Tel:
+49 (0)241 95 163 153
Fax:
+49 (0)241 95 163 155
E-Mail:
orders@anticorps-enligne.fr

HSD11B2 anticorps (C-Term)

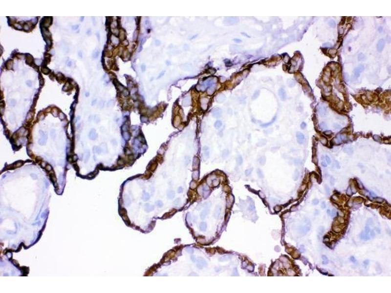
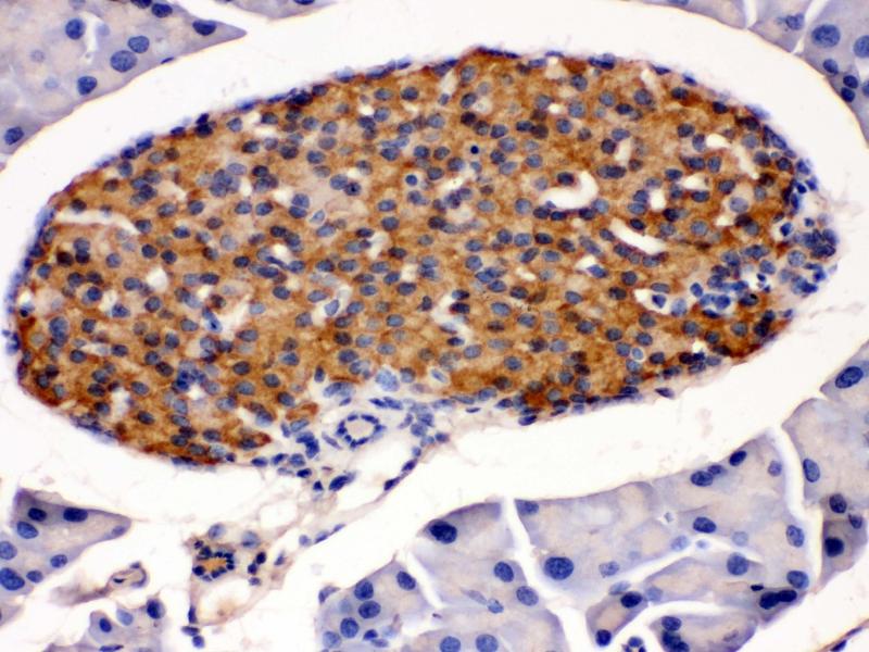
Cet anticorps Lapin Polyclonal détecte spécifiquement HSD11B2 dans WB, IHC, IHC (fro) et IF. Il présente une réactivité avec des échantillons de Humain, Souris et Rat.
N° du produit ABIN3043846
500,50 €
Plus frais de livraison 40,00 € et TVA
100 μg
Destination: France
Envoi sous 8 à 12 jours ouvrables

Aperçu rapide pour HSD11B2 anticorps (C-Term) (ABIN3043846)

Antigène

Voir toutes HSD11B2 Anticorps
HSD11B2 (Hydroxysteroid (11-Beta) Dehydrogenase 2 (HSD11B2))

Reactivité

  • 43
  • 23
  • 10
  • 2
  • 2
  • 2
  • 2
  • 2
  • 1
  • 1
Humain, Souris, Rat

Hôte

  • 61
  • 4
Lapin

Clonalité

  • 63
  • 2
Polyclonal

Conjugué

  • 33
  • 4
  • 4
  • 4
  • 2
  • 1
  • 1
  • 1
  • 1
  • 1
  • 1
  • 1
  • 1
  • 1
  • 1
  • 1
  • 1
  • 1
  • 1
  • 1
  • 1
  • 1
  • 1
Cet anticorp HSD11B2 est non-conjugé

Application

  • 49
  • 23
  • 18
  • 14
  • 14
  • 10
  • 7
  • 5
  • 5
  • 4
  • 2
  • 1
Western Blotting (WB), Immunohistochemistry (IHC), Immunohistochemistry (Frozen Sections) (IHC (fro)), Immunofluorescence (IF)
  • Épitope

    • 16
    • 8
    • 6
    • 4
    • 3
    • 3
    • 3
    • 2
    • 2
    • 1
    • 1
    • 1
    • 1
    • 1
    • 1
    • 1
    AA 277-309, C-Term

    Fonction

    Anti-HSD11B2 Antibody

    Séquence

    EKRKQLLLAN LPQELLQAYG KDYIEHLHGQ FLH

    Réactivité croisée (Details)

    No cross-reactivity with other proteins

    Attributs du produit

    Anti-HSD11B2 Antibody (ABIN3043846). Tested in IF, IHC, IHC-F, WB applications. This antibody reacts with Human, Mouse, Rat. This is a premium antibody that guarantees superior quality, high affinity, and strong signals with minimal background in Western blot applications.

    Purification

    Immunogen affinity purified.

    Immunogène

    A synthetic peptide corresponding to a sequence at the C-terminus of human HSD11B2, different from the related mouse sequence by five amino acids, and from the related rat sequence by three amino acids.

    Isotype

    IgG
  • Indications d'application

    Western blot, 0.1-0.5 μg/mL, Human, Mouse, Rat
    Immunohistochemistry (Paraffin-embedded Section), 0.5-1 μg/mL, Human, Mouse, Rat
    Immunohistochemistry(Frozen Section), 2-5 μg/mL, Human, Mouse, Rat
    Immunofluorescence, 5 μg/mL, Human

    Commentaires

    Antibody can be supported by chemiluminescence kit ABIN921124 in WB, supported by ABIN921231 in IHC(P).

    Restrictions

    For Research Use only
  • Format

    Lyophilized

    Reconstitution

    Add 0.2 mL of distilled water will yield a concentration of 500 μg/mL.

    Concentration

    500 μg/mL

    Buffer

    Each vial contains 5 mg BSA, 0.9 mg NaCl, 0.2 mg Na2HPO4, 0.05 mg Sodium azide.

    Agent conservateur

    Sodium azide

    Précaution d'utilisation

    This product contains Sodium azide: a POISONOUS AND HAZARDOUS SUBSTANCE which should be handled by trained staff only.

    Conseil sur la manipulation

    Avoid repeated freezing and thawing.

    Stock

    4 °C,-20 °C

    Stockage commentaire

    Store at -20°C for one year from date of receipt. After reconstitution, at 4°C for one month.
    It can also be aliquotted and stored frozen at -20°C for six months. Avoid repeated freeze-thaw cycles.
  • Antigène

    HSD11B2 (Hydroxysteroid (11-Beta) Dehydrogenase 2 (HSD11B2))

    Autre désignation

    HSD11B2

    Sujet

    Synonyms: Corticosteroid 11-beta-dehydrogenase isozyme 2,1.1.1.-,11-beta-hydroxysteroid dehydrogenase type 2,11-DH2,11-beta-HSD2,11-beta-hydroxysteroid dehydrogenase type II,11-HSD type II,11-beta-HSD type II,NAD-dependent 11-beta-hydroxysteroid dehydrogenase,11-beta-HSD,Short chain dehydrogenase/reductase family 9C member 3,HSD11B2,HSD11K , SDR9C3,

    Tissue Specificity: Expressed in kidney, pancreas, prostate, ovary, small intestine and colon. At midgestation, expressed at high levels in placenta and in fetal kidney and, at much lower levels, in fetal lung and testis (PubMed:8530071). .

    Background: Corticosteroid 11-β-dehydrogenase isozyme 2, also known as?11-β-hydroxysteroid dehydrogenase 2,?is an enzyme?that in humans is encoded by the?HSD11B2?gene. There are at least two isozymes of the corticosteroid 11-beta-dehydrogenase, a microsomal enzyme complex responsible for the interconversion of cortisol and cortisone. The type I isozyme has both 11-beta-dehydrogenase (cortisol to cortisone) and 11-oxoreductase (cortisone to cortisol) activities. The type II isozyme, encoded by this gene, has only 11-beta-dehydrogenase activity. In aldosterone-selective epithelial tissues such as the kidney, the type II isozyme catalyzes the glucocorticoid cortisol to the inactive metabolite cortisone, thus preventing illicit activation of the mineralocorticoid receptor. In tissues that do not express the mineralocorticoid receptor, such as the placenta and testis, it protects cells from the growth-inhibiting and/or pro-apoptotic effects of cortisol, particularly during embryonic development. Mutations in this gene cause the syndrome of apparent mineralocorticoid excess and hypertension.

    Poids moléculaire

    43 kDa

    ID gène

    3291

    UniProt

    P80365

    Pathways

    Steroid Hormone Biosynthesis, Regulation of Systemic Arterial Blood Pressure by Hormones
Vous êtes ici:
Chat with us!