Tel:
+49 (0)241 95 163 153
Fax:
+49 (0)241 95 163 155
E-Mail:
orders@anticorps-enligne.fr

2B4 anticorps (C-Term)

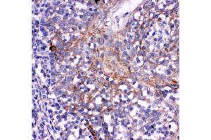
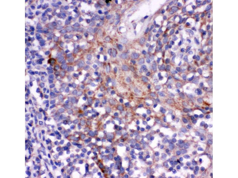
Cet anticorps Lapin Polyclonal détecte spécifiquement 2B4 dans WB et IHC. Il présente une réactivité avec des échantillons de Humain.
N° du produit ABIN3044068
500,50 €
Plus frais de livraison 40,00 € et TVA
100 μg
Destination: France
Envoi sous 8 à 12 jours ouvrables

Aperçu rapide pour 2B4 anticorps (C-Term) (ABIN3044068)

Antigène

Voir toutes 2B4 (CD244) Anticorps
2B4 (CD244) (Natural Killer Cell Receptor 2B4 (CD244))

Reactivité

  • 74
  • 29
  • 25
Humain

Hôte

  • 58
  • 29
  • 5
  • 4
Lapin

Clonalité

  • 59
  • 36
  • 1
Polyclonal

Conjugué

  • 43
  • 6
  • 6
  • 5
  • 2
  • 2
  • 2
  • 2
  • 2
  • 2
  • 2
  • 2
  • 2
  • 2
  • 2
  • 2
  • 2
  • 2
  • 2
  • 1
  • 1
  • 1
  • 1
  • 1
  • 1
Cet anticorp 2B4 est non-conjugé

Application

  • 61
  • 51
  • 26
  • 26
  • 25
  • 13
  • 9
  • 7
  • 6
  • 5
  • 5
  • 2
  • 1
  • 1
  • 1
  • 1
Western Blotting (WB), Immunohistochemistry (IHC)
  • Épitope

    • 16
    • 15
    • 4
    • 3
    • 3
    • 2
    • 2
    • 2
    • 2
    • 1
    • 1
    • 1
    • 1
    • 1
    • 1
    • 1
    • 1
    • 1
    • 1
    AA 357-370, C-Term

    Fonction

    Anti-CD244 Antibody

    Séquence

    RLSRKELENF DVYS

    Réactivité croisée (Details)

    No cross-reactivity with other proteins

    Attributs du produit

    Anti- Antibody (ABIN3044068). Tested in IHC, WB applications. This antibody reacts with Human. This is a premium antibody that guarantees superior quality, high affinity, and strong signals with minimal background in Western blot applications.

    Purification

    Immunogen affinity purified.

    Immunogène

    A synthetic peptide corresponding to a sequence at the C-terminus of human CD244.

    Isotype

    IgG
  • Indications d'application

    Immunohistochemistry (Paraffin-embedded Section), 0.5-1 μg/mL, Human
    Western blot, 0.1-0.5 μg/mL, Human

    Commentaires

    Antibody can be supported by chemiluminescence kit ABIN921124 in WB, supported by ABIN921231 in IHC(P).

    Restrictions

    For Research Use only
  • Format

    Lyophilized

    Reconstitution

    Add 0.2 mL of distilled water will yield a concentration of 500 μg/mL.

    Concentration

    500 μg/mL

    Buffer

    Each vial contains 5 mg BSA, 0.9 mg NaCl, 0.2 mg Na2HPO4, 0.05 mg Thimerosal, 0.05 mg Sodium azide.

    Agent conservateur

    Thimerosal (Merthiolate), Sodium azide

    Précaution d'utilisation

    This product contains Thimerosal (Merthiolate) and Sodium azide: POISONOUS AND HAZARDOUS SUBSTANCES which should be handled by trained staff only.

    Conseil sur la manipulation

    Avoid repeated freezing and thawing.

    Stock

    4 °C,-20 °C

    Stockage commentaire

    Store at -20°C for one year from date of receipt. After reconstitution, at 4°C for one month.
    It can also be aliquotted and stored frozen at -20°C for six months. Avoid repeated freeze-thaw cycles.

    Date de péremption

    12 months
  • Antigène

    2B4 (CD244) (Natural Killer Cell Receptor 2B4 (CD244))

    Autre désignation

    CD244

    Sujet

    Synonyms: Natural killer cell receptor 2B4,NK cell activation-inducing ligand,NAIL,NK cell type I receptor protein 2B4,NKR2B4,h2B4,SLAM family member 4,SLAMF4,Signaling lymphocytic activation molecule 4,CD244,CD244,2B4,

    Tissue Specificity: Expressed in spleen, PBL, followed by lung, liver, testis and small intestine. Expressed not only in NK cells, but also on monocytes and basophils. .

    Background: CD244 (Cluster of Differentiation 244) is a human protein encoded by the CD244 gene. It is also known as Natural Killer Cell Receptor 2B4. Tangye et al. (1999) mapped the 2B4 gene to 1q22. Suzuki et al. (2008) identified a functional single-nucleotide polymorphism (SNP) in the CD244 gene that contributes to rheumatoid arthritis susceptibility. Functional analysis by Boles et al. (1999) demonstrated that engagement of 2B4 with specific antibody activates NK cytolytic activity. Using recombinant human NK cell-activating ligand 2B4 fused to domains 3 and 4 of rodent Cd4 and flow cytometric analysis, Brown et al. (1998) demonstrated that CD48 binds to 2B4. Watzl et al. (2000) showed that antibody-mediated cross-linking of 2B4 leads to its rapid tyrosine phosphorylation, which is necessary for 2B4-mediated killer cell activity.

    Poids moléculaire

    42 kDa
Vous êtes ici:
Chat with us!