Tel:
+49 (0)241 95 163 153
Fax:
+49 (0)241 95 163 155
E-Mail:
orders@anticorps-enligne.fr

ANTXR2 anticorps

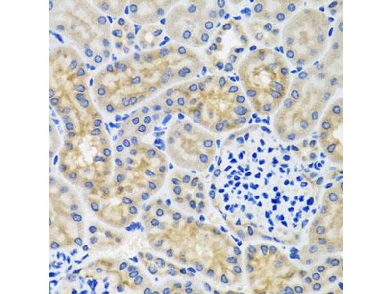
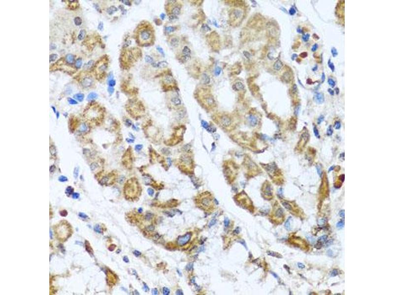
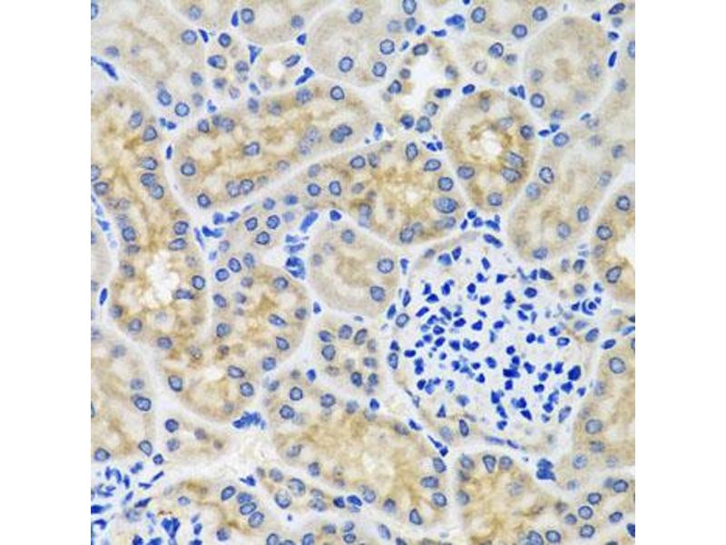
Cet anticorps Lapin Polyclonal détecte spécifiquement ANTXR2 dans WB et IHC. Il présente une réactivité avec des échantillons de Humain, Souris et Rat.
N° du produit ABIN3047544
954,16 €
Plus frais de livraison 40,00 € et TVA
Destination: France
Envoi sous 7 à 13 jours ouvrables

Aperçu rapide pour ANTXR2 anticorps (ABIN3047544)

Antigène

Voir toutes ANTXR2 Anticorps
ANTXR2 (Anthrax Toxin Receptor 2 (ANTXR2))

Reactivité

  • 40
  • 17
  • 12
  • 7
  • 7
  • 5
  • 4
  • 3
  • 3
  • 2
  • 2
  • 1
Humain, Souris, Rat

Hôte

  • 35
  • 6
  • 2
Lapin

Clonalité

  • 39
  • 4
Polyclonal

Conjugué

  • 25
  • 1
  • 1
  • 1
  • 1
  • 1
  • 1
  • 1
  • 1
  • 1
  • 1
  • 1
  • 1
  • 1
  • 1
  • 1
  • 1
  • 1
  • 1
Cet anticorp ANTXR2 est non-conjugé

Application

  • 40
  • 14
  • 13
  • 13
  • 11
  • 5
  • 4
  • 3
  • 3
  • 1
  • 1
Western Blotting (WB), Immunohistochemistry (IHC)
Vous êtes ici:
Chat with us!