Tel:
+49 (0)241 95 163 153
Fax:
+49 (0)241 95 163 155
E-Mail:
orders@anticorps-enligne.fr

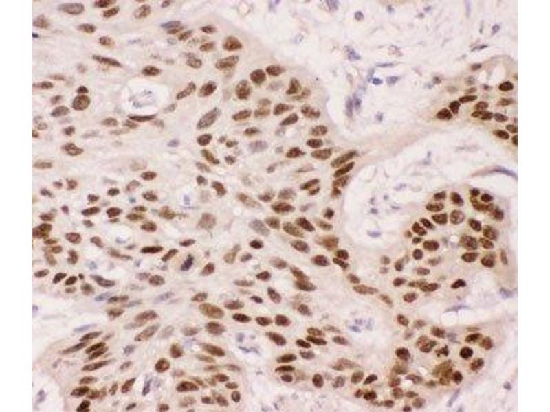
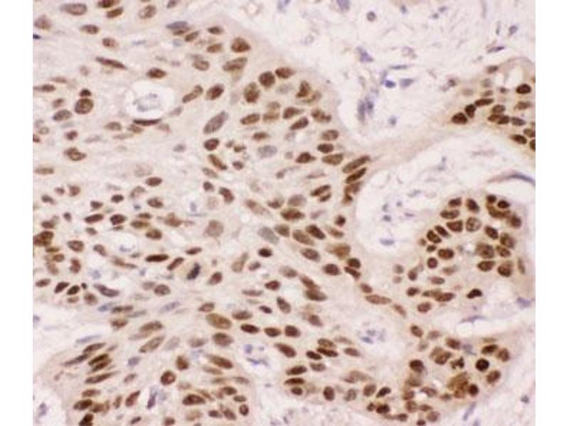
TCP1 alpha/CCTA anticorps (AA 311-680)

Cet anticorps anti-TCP1 alpha/CCTA Polyclonal Lapin (ABIN3029088) détecte spécifiquement TCP1 alpha/CCTA dans WB, ICC et IHC (p). L’anticorps est réactif avec des échantillons de Humain.
N° du produit ABIN3029088
644,88 €
Plus frais de livraison 40,00 € et TVA
100 μg
Destination: France
Envoi sous 6 à 9 jours ouvrables

Aperçu rapide pour TCP1 alpha/CCTA anticorps (AA 311-680) (ABIN3029088)

Antigène

Voir toutes TCP1 alpha/CCTA (TCP1) Anticorps
TCP1 alpha/CCTA (TCP1) (T-Complex 1 (TCP1))

Reactivité

  • 227
  • 148
  • 96
  • 21
  • 21
  • 20
  • 19
  • 17
  • 17
  • 15
  • 13
  • 11
  • 10
  • 4
  • 3
  • 2
  • 2
  • 2
  • 1
  • 1
  • 1
  • 1
Humain

Hôte

  • 181
  • 48
  • 26
  • 1
  • 1
Lapin

Clonalité

  • 142
  • 115
Polyclonal

Conjugué

  • 79
  • 18
  • 10
  • 8
  • 6
  • 6
  • 6
  • 6
  • 6
  • 6
  • 6
  • 5
  • 5
  • 5
  • 5
  • 5
  • 5
  • 5
  • 5
  • 5
  • 5
  • 5
  • 5
  • 5
  • 5
  • 5
  • 5
  • 4
  • 2
  • 2
  • 2
  • 2
  • 2
  • 2
  • 2
  • 2
Cet anticorp TCP1 alpha/CCTA est non-conjugé

Application

  • 152
  • 90
  • 64
  • 63
  • 53
  • 52
  • 49
  • 43
  • 42
  • 41
  • 21
  • 12
  • 11
  • 1
  • 1
Western Blotting (WB), Immunocytochemistry (ICC), Immunohistochemistry (Paraffin-embedded Sections) (IHC (p))
  • Épitope

    • 37
    • 18
    • 18
    • 15
    • 15
    • 15
    • 15
    • 10
    • 5
    • 3
    • 3
    • 2
    • 2
    • 2
    • 2
    • 2
    • 2
    • 2
    • 1
    • 1
    • 1
    • 1
    • 1
    • 1
    • 1
    • 1
    • 1
    • 1
    • 1
    • 1
    • 1
    • 1
    • 1
    AA 311-680

    Purification

    Antigen affinity

    Immunogène

    Human partial recombinant protein (AA 311-680) was used as the immunogen for this p63 antibody.

    Isotype

    IgG
  • Indications d'application

    The stated application concentrations are suggested starting points. Titration of the p63 antibody may be required due to differences in protocols and secondary/substrate sensitivity.\. Western blot: 0.5-1 μg/mL,IHC (Paraffin): 0.5-1 μg/mL,Immunocytochemistry: 0.5-1 μg/mL

    Restrictions

    For Research Use only
  • Buffer

    0.5 mg/mL if reconstituted with 0.2 mL sterile DI water

    Stock

    -20 °C

    Stockage commentaire

    After reconstitution, the p63 antibody can be stored for up to one month at 4°C. For long-term, aliquot and store at -20°C. Avoid repeated freezing and thawing.
  • Antigène

    TCP1 alpha/CCTA (TCP1) (T-Complex 1 (TCP1))

    Autre désignation

    p63

    Sujet

    Tumor protein p63 (TP63), also known as TP73L is a protein that in humans is encoded by the TP63 gene. It is a member of the p53 family of transcription factors. This gene encodes for two main isoforms by alternative promoters (TAp63 and dNp63). TP63 has been mostly restricted to its apoptotic function and more recently as the guardian of oocyte integrity. It has been found that the combined loss of TP63 and p73 results in the failure of cells containing functional p53 to undergo apoptosis in response to DNA damage. It is an essential regulator of stem cell maintenance in stratified epithelial tissues. TP63 is also critical for maintaining the progenitor-cell populations that are necessary to sustain epithelial development and morphogenesis.

    UniProt

    Q9H3D4
Vous êtes ici:
Chat with us!