Tel:
+49 (0)241 95 163 153
Fax:
+49 (0)241 95 163 155
E-Mail:
orders@anticorps-enligne.fr

Ceruloplasmin anticorps (AA 20-259)

L’anticorps anti-Ceruloplasmin Polyclonal Lapin est utilisé pour la détection de Ceruloplasmin dans des échantillons de Humain. Il a été validé pour WB et FACS.
N° du produit ABIN3044507
500,50 €
Plus frais de livraison 40,00 € et TVA
100 μg
Destination: France
Envoi sous 8 à 12 jours ouvrables

Aperçu rapide pour Ceruloplasmin anticorps (AA 20-259) (ABIN3044507)

Antigène

Voir toutes Ceruloplasmin (CP) Anticorps
Ceruloplasmin (CP) (Ceruloplasmin (Ferroxidase) (CP))

Reactivité

  • 61
  • 12
  • 11
Humain

Hôte

  • 54
  • 9
  • 6
  • 3
  • 1
Lapin

Clonalité

  • 62
  • 9
Polyclonal

Conjugué

  • 43
  • 11
  • 8
  • 5
  • 2
  • 2
  • 2
Cet anticorp Ceruloplasmin est non-conjugé

Application

  • 44
  • 34
  • 31
  • 15
  • 14
  • 12
  • 8
  • 8
  • 7
  • 6
  • 4
  • 2
  • 2
  • 2
  • 2
  • 1
  • 1
  • 1
Western Blotting (WB), Flow Cytometry (FACS)
  • Épitope

    • 10
    • 7
    • 3
    • 3
    • 2
    • 2
    • 1
    • 1
    • 1
    • 1
    • 1
    • 1
    • 1
    • 1
    • 1
    AA 20-259

    Fonction

    Anti-Ceruloplasmin/CP Antibody

    Réactivité croisée (Details)

    No cross-reactivity with other proteins.

    Attributs du produit

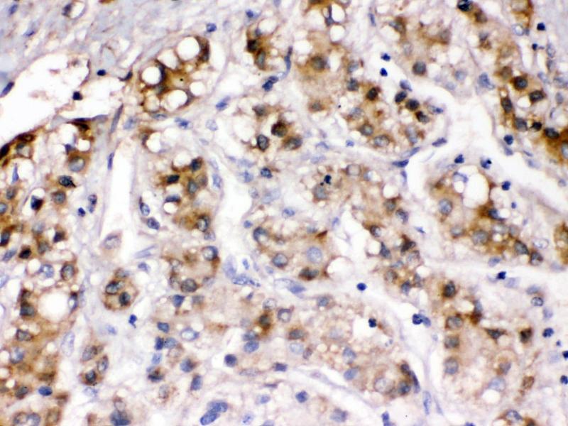
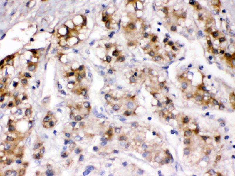
    Rabbit IgG polyclonal antibody for Ceruloplasmin(CP) detection. Tested with WB, IHC-P in Human.Protein Name: Ceruloplasmin

    Purification

    Immunogen affinity purified.

    Immunogène

    E. coli-derived human Ceruloplasmin recombinant protein (Position: K20-M259). Human Ceruloplasmin shares 80.8% and 79.6% amino acid (aa) sequence identity with mouse and rat Ceruloplasmin, respectively.

    Isotype

    IgG
  • Indications d'application

    Western blot, 0.1-0.5 μg/mL, Human
    Flow Cytometry(Fixed), 1-3 μg/1x106 cells, Human

    Commentaires

    Antibody can be supported by chemiluminescence kit ABIN921124 in WB, supported by ABIN921231 in IHC(P).

    Restrictions

    For Research Use only
  • Format

    Lyophilized

    Reconstitution

    Add 0.2 mL of distilled water will yield a concentration of 500 μg/mL.

    Concentration

    500 μg/mL

    Buffer

    Each vial contains 4 mg Trehalose, 0.9 mg NaCl and 0.2 mg Na2HPO4.

    Conseil sur la manipulation

    Avoid repeated freezing and thawing.

    Stock

    4 °C,-20 °C

    Stockage commentaire

    Store at -20°C for one year from date of receipt. After reconstitution, at 4°C for one month.
    It can also be aliquotted and stored frozen at -20°C for six months. Avoid repeated freeze-thaw cycles.
  • Antigène

    Ceruloplasmin (CP) (Ceruloplasmin (Ferroxidase) (CP))

    Autre désignation

    CP

    Sujet

    Synonyms: Ceruloplasmin;1.16.3.1;Ferroxidase;CP;

    Tissue Specificity: Expressed by the liver and secreted in plasma.

    Background: Ceruloplasmin  (or caeruloplasmin) is a ferroxidase enzyme that in humans is encoded by the CP gene. It is mapped to 3q23-q25. The protein encoded by this gene is a metalloprotein that binds most of the copper in plasma and is involved in the peroxidation of Fe (II)transferrin to Fe (III) transferrin. Mutations in this gene cause aceruloplasminemia, which results in iron accumulation and tissue damage, and is associated with diabetes and neurologic abnormalities. Two transcript variants, one protein-coding and the other not protein-coding, have been found for this gene.

    Poids moléculaire

    122 kDa

    ID gène

    1356

    UniProt

    P00450

    Pathways

    Transition Metal Ion Homeostasis
Vous êtes ici:
Chat with us!