Tel:
+49 (0)241 95 163 153
Fax:
+49 (0)241 95 163 155
E-Mail:
orders@anticorps-enligne.fr

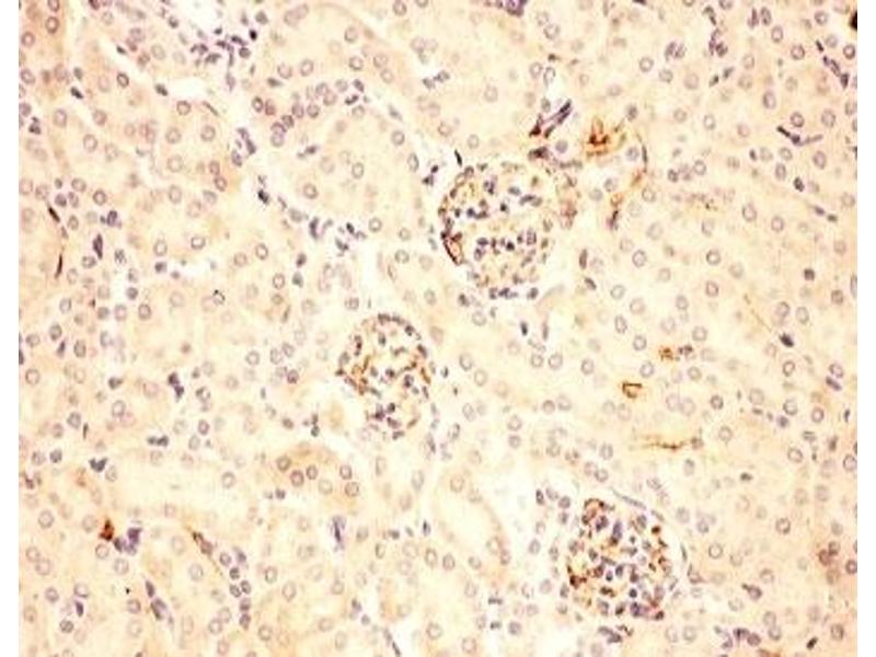
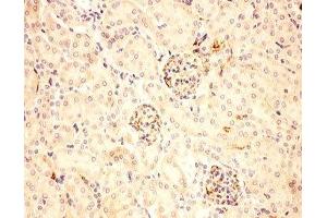
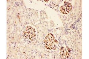
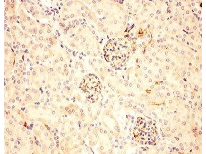
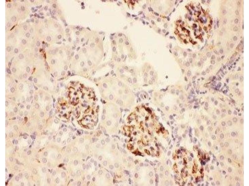
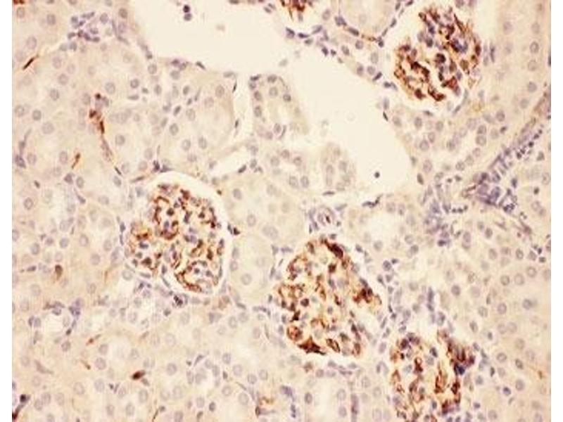
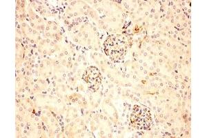
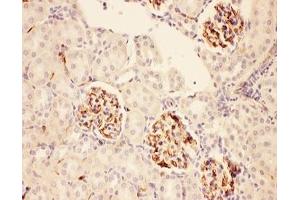
ACTH anticorps (Middle Region)

L’anticorps anti-ACTH Polyclonal Lapin est utilisé pour la détection de ACTH dans des échantillons de Humain, Rat et Souris. Il a été validé pour IHC (p).
N° du produit ABIN3029882
644,88 €
Plus frais de livraison 40,00 € et TVA
100 μg
Destination: France
Envoi sous 6 à 9 jours ouvrables

Aperçu rapide pour ACTH anticorps (Middle Region) (ABIN3029882)

Antigène

Voir toutes ACTH Anticorps
ACTH (Adrenocorticotropic hormone (ACTH))

Reactivité

  • 170
  • 111
  • 74
  • 21
  • 4
  • 2
  • 1
  • 1
  • 1
Humain, Rat, Souris

Hôte

  • 110
  • 78
  • 1
  • 1
  • 1
Lapin

Clonalité

  • 132
  • 59
Polyclonal

Conjugué

  • 70
  • 17
  • 10
  • 10
  • 10
  • 10
  • 10
  • 10
  • 9
  • 5
  • 4
  • 2
  • 2
  • 2
  • 2
  • 2
  • 2
  • 2
  • 2
  • 2
  • 2
  • 2
  • 1
  • 1
  • 1
  • 1
Cet anticorp ACTH est non-conjugé

Application

  • 98
  • 75
  • 72
  • 68
  • 35
  • 31
  • 27
  • 25
  • 25
  • 25
  • 23
  • 14
  • 10
  • 10
  • 3
  • 3
  • 1
  • 1
  • 1
  • 1
Immunohistochemistry (Paraffin-embedded Sections) (IHC (p))
  • Épitope

    • 49
    • 41
    • 34
    • 15
    • 14
    • 9
    • 8
    • 3
    • 2
    • 2
    • 1
    Middle Region

    Purification

    Antigen affinity

    Immunogène

    An amino acid sequence from the middle region of human Adrenocorticotropic hormone (SYSMEHFRWGKPVGKKRRPVKVYPNGAEDESAEAFPLEF) was used as the immunogen for this ACTH antibody.

    Isotype

    IgG
  • Indications d'application

    The stated application concentrations are suggested starting amounts. Titration of the ACTH antibody may be required due to differences in protocols and secondary/substrate sensitivity.\. IHC (Paraffin): 0.5-1 μg/mL

    Restrictions

    For Research Use only
  • Buffer

    0.5 mg/mL if reconstituted with 0.2 mL sterile DI water

    Stock

    -20 °C

    Stockage commentaire

    After reconstitution, the ACTH antibody can be stored for up to one month at 4°C. For long-term, aliquot and store at -20°C. Avoid repeated freezing and thawing.
  • Antigène

    ACTH (Adrenocorticotropic hormone (ACTH))

    Autre désignation

    ACTH

    Classe de substances

    Hormone

    Sujet

    Adrenocorticotropic hormone (ACTH), also known as Corticotropin, is a polypeptide tropic hormone produced and secreted by the anterior pituitary gland. It is an important component of the hypothalamic-pituitary-adrenal axis and is often produced in response to biological stress (along with its precursor corticotropin-releasing hormone from the hypothalamus). Its principal effects are increased production and release of corticosteroids. ACTH stimulates secretion of glucocorticoid steroid hormones from adrenal cortex cells, especially in the zona fasciculata of the adrenal glands. This gene can influence steroid hormone secretion by both rapid short-term mechanisms that take place within minutes and slower long-term actions. Besides, ACTH also enhances transcription of mitochondrial genes that encode for subunits of mitochondrial oxidative phosphorylation systems.

    ID gène

    5443

    Pathways

    Metabolism of Steroid Hormones and Vitamin D, Peptide Hormone Metabolism, Hormone Activity
Vous êtes ici:
Chat with us!