Tel:
+49 (0)241 95 163 153
Fax:
+49 (0)241 95 163 155
E-Mail:
orders@anticorps-enligne.fr

CGB7 anticorps

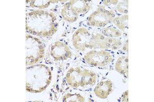
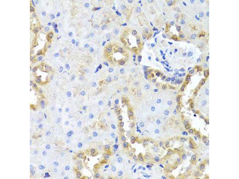
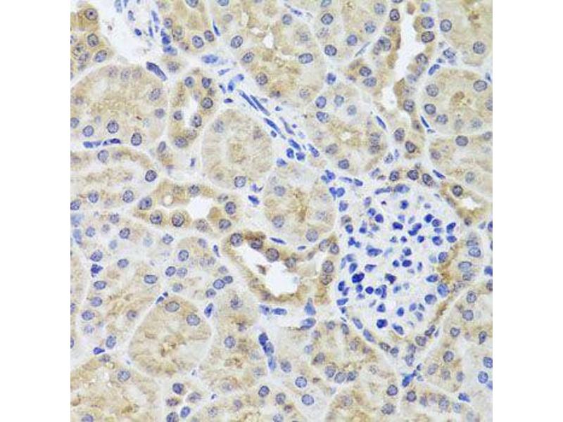
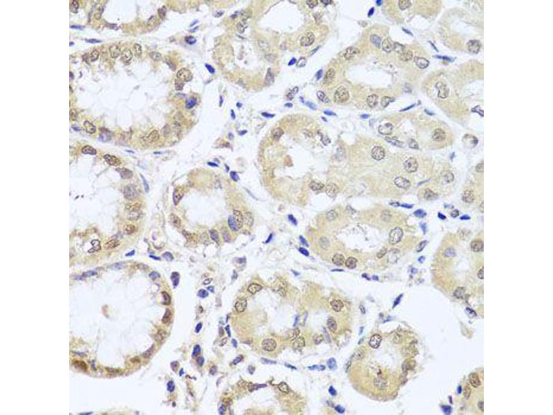
Cet anticorps anti-CGB7 Polyclonal Lapin (ABIN3046723) détecte spécifiquement CGB7 dans WB et IHC. L’anticorps est réactif avec des échantillons de Humain, Souris et Rat.
N° du produit ABIN3046723
678,88 €
Plus frais de livraison 40,00 € et TVA
Destination: France
Envoi sous 7 à 13 jours ouvrables

Aperçu rapide pour CGB7 anticorps (ABIN3046723)

Antigène

Voir toutes CGB7 Anticorps
CGB7 (Chorionic Gonadotropin, beta Polypeptide 7 (CGB7))

Reactivité

Humain, Souris, Rat

Hôte

  • 3
  • 3
Lapin

Clonalité

  • 3
  • 3
Polyclonal

Conjugué

  • 6
Cet anticorp CGB7 est non-conjugé

Application

  • 6
  • 3
  • 1
Western Blotting (WB), Immunohistochemistry (IHC)
  • Purification

    Affinity purified

    Isotype

    IgG
  • Indications d'application

    Optimal working dilution should be determined by the investigator.

    Restrictions

    For Research Use only
  • Format

    Liquid

    Concentration

    Lot specific

    Buffer

    PBS,  pH 7.3, 0.02 % sodium azide, 50 % glycerol.

    Agent conservateur

    Sodium azide

    Précaution d'utilisation

    This product contains Sodium azide: a POISONOUS AND HAZARDOUS SUBSTANCE which should be handled by trained staff only.

    Stock

    -20 °C

    Stockage commentaire

    Aliquot and store at -20 °C. Avoid repeated freeze/thaw cycles.
  • Antigène

    CGB7 (Chorionic Gonadotropin, beta Polypeptide 7 (CGB7))

    Autre désignation

    CGB7

    Poids moléculaire

    Calculated MW: 18 kDa
    Observed MW: 18 kDa

    ID gène

    94027

    UniProt

    P01233
Vous êtes ici:
Chat with us!