Tel:
+49 (0)241 95 163 153
Fax:
+49 (0)241 95 163 155
E-Mail:
orders@anticorps-enligne.fr

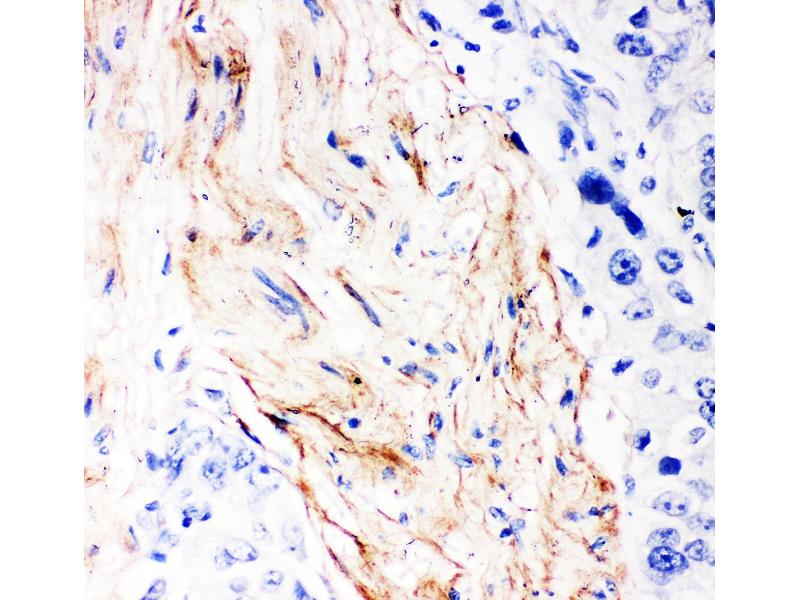
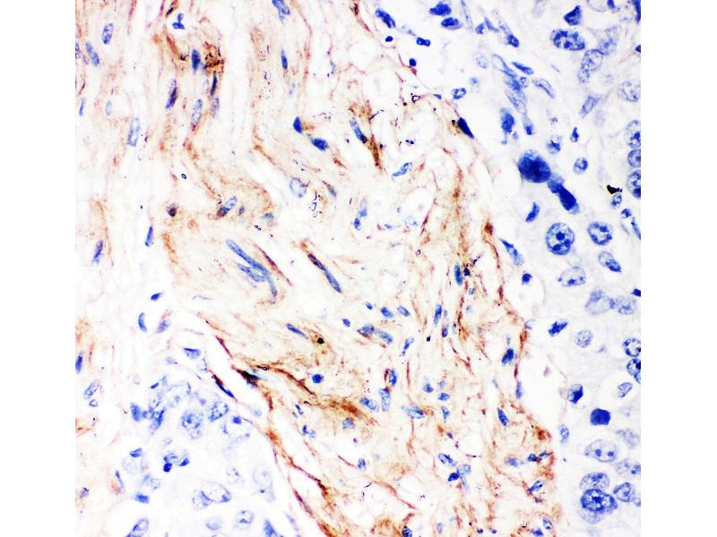
Decorin anticorps (AA 31-359)

Il existe 3+ publications pour ce produit. L’anticorps anti-Decorin Polyclonal Lapin est utilisé pour la détection de Decorin dans des échantillons de Humain, Souris et Rat. Il a été validé pour WB et IHC.
N° du produit ABIN3043487
500,50 €
Plus frais de livraison 40,00 € et TVA
100 μg
Destination: France
Envoi sous 8 à 12 jours ouvrables

Aperçu rapide pour Decorin anticorps (AA 31-359) (ABIN3043487)

Antigène

Voir toutes Decorin (DCN) Anticorps
Decorin (DCN)

Reactivité

  • 85
  • 34
  • 23
  • 11
  • 6
  • 4
  • 4
  • 4
  • 3
  • 3
  • 2
  • 2
  • 2
  • 2
  • 2
  • 1
Humain, Souris, Rat

Hôte

  • 65
  • 29
  • 4
  • 1
  • 1
Lapin

Clonalité

  • 70
  • 30
Polyclonal

Conjugué

  • 61
  • 10
  • 7
  • 5
  • 2
  • 2
  • 1
  • 1
  • 1
  • 1
  • 1
  • 1
  • 1
  • 1
  • 1
  • 1
  • 1
  • 1
  • 1
Cet anticorp Decorin est non-conjugé

Application

  • 50
  • 40
  • 30
  • 13
  • 10
  • 8
  • 6
  • 5
  • 3
  • 3
  • 3
  • 2
  • 1
  • 1
Western Blotting (WB), Immunohistochemistry (IHC)
  • Épitope

    • 14
    • 10
    • 6
    • 6
    • 5
    • 5
    • 5
    • 4
    • 3
    • 2
    • 2
    • 2
    • 1
    • 1
    • 1
    • 1
    • 1
    • 1
    • 1
    • 1
    • 1
    • 1
    • 1
    • 1
    AA 31-359

    Fonction

    Anti-Decorin/DCN Antibody

    Réactivité croisée (Details)

    No cross-reactivity with other proteins

    Attributs du produit

    Anti-Decorin/DCN Antibody (ABIN3043487). Tested in IHC, WB applications. This antibody reacts with Human, Mouse, Rat. This is a premium antibody that guarantees superior quality, high affinity, and strong signals with minimal background in Western blot applications.

    Purification

    Immunogen affinity purified.

    Immunogène

    E.coli-derived human Decorin recombinant protein (Position: D31-K359). Human Decorin shares 80% and 77% amino acid (aa) sequences identity with mouse and rat Decorin, respectively.

    Isotype

    IgG
  • Indications d'application

    Immunohistochemistry (Paraffin-embedded Section), 0.5-1 μg/mL, Human
    Western blot, 0.1-0.5 μg/mL, Human, Mouse, Rat

    Commentaires

    Antibody can be supported by chemiluminescence kit ABIN921124 in WB, supported by ABIN921231 in IHC(P).

    Restrictions

    For Research Use only
  • Format

    Lyophilized

    Reconstitution

    Add 0.2 mL of distilled water will yield a concentration of 500 μg/mL.

    Concentration

    500 μg/mL

    Buffer

    Each vial contains 4 mg Trehalose, 0.9 mg NaCl and 0.2 mg Na2HPO4.

    Conseil sur la manipulation

    Avoid repeated freezing and thawing.

    Stock

    4 °C,-20 °C

    Stockage commentaire

    Store at -20°C for one year from date of receipt. After reconstitution, at 4°C for one month.
    It can also be aliquotted and stored frozen at -20°C for six months. Avoid repeated freeze-thaw cycles.
  • Lai, Chen, Chen, Ruan, He, Chen, Tang, Wang: "Overexpression of decorin promoted angiogenesis in diabetic cardiomyopathy via IGF1R-AKT-VEGF signaling." dans: Scientific reports, Vol. 7, pp. 44473, (2018) (PubMed).

    Han, Wang, Jiang, Ma, Tian, Zang, Ma: "An Animal Model of Modic Changes by Embedding Autogenous Nucleus Pulposus inside Subchondral Bone of Lumbar Vertebrae." dans: Scientific reports, Vol. 6, pp. 35102, (2016) (PubMed).

    Huang, Zou, Shi, Zhang, Pen, Zhang, Gao, Wang: "The effect of electroacupuncture on the extracellular matrix synthesis and degradation in a rabbit model of disc degeneration." dans: Evidence-based complementary and alternative medicine : eCAM, Vol. 2014, pp. 731395, (2014) (PubMed).

  • Antigène

    Decorin (DCN)

    Autre désignation

    DCN

    Sujet

    Synonyms: Decorin,Bone proteoglycan II,PG-S2,PG40,DCN,SLRR1B,

    Tissue Specificity: Expressed at low levels in the lung, kidney and spleen.

    Background: Decorin is a protein that in humans is encoded by the DCN gene. This gene is mapped to 12q21.3. It belongs to the small leucine-rich proteoglycan (SLRP) family and consists of a protein core containing leucine repeats with a glycosaminoglycan (GAG) chain consisting of either chondroitin sulfate (CS) or dermatan sulfate (DS). Decorin is a small cellular or pericellular matrix proteoglycan and is closely related in structure to biglycan protein. This protein is a component of connective tissue, binds to type I collagen fibrils, and plays a role in matrix assembly. And it also may play a role in epithelial/mesenchymal interactions during organ development and shaping. Decorin has been shown to have anti-tumorigenic properties in an experimental murine tumor model and is capable of suppressing the growth of various tumor cell lines.

    Sequence Similarities: Belongs to the small leucine-rich proteoglycan (SLRP) family. SLRP class I subfamily.

    Poids moléculaire

    40-50 kDa, 80-140 kDa.

    ID gène

    1634

    UniProt

    P07585

    Pathways

    Glycosaminoglycan Metabolic Process
Vous êtes ici:
Chat with us!