Tel:
+49 (0)241 95 163 153
Fax:
+49 (0)241 95 163 155
E-Mail:
orders@anticorps-enligne.fr

CD68 anticorps (Middle Region)

L’anticorps Lapin Polyclonal anti-CD68 a été validé pour IHC, FACS, WB et IF. Il convient pour détecter CD68 dans des échantillons de Souris et Rat. Il y a 34+ publications disponibles.
N° du produit ABIN3044428

Aperçu rapide pour CD68 anticorps (Middle Region) (ABIN3044428)

Antigène

Voir toutes CD68 Anticorps
CD68 (CD68 Molecule (CD68))

Reactivité

  • 201
  • 65
  • 41
  • 32
  • 28
  • 16
  • 8
  • 5
  • 2
  • 2
  • 1
Souris, Rat

Hôte

  • 138
  • 85
  • 18
  • 1
Lapin

Clonalité

  • 172
  • 66
  • 1
Polyclonal

Conjugué

  • 95
  • 17
  • 15
  • 9
  • 8
  • 8
  • 8
  • 8
  • 8
  • 8
  • 8
  • 4
  • 3
  • 3
  • 3
  • 3
  • 3
  • 2
  • 2
  • 2
  • 2
  • 1
  • 1
  • 1
  • 1
  • 1
  • 1
  • 1
  • 1
  • 1
  • 1
  • 1
  • 1
  • 1
  • 1
  • 1
  • 1
  • 1
  • 1
  • 1
  • 1
  • 1
  • 1
  • 1
Cet anticorp CD68 est non-conjugé

Application

  • 103
  • 98
  • 97
  • 66
  • 51
  • 36
  • 34
  • 30
  • 21
  • 18
  • 12
  • 8
  • 7
  • 4
  • 2
  • 2
  • 1
  • 1
  • 1
  • 1
  • 1
  • 1
Immunohistochemistry (IHC), Flow Cytometry (FACS), Western Blotting (WB), Immunofluorescence (IF)
  • Épitope

    • 25
    • 15
    • 13
    • 8
    • 7
    • 5
    • 4
    • 2
    • 2
    • 2
    • 2
    • 2
    • 2
    • 2
    • 2
    • 1
    • 1
    • 1
    • 1
    • 1
    • 1
    • 1
    • 1
    • 1
    • 1
    • 1
    • 1
    • 1
    • 1
    AA 312-326, Middle Region

    Fonction

    Anti-Macrosialin CD68 Antibody Picoband®

    Séquence

    AFCITRRRQS TYQPL

    Réactivité croisée (Details)

    No cross-reactivity with other proteins

    Attributs du produit

    < p class="text-grey mb-2">Superstar antibody: Boster's anti mouse CD68 antibody ((ABIN3044428)) is among its top 10 bestselling antibodies, and one of the most cited mouse/rat CD68 antibodies on the market. Because of this antibody's high demand, we have subsequently developed < a href="/anti-cd68-rabbit-monoclonal-antibody-(ABIN7604353)-boster.html" target="_blank">a rabbit monoclonal anti CD68 antibody ((ABIN7604353)) targetting a similar epitope.

    < p class="text-grey mb-2">High specificity: (ABIN3044428) reacts with murine macrosialin/CD68, and has been validated with Western blotting and confirmed its stellar specificity. CD68 is a highly glycosylated protein, and its expected western blot molecular weight is between 80 kDa to 110 kDa, depending on glycosylation level. (ABIN3044428)'s observed MW in WB is near 90-100 kDa. Testing on negative control tissues showed no significant bands (images available on request) or staining. See more info in the positive and negative control design section. Based on immunogen sequence homology, this antibody is not expected to cross react with other proteins from the LAMP family, which complies with QC testing observations.

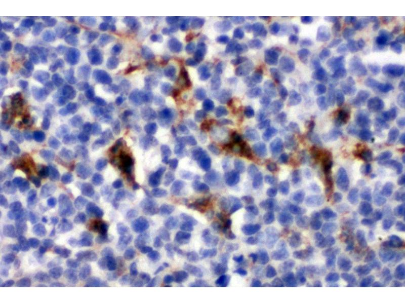
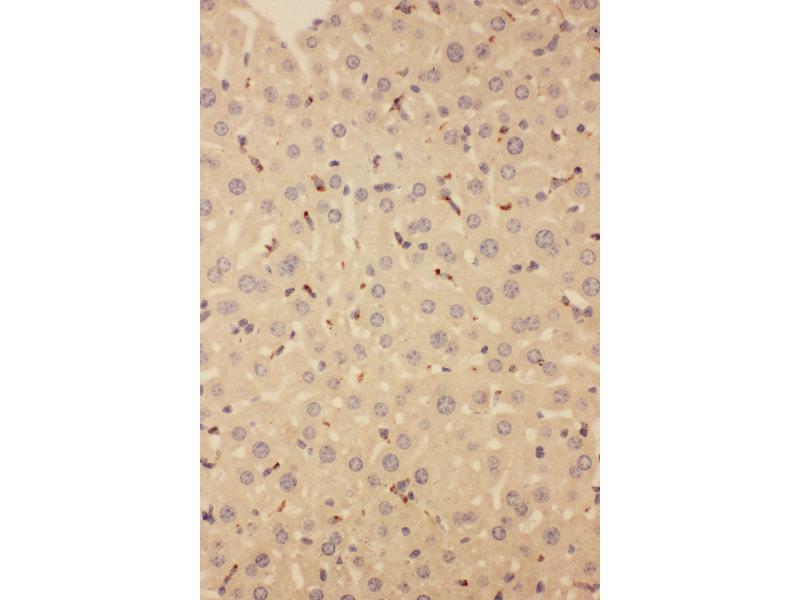
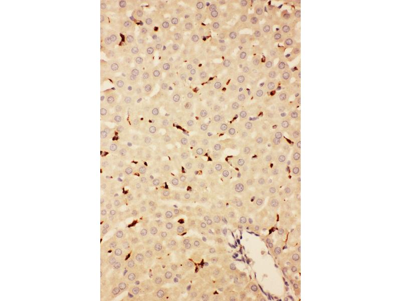
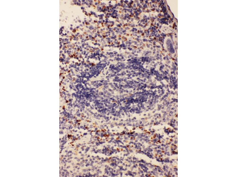
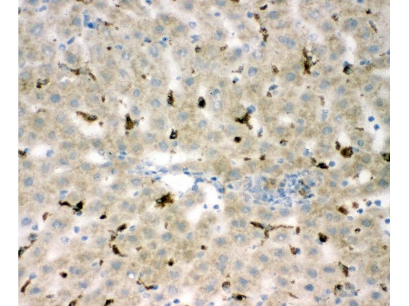
    < p class="text-grey mb-2">Great for CD68 IHC: This antibody produces clean and specific immunobiological stains in both mouse and rat tissues. Our QC team has validated it on spleen and liver tissues of both mice and rats. Click product images for more details on experiment conditions.

    < p class="text-grey mb-2">More about CD68: CD68 is a cell surface marker often used to identify macrophages and other cell types in the monocyte lineage. It is a transmembrane protein that binds to electins and selectins and plays a role in macrophage homing movement. Check out the < a href="/bosterbio-gene-info-cards/CD68" target="_blank">CD68 biomarker page for more information on CD68 and view all CD68 antibodies, ELISA kits and proteins.

    The brand Picoband indicates this is a premium antibody that guarantees superior quality, high affinity, and strong signals with minimal background in Western blot applications. Only our best-performing antibodies are designated as Picoband, ensuring unmatched performance.

    Purification

    Immunogen affinity purified.

    Immunogène

    A synthetic peptide corresponding to a sequence in the middle region of mouse CD68, different from the related rat sequence by one amino acid.

    Isotype

    IgG
  • Indications d'application

    Western blot, 0.1-0.5 μg/mL, Mouse, Rat
    Immunohistochemistry (Paraffin-embedded Section), 2-5 μg/mL, Mouse, Rat
    Immunofluorescence, 5 μg/mL, Mouse
    Flow Cytometry(Fixed), 1-3 μg/1x106 cells, Mouse
    1. Holness, C. L., Simmons, D. L.Molecular cloning of CD68, a human macrophage marker related to lysosomal glycoproteins.Blood 81: 1607-1613, 1993. 2. Jones, E., Quinn, C. M., See, C. G., Montgomery, D. S., Ford, M. J., Kolble, K., Gordon, S., Greaves, D. R.The linked human elongation initiation factor 4A1 (EIF4A1) and CD68 genes map to chromosome 17p13.Genomics 53: 248-250, 1998.

    Commentaires

    Antibody can be supported by chemiluminescence kit ABIN921124 in WB, supported by ABIN921231 in IHC(P) and IHC(F).

    Restrictions

    For Research Use only
  • Format

    Lyophilized

    Reconstitution

    Add 0.2 mL of distilled water will yield a concentration of 500 μg/mL.

    Concentration

    500 μg/mL

    Buffer

    Each vial contains 4 mg Trehalose, 0.9 mg NaCl and 0.2 mg Na2HPO4.

    Conseil sur la manipulation

    Avoid repeated freezing and thawing.

    Stock

    4 °C,-20 °C

    Stockage commentaire

    Store at -20°C for one year from date of receipt. After reconstitution, at 4°C for one month.
    It can also be aliquotted and stored frozen at -20°C for six months. Avoid repeated freeze-thaw cycles.
  • Spronck, Ramachandra, Moriyama, Toczek, Han, Sadeghi, Humphrey: "Deletion of matrix metalloproteinase-12 compromises mechanical homeostasis and leads to an aged aortic phenotype in young mice." dans: Journal of biomechanics, Vol. 141, pp. 111179, (2022) (PubMed).

    Liu, Huang, Su, Song, Lu: "Blockage of Galectin-receptor Interactions by α-lactose Exacerbates Plasmodium berghei-induced Pulmonary Immunopathology." dans: Scientific reports, Vol. 6, pp. 32024, (2018) (PubMed).

    Yin, Chang, Xu: "Expressions Profiles of the Proteins Associated with Carbohydrate Metabolism in Rat Liver Regeneration." dans: BioMed research international, Vol. 2017, pp. 8428926, (2018) (PubMed).

    Li, Fang, Tian, Wang, Ao, Hou, Tong, Fan, Bai: "Curcumin attenuates the development of thoracic aortic aneurysm by inhibiting VEGF expression and inflammation." dans: Molecular medicine reports, Vol. 16, Issue 4, pp. 4455-4462, (2018) (PubMed).

    Chen, Shi, Liu, Ren, He, Chang, Yin: "Activation of corticotropin-releasing factor receptor 1 aggravates dextran sodium sulphate-induced colitis in mice by promoting M1 macrophage polarization." dans: Molecular medicine reports, Vol. 17, Issue 1, pp. 234-242, (2018) (PubMed).

    Pang, Zhang, Huang, Xu, Wang, Wang, Guan, Zhang, Yu, Chen, Xie: "Effects and Mechanisms of Total Flavonoids from Blumea balsamifera (L.) DC. on Skin Wound in Rats." dans: International journal of molecular sciences, Vol. 18, Issue 12, (2018) (PubMed).

    Hoffman, Adeli: "LDL Receptor Gene-Ablated Hamsters: A Rodent Model of Familial Hypercholesterolemia with Dominant Inheritance and Diet-Induced Coronary Atherosclerosis." dans: EBioMedicine, Vol. 28, pp. 17-18, (2018) (PubMed).

    Lin, Li, Cai, Huang, Huang, Guo, Yang, Yang, Lan, Zhu: "Andrographolide Ameliorates Liver Fibrosis in Mice: Involvement of TLR4/NF-κB and TGF-β1/Smad2 Signaling Pathways." dans: Oxidative medicine and cellular longevity, Vol. 2018, pp. 7808656, (2018) (PubMed).

    Guo, Liao, Huang, Wang, Huang, Liu: "Reversal of adipose tissue loss by probucol in mice with deficiency of both scavenger receptor class B type 1 and LDL receptor on high fat diet." dans: Biochemical and biophysical research communications, (2017) (PubMed).

    Wang, Liu, Xiong, Xu, Shi, Qiu, Zang, Mao, Zhuang: "Inhibition of EGF Receptor Blocks the Development and Progression of Peritoneal Fibrosis." dans: Journal of the American Society of Nephrology : JASN, Vol. 27, Issue 9, pp. 2631-44, (2017) (PubMed).

    Liu, Xiao, Liu, Li, Zhou, Xian, Wang, Zhang, Wang, Ho, Zhuang: "SIV Infection Impairs the Central Nervous System in Chinese Rhesus Macaques." dans: Journal of neuroimmune pharmacology : the official journal of the Society on NeuroImmune Pharmacology, Vol. 11, Issue 3, pp. 592-600, (2017) (PubMed).

    Yang, Zhang, Yu, Tang, Gan: "Renin-angiotensin system activation accelerates atherosclerosis in experimental renal failure by promoting endoplasmic reticulum stress-related inflammation." dans: International journal of molecular medicine, Vol. 39, Issue 3, pp. 613-621, (2017) (PubMed).

    Li, Lu, Sun, Zuo, Wang, Yan: "Inhibition of endoplasmic reticulum stress signaling pathway: A new mechanism of statins to suppress the development of abdominal aortic aneurysm." dans: PLoS ONE, Vol. 12, Issue 4, pp. e0174821, (2017) (PubMed).

    Leftin, Ben-Chetrit, Klemm, Joyce, Koutcher: "Iron imaging reveals tumor and metastasis macrophage hemosiderin deposits in breast cancer." dans: PLoS ONE, Vol. 12, Issue 9, pp. e0184765, (2017) (PubMed).

    Leftin, Zhao, Turkekul, de Stanchina, Manova, Koutcher: "Iron deposition is associated with differential macrophage infiltration and therapeutic response to iron chelation in prostate cancer." dans: Scientific reports, Vol. 7, Issue 1, pp. 11632, (2017) (PubMed).

    Huang, Zhang, Guo, Huang, Yang, Chen, Huang, Zhang, Long, Yang: "Honokiol protects against doxorubicin cardiotoxicity via improving mitochondrial function in mouse hearts." dans: Scientific reports, Vol. 7, Issue 1, pp. 11989, (2017) (PubMed).

    Wang, Tian, Chen, Tan, Xie, Chen, Fu, Chen, Xu, Wei: "Low dose doxycycline decreases systemic inflammation and improves glycemic control, lipid profiles, and islet morphology and function in db/db mice." dans: Scientific reports, Vol. 7, Issue 1, pp. 14707, (2017) (PubMed).

    Qu, Bing, Meng, Xi, Bai, Liu, Guo, Zhao, Bi: "Upregulation of miR-126-3p promotes human saphenous vein endothelial cell proliferation in vitro and prevents vein graft neointimal formation ex vivo and in vivo." dans: Oncotarget, Vol. 8, Issue 63, pp. 106790-106806, (2017) (PubMed).

    Wang, Zhang, Chai, Liu, Li, Wang, Zhu, Cui, Qu, Zhu: "1,25(OH)2D3 downregulates the Toll-like receptor 4-mediated inflammatory pathway and ameliorates liver injury in diabetic rats." dans: Journal of endocrinological investigation, Vol. 38, Issue 10, pp. 1083-91, (2016) (PubMed).

    Yan, Fan, Bai, Hou, Li, Tong: "Zinc Prevents Abdominal Aortic Aneurysm Formation by Induction of A20-Mediated Suppression of NF-κB Pathway." dans: PLoS ONE, Vol. 11, Issue 2, pp. e0148536, (2016) (PubMed).

  • Antigène

    CD68 (CD68 Molecule (CD68))

    Autre désignation

    CD68

    Sujet

    Synonyms: Macrosialin,CD68,Cd68,

    Tissue Specificity: Expressed in tissue macrophages and to a lesser extent in dendritic cells.

    Background: CD68 is a heavily glycosylated glycoprotein that is highly expressed in macrophages and other mononuclear phagocytes. Macrosialin, if not glycosylated, has the main sequence that consists of 354 amino acids with an expected molecular weight of 37.4 kD. CD68, which can be located in the cytoplasmic granules of a variety of blood cells and myocytes, can be detected via immunohistochemistry. It's particularly effective as a marker for monocytes, histiocytes, giant cells, Kupffer cells, and osteoclasts, all of which belong to the macrophage lineage. CD68 is expressed in tissue macrophages and to a lesser extent in dendritic cells. CD68 is involved in tissue macrophage phagocytic activities, as well as intracellular lysosomal metabolism and extracellular cell-cell and cell-pathogen interactions. It works by binding to tissue and organ-specific lectins or selectins, enabling macrophage subsets to be ed to specific locations. Macrophages may be able to crawl over selectin-bearing substrates or other cells if CD68 is rapidly recirculated from endosomes and lysosomes to the plasma membrane.

    Sequence Similarities: Belongs to the LAMP family.

    Poids moléculaire

    90-100 kDa

    UniProt

    P31996
Vous êtes ici:
Chat with us!