Tel:
+49 (0)241 95 163 153
Fax:
+49 (0)241 95 163 155
E-Mail:
orders@anticorps-enligne.fr

RAG2 anticorps (C-Term)

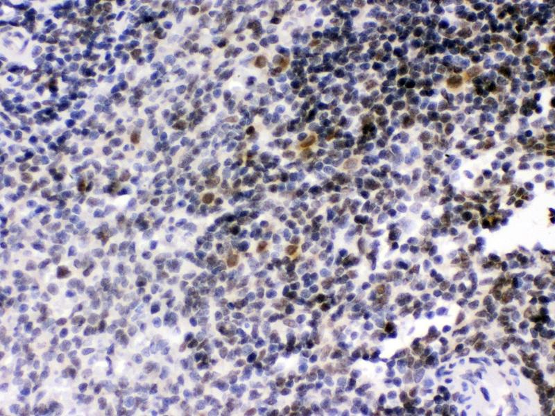
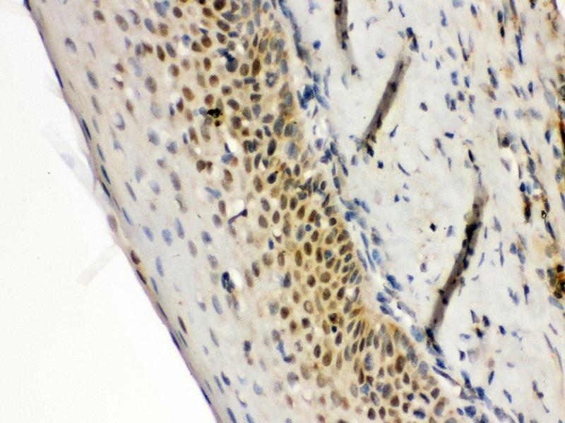
Cet anticorps Lapin Polyclonal détecte spécifiquement RAG2 dans WB et IHC. Il présente une réactivité avec des échantillons de Humain, Souris et Rat.
N° du produit ABIN3043918
500,50 €
Plus frais de livraison 40,00 € et TVA
100 μg
Destination: France
Envoi sous 8 à 12 jours ouvrables

Aperçu rapide pour RAG2 anticorps (C-Term) (ABIN3043918)

Antigène

Voir toutes RAG2 Anticorps
RAG2 (Recombination Activating Gene 2 (RAG2))

Reactivité

  • 48
  • 15
  • 11
  • 2
  • 2
  • 1
  • 1
  • 1
  • 1
Humain, Souris, Rat

Hôte

  • 41
  • 8
Lapin

Clonalité

  • 42
  • 7
Polyclonal

Conjugué

  • 25
  • 3
  • 2
  • 2
  • 1
  • 1
  • 1
  • 1
  • 1
  • 1
  • 1
  • 1
  • 1
  • 1
  • 1
  • 1
  • 1
  • 1
  • 1
  • 1
  • 1
Cet anticorp RAG2 est non-conjugé

Application

  • 22
  • 14
  • 13
  • 13
  • 6
  • 5
  • 4
  • 3
  • 2
  • 2
  • 2
  • 1
  • 1
Western Blotting (WB), Immunohistochemistry (IHC)
  • Épitope

    • 15
    • 4
    • 4
    • 2
    • 2
    • 2
    • 2
    • 1
    • 1
    • 1
    • 1
    • 1
    • 1
    AA 498-527, C-Term

    Fonction

    Anti-RAG2 Antibody

    Séquence

    KKPPMKSLRK KGSGKILTPA KKSFLRRLFD

    Réactivité croisée (Details)

    No cross-reactivity with other proteins.

    Attributs du produit

    Anti-RAG2 Antibody (ABIN3043918). Tested in IHC, WB applications. This antibody reacts with Human, Mouse, Rat. This is a premium antibody that guarantees superior quality, high affinity, and strong signals with minimal background in Western blot applications.

    Purification

    Immunogen affinity purified.

    Immunogène

    A synthetic peptide corresponding to a sequence at the C-terminus of human RAG2, different from the related mouse sequence by three amino acids.

    Isotype

    IgG
  • Indications d'application

    Immunohistochemistry (Paraffin-embedded Section), 0.5-1 μg/mL, Human, Mouse, Rat
    Western blot, 0.1-0.5 μg/mL, Human

    Commentaires

    Antibody can be supported by chemiluminescence kit ABIN921124 in WB, supported by ABIN921231 in IHC(P).

    Restrictions

    For Research Use only
  • Format

    Lyophilized

    Reconstitution

    Add 0.2 mL of distilled water will yield a concentration of 500 μg/mL.

    Concentration

    500 μg/mL

    Buffer

    Each vial contains 5 mg BSA, 0.9 mg NaCl, 0.2 mg Na2HPO4, 0.05 mg Sodium azide.

    Agent conservateur

    Sodium azide

    Précaution d'utilisation

    This product contains Sodium azide: a POISONOUS AND HAZARDOUS SUBSTANCE which should be handled by trained staff only.

    Conseil sur la manipulation

    Avoid repeated freezing and thawing.

    Stock

    4 °C,-20 °C

    Stockage commentaire

    Store at -20°C for one year from date of receipt. After reconstitution, at 4°C for one month.
    It can also be aliquotted and stored frozen at -20°C for six months. Avoid repeated freeze-thaw cycles.
  • Antigène

    RAG2 (Recombination Activating Gene 2 (RAG2))

    Autre désignation

    RAG2

    Sujet

    Synonyms: V (D)J recombination-activating protein 2,RAG-2,RAG2,

    Tissue Specificity: Cells of the B- and T-lymphocyte lineages.

    Background: Recombination activating gene 2, also known as RAG-2, is a protein that in humans is encoded by the RAG2 gene. This gene encodes a protein that is involved in the initiation of V (D)J recombination during B and T cell development. This protein forms a complex with the product of the adjacent recombination activating gene 1, and this complex can form double-strand breaks by cleaving DNA at conserved recombination signal sequences. The recombination activating gene 1 component is thought to contain most of the catalytic activity, while the N-terminal of the recombination activating gene 2 component is thought to form a six-bladed propeller in the active core that serves as a binding scaffold for the tight association of the complex with DNA. A C-terminal plant homeodomain finger-like motif in this protein is necessary for interactions with chromatin components, specifically with histone H3 that is trimethylated at lysine 4. Mutations in this gene cause Omenn syndrome, a form of severe combined immunodeficiency associated with autoimmune-like symptoms.

    Poids moléculaire

    59 kDa

    ID gène

    5897

    UniProt

    P55895

    Pathways

    Chromatin Binding, Production of Molecular Mediator of Immune Response
Vous êtes ici:
Chat with us!