Tel:
+49 (0)241 95 163 153
Fax:
+49 (0)241 95 163 155
E-Mail:
orders@anticorps-enligne.fr

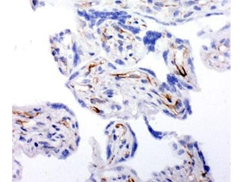
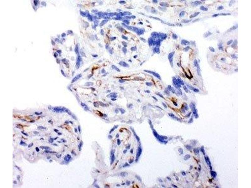
HSD17B2 anticorps (AA 373-387)

Cet anticorps anti-HSD17B2 Polyclonal Lapin (ABIN3031272) détecte spécifiquement HSD17B2 dans WB, IHC (p) et IHC (fro). L’anticorps est réactif avec des échantillons de Humain.
N° du produit ABIN3031272
644,88 €
Plus frais de livraison 40,00 € et TVA
100 μg
Destination: France
Envoi sous 6 à 9 jours ouvrables

Aperçu rapide pour HSD17B2 anticorps (AA 373-387) (ABIN3031272)

Antigène

Voir toutes HSD17B2 Anticorps
HSD17B2 (Hydroxysteroid (17-Beta) Dehydrogenase 2 (HSD17B2))

Reactivité

  • 26
  • 21
  • 3
Humain

Hôte

  • 38
  • 3
Lapin

Clonalité

  • 40
  • 1
Polyclonal

Conjugué

  • 22
  • 2
  • 2
  • 2
  • 1
  • 1
  • 1
  • 1
  • 1
  • 1
  • 1
  • 1
  • 1
  • 1
  • 1
  • 1
  • 1
Cet anticorp HSD17B2 est non-conjugé

Application

  • 40
  • 16
  • 13
  • 13
  • 12
  • 11
  • 6
  • 4
  • 3
  • 2
  • 1
Western Blotting (WB), Immunohistochemistry (Paraffin-embedded Sections) (IHC (p)), Immunohistochemistry (Frozen Sections) (IHC (fro))
  • Épitope

    • 15
    • 7
    • 4
    • 4
    • 2
    • 2
    • 1
    • 1
    • 1
    • 1
    AA 373-387

    Purification

    Antigen affinity

    Immunogène

    Amino acids 373-387 (MPRALRMPNYKKKAT-human) were used as the immunogen for this HSD17B2 antibody.

    Isotype

    IgG
  • Indications d'application

    The stated application concentrations are suggested starting amounts. Titration of the HSD17B2 antibody may be required due to differences in protocols and secondary/substrate sensitivity.\. Western blot: 0.5-1 μg/mL,IHC (Paraffin): 0.5-1 μg/mL,IHC (Frozen): 0.5-1 μg/mL

    Restrictions

    For Research Use only
  • Buffer

    0.5 mg/mL if reconstituted with 0.2 mL sterile DI water

    Stock

    -20 °C

    Stockage commentaire

    After reconstitution, the HSD17B2 antibody can be stored for up to one month at 4°C. For long-term, aliquot and store at -20°C. Avoid repeated freezing and thawing.
  • Antigène

    HSD17B2 (Hydroxysteroid (17-Beta) Dehydrogenase 2 (HSD17B2))

    Autre désignation

    HSD17B2

    Sujet

    HSD17B2(17-beta-hydroxysteroid dehydrogenase II), also called 17-beta-HSD II, is an enzyme with 387 amino acids, a predicted molecular weight of 42,782D, and associate with the membranes of the endoplasmic reticulum. The type 2 enzyme is capable of catalyzing the interconversion of testosterone and androstenedione, as well as estradiol and estrone. HSD17B2 mRNA was detected in 18 of 42 (43 % ) adenomas but not in prolactinomas. In the human endometrium, inactivation of 17-beta-estradiol to estrone is catalyzed by HSD17B2. And it activity distinguishing between disease-free and diseased endometria. It efficiently catalyzes the oxidative metabolism of androgens and estrogens, and it is expressed in a large series of human peripheral tissues. The previous paradigm that HSD17B2 activity in the endometrium is elevated during the secretory phase is confined to diseased endometrium but not to disease-free endometrium.

    UniProt

    P37059

    Pathways

    Steroid Hormone Biosynthesis
Vous êtes ici:
Chat with us!