×
Pour une meilleure utilisation, nous vous conseillons d’activer Javascript dans votre navigateur.
TCEAL1 anticorps (Internal Region)
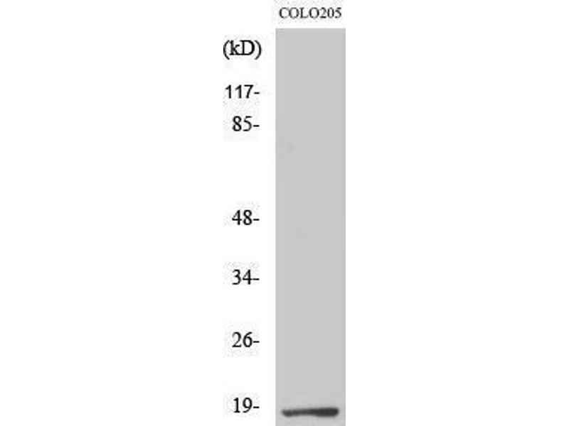
Cet anticorps anti-TCEAL1 Polyclonal Lapin (ABIN3187199) détecte spécifiquement TCEAL1 dans WB, ELISA, IHC et ICC.
L’anticorps est réactif avec des échantillons de Humain, Souris et Rat.
N° du produit ABIN3187199
377,51 €
Plus frais de livraison 40,00 € et TVA
50 μL ABIN6284591
100 μL ABIN3187199
200 μL ABIN3180357
50 μL ABIN6284591
100 μL ABIN3187199
200 μL ABIN3180357
Envoi sous 8 à 10 jours ouvrables
Aperçu rapide pour TCEAL1 anticorps (Internal Region) (ABIN3187199)
Antigène
Voir toutes TCEAL1 Anticorps
TCEAL1
(Transcription Elongation Factor A (SII)-Like 1 (TCEAL1))
Reactivité
Toutes les réactivités sur TCEAL1 Anticorps
Humain, Souris, Rat
Hôte
Toutes les hôtes sur TCEAL1 Anticorps
Lapin
Clonalité
Toutes les clonalités sur TCEAL1 Anticorps
Polyclonal
Conjugué
Tous les conjugués à travers TCEAL1 Anticorps
Cet anticorp TCEAL1 est non-conjugé
Application
Tous les applications à travers TCEAL1 Anticorps.
Western Blotting (WB), ELISA, Immunohistochemistry (IHC), Immunocytochemistry (ICC)
Détail du produit anti-TCEAL1 anticorps
(cache)
Épitope
Tous les épitopes à travers TCEAL1 Anticorps.
Internal Region
Specificité
TCEAL1 Polyclonal Antibody detects endogenous levels of TCEAL1 protein.
Attributs du produit
Rabbit Polyclonal to TCEAL1.
Purification
The antibody was affinity-purified from rabbit antiserum by affinity-chromatography using epitope-specific immunogen.
Immunogène
Synthesized peptide derived from the Internal region of human TCEAL1.
Isotype
IgG
Alternatives
(show)
Information d'application
(cache)
Indications d'application
WB 1:500-1:2000, IHC 1:100-1:300, ICC 1:200-1:1000, ELISA 1:10000,
Restrictions
For Research Use only
Stockage
(cache)
Format
Liquid
Concentration
1 mg/mL
Buffer
Liquid in PBS containing 50 % glycerol, 0.5 % BSA and 0.02 % sodium azide.
Agent conservateur
Sodium azide
Précaution d'utilisation
This product contains Sodium azide: a POISONOUS AND HAZARDOUS SUBSTANCE which should be handled by trained staff only.
Conseil sur la manipulation
Avoid repeated freeze/thaw cycles.
Stock
-20 °C
Stockage commentaire
Store at -20°C.
Détails sur TCEAL1
(cache)
Antigène
TCEAL1
(Transcription Elongation Factor A (SII)-Like 1 (TCEAL1))
Autre désignation
TCEAL1
Poids moléculaire
20 kDa
ID gène
9338
UniProt
Q15170
Vus récemment
(cache)
Chat with us , powered by LiveChat