Tel:
+49 (0)241 95 163 153
Fax:
+49 (0)241 95 163 155
E-Mail:
orders@anticorps-enligne.fr

CEA anticorps

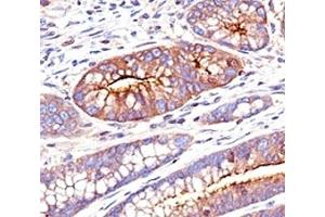
Cet anticorps anti-CEA Monoclonal Souris (Clone SPM551) (ABIN3026746) détecte spécifiquement CEA dans FACS, IHC (p) et IF. L’anticorps est réactif avec des échantillons de Humain.
N° du produit ABIN3026746
642,40 €
Plus frais de livraison 40,00 € et TVA
100 μg
Destination: France
Envoi sous 6 à 9 jours ouvrables

Aperçu rapide pour CEA anticorps (ABIN3026746)

Antigène

Voir toutes CEA Anticorps
CEA (Carcinoembryonic Antigen Gene Family (CEA))

Reactivité

  • 171
  • 11
  • 4
  • 3
  • 1
Humain

Hôte

  • 106
  • 75
  • 2
  • 1
  • 1
  • 1
Souris

Clonalité

  • 137
  • 44
  • 4
Monoclonal

Conjugué

  • 70
  • 18
  • 9
  • 6
  • 5
  • 5
  • 5
  • 3
  • 3
  • 3
  • 3
  • 3
  • 3
  • 3
  • 3
  • 3
  • 3
  • 3
  • 3
  • 2
  • 2
  • 2
  • 2
  • 2
  • 2
  • 2
  • 2
  • 2
  • 2
  • 2
  • 2
  • 2
  • 1
  • 1
  • 1
  • 1
  • 1
  • 1
Cet anticorp CEA est non-conjugé

Application

  • 85
  • 66
  • 42
  • 31
  • 29
  • 28
  • 27
  • 23
  • 22
  • 16
  • 13
  • 9
  • 5
  • 4
  • 3
  • 2
  • 2
  • 2
  • 2
  • 1
  • 1
  • 1
  • 1
  • 1
Flow Cytometry (FACS), Immunohistochemistry (Paraffin-embedded Sections) (IHC (p)), Immunofluorescence (IF)

Clone

SPM551
  • Attributs du produit

    This antibody recognizes proteins of 80-200 kDa, identified as different members of CEA family. CEA is synthesized during development in the fetal gut and is re-expressed in increased amounts in intestinal carcinomas and several other tumors. This mAb does not react with nonspecific cross-reacting antigen (NCA) and with human polymorphonuclear leucocytes. It shows no reaction with a variety of normal tissues and is suitable for staining of formalin/paraffin tissues. CEA is not found in benign glands, stroma, or malignant prostatic cells. Antibody to CEA is useful in detecting early foci of gastric carcinoma and in distinguishing pulmonary adenocarcinomas (60-70 % are CEA+) from pleural mesotheliomas (rarely or weakly CEA+). Anti-CEA positivity is seen in adenocarcinomas from the lung, colon, stomach, esophagus, pancreas, gallbadder, urachus, salivary gland, ovary, and endocervix.

    Purification

    Protein G affinity chromatography

    Immunogène

    Human recombinant protein was used as the immunogen for this CEA antibody.

    Isotype

    IgG1 kappa
  • Indications d'application

    The optimal dilution of the CEA antibody for each application should be determined by the researcher.

    1. Staining of formalin-fixed tissues requires boiling tissue sections in 10  mM Citrate Buffer,  pH 6.0, for 10-20 min followed by cooling at RT for 20 minutes.
    2. The prediluted format is supplied in a dropper bottle and is optimized for use in IHC. After epitope retrieval step (if required), drip mAb solution onto the tissue section and incubate at RT for 30 min.\. Flow Cytometry: 0.5-1 μg/million cells in 0.1ml,Immunofluorescence: 0.5-1 μg/mL,Immunohistochemistry (FFPE): 0.5-1 μg/mL for 30 min at RT (1),Prediluted format: incubate for 30 min at RT (2)

    Restrictions

    For Research Use only
  • Concentration

    1 mg/mL

    Buffer

    1 mg/mL in 1X PBS, BSA free, sodium azide free

    Agent conservateur

    Azide free

    Stock

    4 °C,-20 °C

    Stockage commentaire

    Store the CEA antibody at 2-8°C (with azide) or aliquot and store at -20°C or colder (without azide).
  • Antigène

    CEA (Carcinoembryonic Antigen Gene Family (CEA))

    Autre désignation

    CEA

    Sujet

    This antibody recognizes proteins of 80-200  kDa, identified as different members of CEA family. CEA is synthesized during development in the fetal gut and is re-expressed in increased amounts in intestinal carcinomas and several other tumors. This mAb does not react with nonspecific cross-reacting antigen (NCA) and with human polymorphonuclear leucocytes. It shows no reaction with a variety of normal tissues and is suitable for staining of formalin/paraffin tissues. CEA is not found in benign glands, stroma, or malignant prostatic cells. Antibody to CEA is useful in detecting early foci of gastric carcinoma and in distinguishing pulmonary adenocarcinomas (60-70 % are CEA+) from pleural mesotheliomas (rarely or weakly CEA+). Anti-CEA positivity is seen in adenocarcinomas from the lung, colon, stomach, esophagus, pancreas, gallbadder, urachus, salivary gland, ovary, and endocervix.
Vous êtes ici:
Chat with us!