×
Pour une meilleure utilisation, nous vous conseillons d’activer Javascript dans votre navigateur.
CDC2 / CDK2 anticorps (pThr160)
L’anticorps anti-CDC2 / CDK2 Polyclonal Lapin est utilisé pour la détection de CDC2 / CDK2 dans des échantillons de Humain, Souris et Rat. Il a été validé pour ELISA, WB et IHC.
N° du produit ABIN3182478
377,51 €
Plus frais de livraison 40,00 € et TVA
50 μL ABIN6280720
100 μL ABIN3182478
200 μL ABIN3173198
50 μL ABIN6280720
100 μL ABIN3182478
200 μL ABIN3173198
Envoi sous 8 à 10 jours ouvrables
Aperçu rapide pour CDC2 / CDK2 anticorps (pThr160) (ABIN3182478)
Antigène
CDC2 / CDK2 (CDC2)
(Cyclin-Dependent Kinase A-1 (CDC2))
Reactivité
Humain, Souris, Rat
Hôte
Toutes les hôtes sur CDC2 / CDK2 Anticorps
Lapin
Clonalité
Toutes les clonalités sur CDC2 / CDK2 Anticorps
Polyclonal
Conjugué
Tous les conjugués à travers CDC2 / CDK2 Anticorps
Cet anticorp CDC2 / CDK2 est non-conjugé
Application
Tous les applications à travers CDC2 / CDK2 Anticorps.
ELISA, Western Blotting (WB), Immunohistochemistry (IHC)
Détail du produit anti-CDC2 / CDK2 anticorps
(cache)
Épitope
pThr160
Specificité
Phospho-Cdk2/Cdc2 (T160) Polyclonal Antibody detects endogenous levels of Cdk2/Cdc2 protein only when phosphorylated at T160.
Attributs du produit
Rabbit Polyclonal to Phospho-Cdk2/Cdc2 (T160).
Purification
The antibody was affinity-purified from rabbit antiserum by affinity-chromatography using epitope-specific immunogen.
Immunogène
Synthesized peptide derived from human Cdk2/Cdc2 around the phosphorylation site of T160.
Isotype
IgG
Alternatives
(show)
Information d'application
(cache)
Indications d'application
WB 1:500-1:2000, IHC 1:100-1:300, ELISA 1:20000,
Restrictions
For Research Use only
Stockage
(cache)
Format
Liquid
Concentration
1 mg/mL
Buffer
Liquid in PBS containing 50 % glycerol, 0.5 % BSA and 0.02 % sodium azide.
Agent conservateur
Sodium azide
Précaution d'utilisation
This product contains Sodium azide: a POISONOUS AND HAZARDOUS SUBSTANCE which should be handled by trained staff only.
Conseil sur la manipulation
Avoid repeated freeze/thaw cycles.
Stock
-20 °C
Stockage commentaire
Store at -20°C.
Détails sur CDC2 / CDK2
(cache)
Antigène
CDC2 / CDK2 (CDC2)
(Cyclin-Dependent Kinase A-1 (CDC2))
Autre désignation
Cdk2/Cdc2
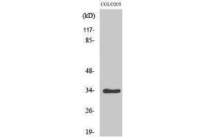
Poids moléculaire
33 kDa
ID gène
1017
UniProt
P24941
Vus récemment
(cache)
Chat with us , powered by LiveChat