Tel:
+49 (0)241 95 163 153
Fax:
+49 (0)241 95 163 155
E-Mail:
orders@anticorps-enligne.fr

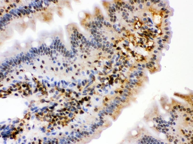
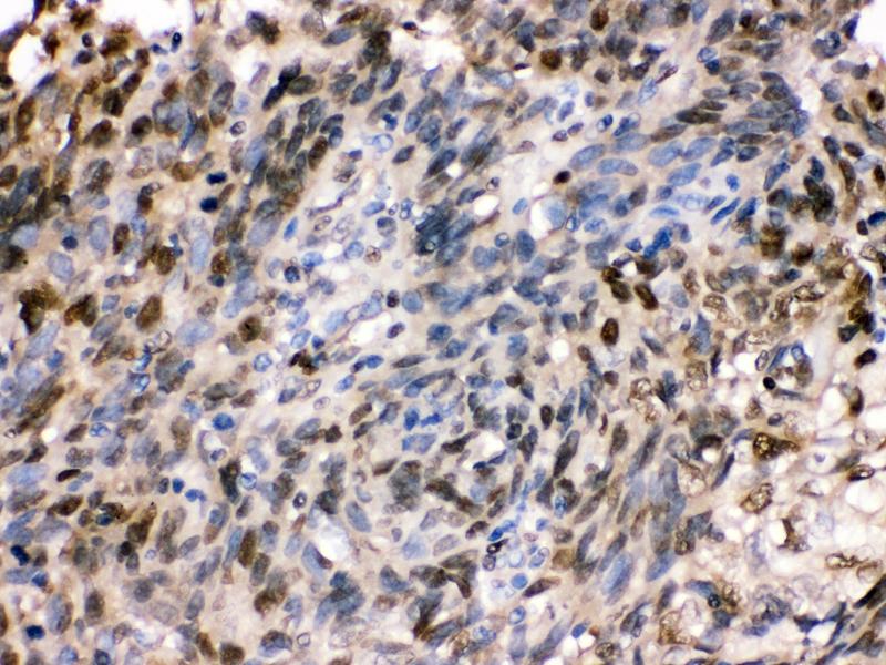
HSPA2 anticorps (C-Term)

L’anticorps anti-HSPA2 Polyclonal Lapin est utilisé pour la détection de HSPA2 dans des échantillons de Humain, Rat et Souris. Il a été validé pour WB, IHC, ICC, IF, FACS et IHC (fro).
N° du produit ABIN3043850
500,50 €
Plus frais de livraison 40,00 € et TVA
100 μg
Destination: France
Envoi sous 8 à 12 jours ouvrables

Aperçu rapide pour HSPA2 anticorps (C-Term) (ABIN3043850)

Antigène

Voir toutes HSPA2 Anticorps
HSPA2 (Heat Shock 70kDa Protein 2 (HSPA2))

Reactivité

  • 69
  • 44
  • 35
  • 3
  • 3
  • 3
  • 2
  • 2
  • 1
  • 1
  • 1
  • 1
Humain, Rat, Souris

Hôte

  • 62
  • 16
Lapin

Clonalité

  • 44
  • 34
Polyclonal

Conjugué

  • 35
  • 11
  • 4
  • 4
  • 4
  • 4
  • 4
  • 4
  • 4
  • 2
  • 2
Cet anticorp HSPA2 est non-conjugé

Application

  • 63
  • 37
  • 12
  • 10
  • 10
  • 9
  • 4
  • 2
  • 1
  • 1
Western Blotting (WB), Immunohistochemistry (IHC), Immunocytochemistry (ICC), Immunofluorescence (IF), Flow Cytometry (FACS), Immunohistochemistry (Frozen Sections) (IHC (fro))
  • Épitope

    • 8
    • 6
    • 6
    • 3
    • 1
    • 1
    • 1
    • 1
    • 1
    • 1
    • 1
    AA 564-598, C-Term

    Fonction

    Anti-HSPA2 Antibody

    Séquence

    KISEQDKNKI LDKCQEVINW LDRNQMAEKD EYEHK

    Réactivité croisée (Details)

    No cross-reactivity with other proteins

    Attributs du produit

    Anti-HSPA2 Antibody (ABIN3043850). Tested in Flow Cytometry, IF, IHC, IHC-F, ICC, WB applications. This antibody reacts with Human, Mouse, Rat. This is a premium antibody that guarantees superior quality, high affinity, and strong signals with minimal background in Western blot applications.

    Purification

    Immunogen affinity purified.

    Immunogène

    A synthetic peptide corresponding to a sequence at the C-terminus of human HSPA2, identical to the related mouse and rat sequences.

    Isotype

    IgG
  • Indications d'application

    Western blot, 0.1-0.5 μg/mL, Human, Mouse, Rat
    Immunohistochemistry (Paraffin-embedded Section), 0.5-1 μg/mL, Human, Mouse, Rat
    Immunohistochemistry (Frozen Section), 0.5-1 μg/mL, Human
    Immunocytochemistry/Immunofluorescence, 2 μg/mL, Human
    Flow Cytometry (Fixed), 1-3 μg/1x106 cells, Human

    Commentaires

    Antibody can be supported by chemiluminescence kit ABIN921124 in WB, supported by ABIN921231 in IHC(P).

    Restrictions

    For Research Use only
  • Format

    Lyophilized

    Reconstitution

    Add 0.2 mL of distilled water will yield a concentration of 500 μg/mL.

    Concentration

    500 μg/mL

    Buffer

    Each vial contains 5 mg BSA, 0.9 mg NaCl, 0.2 mg Na2HPO4, 0.05 mg Sodium azide.

    Agent conservateur

    Sodium azide

    Précaution d'utilisation

    This product contains Sodium azide: a POISONOUS AND HAZARDOUS SUBSTANCE which should be handled by trained staff only.

    Conseil sur la manipulation

    Avoid repeated freezing and thawing.

    Stock

    4 °C,-20 °C

    Stockage commentaire

    Store at -20°C for one year from date of receipt. After reconstitution, at 4°C for one month.
    It can also be aliquotted and stored frozen at -20°C for six months. Avoid repeated freeze-thaw cycles.
  • Antigène

    HSPA2 (Heat Shock 70kDa Protein 2 (HSPA2))

    Autre désignation

    HSPA2

    Sujet

    Synonyms: Heat shock-related 70 kDa protein 2,Heat shock 70 kDa protein 2,HSPA2,

    Tissue Specificity: Expressed in heart, skeletal muscle, eye and brain, and at much lower levels in some other tissues. .

    Background: HSPA2 (heat shock 70 kDa protein 2) is also known as HEAT-SHOCK PROTEIN, 70-KD, 2, HSP70-2, HEAT-SHOCK PROTEIN, 70-KD, 3 or HSP70-3. Analysis of the sequence indicated that HSPA2 is the human homolog of the murine Hsp70-2 gene, with 91.7 % identity in the nucleotide coding sequence and 98.2 % in the corresponding amino acid sequence. HSPA2 has less amino acid homology to the other members of the human HSP70 gene family. HSPA2 is constitutively expressed in most tissues, with very high levels in testis and skeletal muscle. The HSPA2 gene is located on chromosome 14q22-q24. Immunohistochemical analysis detected weak expression of HSPA2 in spermatocytes and stronger expression in spermatids and in the tail of mature sperm. HSPA2 may be critical to sperm maturation through its role as a protein chaperone.

    Sequence Similarities: Contains 1 HMG box DNA-binding domain.

    Poids moléculaire

    70 kDa

    ID gène

    3306

    UniProt

    P54652
Vous êtes ici:
Chat with us!