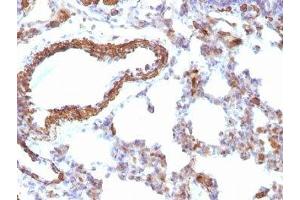
Cet anticorps Souris Monoclonal détecte spécifiquement Pan Muscle Actin dans IHC (p), FACS, IF et WB. Il présente une réactivité avec des échantillons de Humain, Lapin et Rat.
N° du produit ABIN3026681
642,40 €
Plus frais de livraison 40,00 € et TVA
Destination: France
Envoi sous 6 à 9 jours ouvrables

Aperçu rapide pour Pan Muscle Actin anticorps (ABIN3026681)

Antigène

Pan Muscle Actin

Reactivité

Humain, Lapin, Rat

Hôte

  • 1
Souris

Clonalité

  • 1
Monoclonal

Conjugué

  • 1
Inconjugué

Application

Immunohistochemistry (Paraffin-embedded Sections) (IHC (p)), Flow Cytometry (FACS), Immunofluorescence (IF), Western Blotting (WB)

Clone

MSA-953
  • Attributs du produit

    This antibody recognizes actin of skeletal, cardiac, and smooth muscle cells. It is not reactive with other mesenchymal cells except for myoepithelium. Actin can be resolved on the basis of its isoelectric points into three distinctive components: alpha, beta, and gamma in order of increasing isoelectric point. Anti-muscle specific actin recognizes alpha and gamma isotypes of all muscle groups. Non-muscle cells such as vascular endothelial cells and connective tissues are non-reactive. Also, neoplastic cells of non-muscle-derived tissue such as carcinomas, melanomas, and lymphomas are negative. It stains tumors of smooth muscle (leiomyomas and leiomyosarcomas) as well as skeletal muscle (rhabdomyomas and rhabdomyosarcomas).

    Purification

    Protein G affinity chromatography

    Immunogène

    An amino acid sequence common among human muscle actins was used as the immunogen for the pan Muscle Actin antibody.

    Isotype

    IgG1 kappa
  • Indications d'application

    Optimal dilution of the pan Muscle Actin antibody should be determined by the researcher.

    1. Staining of formalin-fixed tissues requires boiling tissue sections in 10  mM Citrate buffer,  pH 6.0, for 10-20 min followed by cooling at RT for 20 min.
    2. The prediluted format is supplied in a dropper bottle and is optimized for use in IHC. After epitope retrieval step (if required), drip mAb solution onto the tissue section and incubate at RT for 30 min.\. Flow Cytometry: 0.5-1 μg/million cells in 0.1ml,Immunofluorescence: 0.5-1 μg/mL,Western blot: 0.5-1 μg/mL,Immunohistochemistry (FFPE): 0.5-1 μg/mL for 30 min at RT (1),Prediluted format: incubate for 30 min at RT (2)

    Restrictions

    For Research Use only
  • Concentration

    0.2 mg/mL

    Buffer

    0.2 mg/mL in 1X PBS with 0.1 mg/mL BSA (US sourced) and 0.05 % sodium azide

    Agent conservateur

    Sodium azide

    Précaution d'utilisation

    This product contains Sodium azide: a POISONOUS AND HAZARDOUS SUBSTANCE which should be handled by trained staff only.

    Stock

    4 °C,-20 °C

    Stockage commentaire

    Store the pan Muscle Actin antibody at 2-8°C (with azide) or aliquot and store at -20°C or colder (without azide).
  • Antigène

    Pan Muscle Actin

    Sujet

    This antibody recognizes actin of skeletal, cardiac, and smooth muscle cells. It is not reactive with other mesenchymal cells except for myoepithelium. Actin can be resolved on the basis of its isoelectric points into three distinctive components: alpha, beta, and gamma in order of increasing isoelectric point. Anti-muscle specific actin recognizes alpha and gamma isotypes of all muscle groups. Non-muscle cells such as vascular endothelial cells and connective tissues are non-reactive. Also, neoplastic cells of non-muscle-derived tissue such as carcinomas, melanomas, and lymphomas are negative. It stains tumors of smooth muscle (leiomyomas and leiomyosarcomas) as well as skeletal muscle (rhabdomyomas and rhabdomyosarcomas).
Vous êtes ici:
Chat with us!