×
Pour une meilleure utilisation, nous vous conseillons d’activer Javascript dans votre navigateur.
ZNF20 anticorps
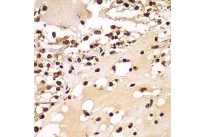
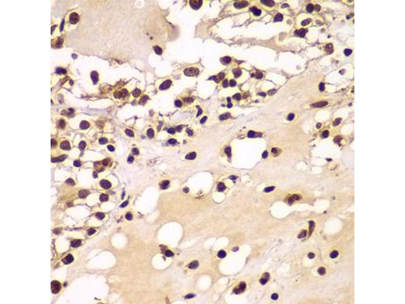
Cet anticorps anti-ZNF20 Polyclonal Lapin (ABIN3047743) détecte spécifiquement ZNF20 dans WB et IHC.
L’anticorps est réactif avec des échantillons de Humain, Souris et Rat.
N° du produit ABIN3047743
678,88 €
Plus frais de livraison 40,00 € et TVA
20 μL ABIN5975115
2 x 100 μL ABIN3033999
100 μL ABIN3047743
20 μL ABIN5975115
2 x 100 μL ABIN3033999
100 μL ABIN3047743
Envoi sous 7 à 13 jours ouvrables
Aperçu rapide pour ZNF20 anticorps (ABIN3047743)
Antigène
Voir toutes ZNF20 Anticorps
ZNF20
(Zinc Finger Protein 20 (ZNF20))
Reactivité
Toutes les réactivités sur ZNF20 Anticorps
Humain, Souris, Rat
Hôte
Toutes les hôtes sur ZNF20 Anticorps
Lapin
Clonalité
Toutes les clonalités sur ZNF20 Anticorps
Polyclonal
Conjugué
Tous les conjugués à travers ZNF20 Anticorps
Cet anticorp ZNF20 est non-conjugé
Application
Tous les applications à travers ZNF20 Anticorps.
Western Blotting (WB), Immunohistochemistry (IHC)
Détail du produit anti-ZNF20 anticorps
(cache)
Purification
Affinity purified
Isotype
IgG
Alternatives
(show)
Information d'application
(cache)
Indications d'application
Optimal working dilution should be determined by the investigator.
Restrictions
For Research Use only
Stockage
(cache)
Format
Liquid
Concentration
Lot specific
Buffer
PBS, pH 7.3, 0.02 % sodium azide, 50 % glycerol.
Agent conservateur
Sodium azide
Précaution d'utilisation
This product contains Sodium azide: a POISONOUS AND HAZARDOUS SUBSTANCE which should be handled by trained staff only.
Stock
-20 °C
Stockage commentaire
Aliquot and store at -20 °C. Avoid repeated freeze/thaw cycles.
Détails sur ZNF20
(cache)
Antigène
ZNF20
(Zinc Finger Protein 20 (ZNF20))
Autre désignation
ZNF20
Poids moléculaire
Calculated MW: 61 kDa Observed MW: 62 kDa
ID gène
7568
UniProt
P17024
Vus récemment
(cache)
Chat with us , powered by LiveChat