Tel:
+49 (0)241 95 163 153
Fax:
+49 (0)241 95 163 155
E-Mail:
orders@anticorps-enligne.fr

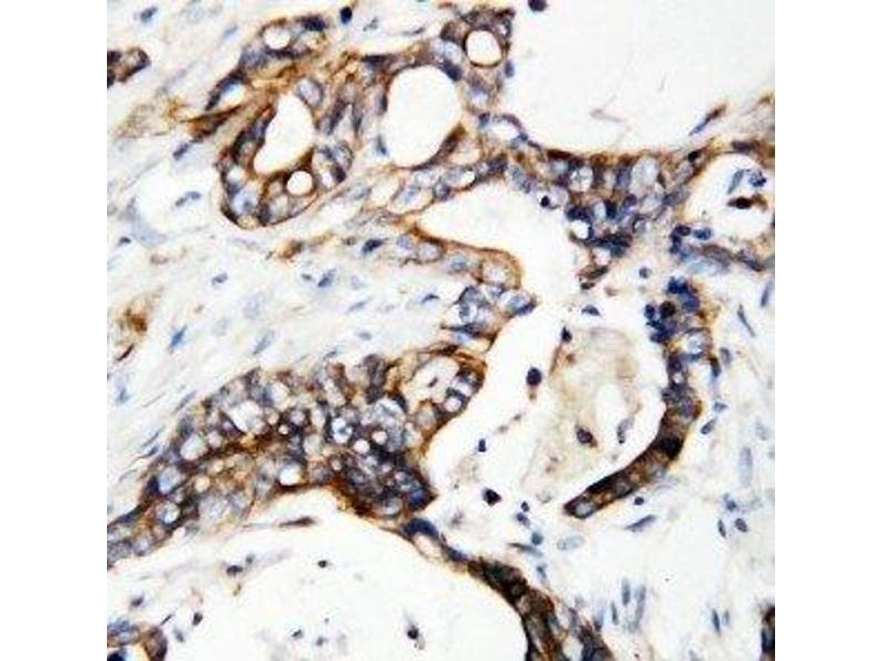
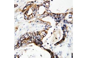
uPAR uPA Receptor (C-Term) anticorps

Cet anticorps Lapin Polyclonal détecte spécifiquement uPAR uPA Receptor dans WB et IHC (p). Il présente une réactivité avec des échantillons de Humain.
N° du produit ABIN3029776
644,88 €
Plus frais de livraison 40,00 € et TVA
100 μg
Destination: France
Envoi sous 6 à 9 jours ouvrables

Aperçu rapide pour uPAR uPA Receptor (C-Term) anticorps (ABIN3029776)

Antigène

uPAR uPA Receptor

Reactivité

  • 2
  • 2
  • 1
Humain

Hôte

  • 2
Lapin

Clonalité

  • 2
Polyclonal

Conjugué

  • 2
Inconjugué

Application

  • 2
  • 1
  • 1
Western Blotting (WB), Immunohistochemistry (Paraffin-embedded Sections) (IHC (p))
  • Épitope

    C-Term

    Purification

    Antigen affinity

    Immunogène

    An amino acid sequence from the C-terminus of human uPAR (CNHPDLDVQYRS) was used as the immunogen for this uPAR antibody.

    Isotype

    IgG
  • Indications d'application

    The stated application concentrations are suggested starting amounts. Titration of the uPAR antibody may be required due to differences in protocols and secondary/substrate sensitivity.\. Western blot: 0.5-1 μg/mL,IHC (Paraffin): 0.5-1 μg/mL

    Restrictions

    For Research Use only
  • Buffer

    0.5 mg/mL if reconstituted with 0.2 mL sterile DI water

    Stock

    -20 °C

    Stockage commentaire

    After reconstitution, the uPAR antibody can be stored for up to one month at 4°C. For long-term, aliquot and store at -20°C. Avoid repeated freezing and thawing.
  • Antigène

    uPAR uPA Receptor

    Sujet

    PLAUR (Plasminogen activator receptor, urokinase-type), also known as uPAR or CD87, is multidomain glycoprotein tethered to the cell membrane with a glycosylphosphotidylinositol(GPI) anchor. It consists of three different domains of the Ly-6/uPAR/alpha-neurotoxin family. The protein was originally identified as a saturable binding site for urokinase on the cell surface. The gene plays an important role in many normal as well as pathologic processes. It is localized to 19q13.31. uPAR is a part of the plasminogen activation system, which in the healthy body is involved in tissue reorganization events such as mammary gland involution and wound healing. It binds urokinase and thus restricts plasminogen activation to the immediate vicinity of the cell membrane, indicating it is an important player in the regulation of this process. In human coronary artery vascular smooth muscle cells, UPA stimulates cell migration via a uPAR signaling complex containing TYK2 and phosphatidylinositol 3-kinase.

    UniProt

    Q03405
Vous êtes ici:
Chat with us!