Tel:
+49 (0)241 95 163 153
Fax:
+49 (0)241 95 163 155
E-Mail:
orders@anticorps-enligne.fr

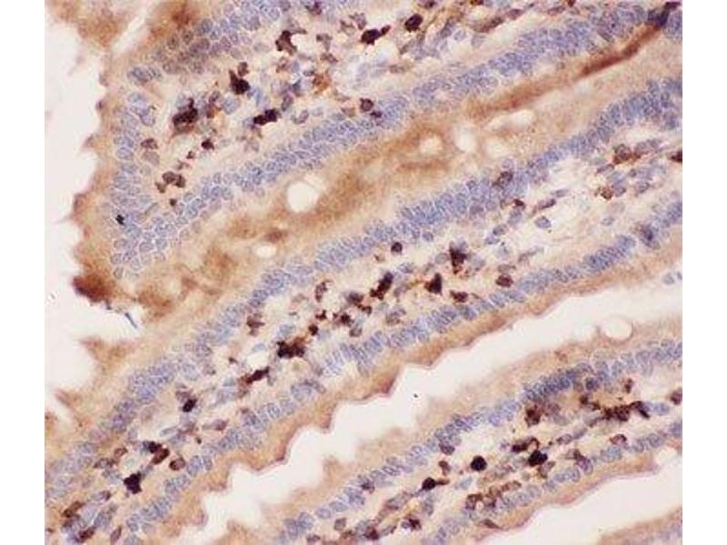
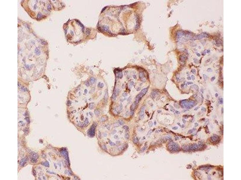
ANG2 anticorps (AA 19-348)

Cet anticorps anti-ANG2 Polyclonal Lapin (ABIN3029946) détecte spécifiquement ANG2 dans IHC (p). L’anticorps est réactif avec des échantillons de Humain, Rat et Souris.
N° du produit ABIN3029946
644,88 €
Plus frais de livraison 40,00 € et TVA
100 μg
Destination: France
Envoi sous 6 à 9 jours ouvrables

Aperçu rapide pour ANG2 anticorps (AA 19-348) (ABIN3029946)

Antigène

Voir toutes ANG2 Anticorps
ANG2 (Angiogenin, Ribonuclease A Family, Member 2 (ANG2))

Reactivité

Humain, Rat, Souris

Hôte

  • 3
  • 1
Lapin

Clonalité

  • 3
  • 1
Polyclonal

Conjugué

  • 2
  • 1
  • 1
Cet anticorp ANG2 est non-conjugé

Application

  • 2
  • 2
  • 1
  • 1
  • 1
  • 1
  • 1
  • 1
Immunohistochemistry (Paraffin-embedded Sections) (IHC (p))
  • Épitope

    AA 19-348

    Purification

    Antigen affinity

    Immunogène

    Human partial recombinant protein (AA 19-348) was used as the immunogen for this ANG2 antibody.

    Isotype

    IgG
  • Indications d'application

    The stated application concentrations are suggested starting amounts. Titration of the ANG2 antibody may be required due to differences in protocols and secondary/substrate sensitivity.\. IHC (Paraffin): 0.5-1 μg/mL

    Restrictions

    For Research Use only
  • Buffer

    0.5 mg/mL if reconstituted with 0.2 mL sterile DI water

    Stock

    -20 °C

    Stockage commentaire

    After reconstitution, the ANG2 antibody can be stored for up to one month at 4°C. For long-term, aliquot and store at -20°C. Avoid repeated freezing and thawing.
  • Antigène

    ANG2 (Angiogenin, Ribonuclease A Family, Member 2 (ANG2))

    Autre désignation

    ANG2

    Sujet

    Angiopoietin 2, also known as ANG2, is a protein that in humans is encoded by the ANGPT2 gene. It is mapped to 8p23.1. ANGPT2 is a naturally occurring antagonist of ANGPT1 that competes for binding to the TIE2 receptor and blocks ANGPT1-induced TIE2 autophosphorylation during vasculogenesis. The encoded protein disrupts the vascular remodeling ability of ANGPT1 and may induce endothelial cell apoptosis. ANGPT2 was significantly increased in plasma and alveolar edema fluid in adults with acute lung injury compared to controls or patients with hydrostatic pulmonary edema, tracheal. ANGPT2 was also significantly increased in neonates with respiratory distress syndrome who developed bronchopulmonary edema. It is also a mediator of epithelial necrosis with an important role in hyperoxic acute lung injury and pulmonary edema.

    ID gène

    285

    Pathways

    Carbohydrate Homeostasis
Vous êtes ici:
Chat with us!