×
Pour une meilleure utilisation, nous vous conseillons d’activer Javascript dans votre navigateur.
IREM1 anticorps (Internal Region)
Cet anticorps anti-IREM1 Polyclonal Lapin (ABIN3187967) détecte spécifiquement IREM1 dans ELISA, WB et IHC (p).
L’anticorps est réactif avec des échantillons de Humain.
N° du produit ABIN3187967
377,51 €
Plus frais de livraison 40,00 € et TVA
50 μL ABIN6283929
100 μL ABIN3187967
200 μL ABIN3178491
50 μL ABIN6283929
100 μL ABIN3187967
200 μL ABIN3178491
Envoi sous 8 à 10 jours ouvrables
Aperçu rapide pour IREM1 anticorps (Internal Region) (ABIN3187967)
Antigène
Voir toutes IREM1 Anticorps
IREM1
(Immune Receptor Expressed On Myeloid Cells 1 (IREM1))
Reactivité
Toutes les réactivités sur IREM1 Anticorps
Humain
Hôte
Toutes les hôtes sur IREM1 Anticorps
Lapin
Clonalité
Toutes les clonalités sur IREM1 Anticorps
Polyclonal
Conjugué
Tous les conjugués à travers IREM1 Anticorps
Cet anticorp IREM1 est non-conjugé
Application
Tous les applications à travers IREM1 Anticorps.
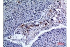
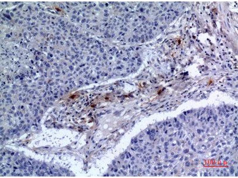
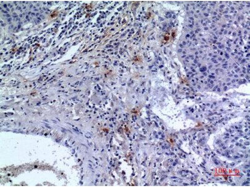
ELISA, Western Blotting (WB), Immunohistochemistry (Paraffin-embedded Sections) (IHC (p))
Détail du produit anti-IREM1 anticorps
(cache)
Épitope
Tous les épitopes à travers IREM1 Anticorps.
Internal Region
Specificité
CD300f Polyclonal Antibody detects endogenous levels of CD300f protein.
Attributs du produit
Rabbit Polyclonal to CD300f.
Purification
The antibody was affinity-purified from rabbit antiserum by affinity-chromatography using epitope-specific immunogen.
Immunogène
Synthesized peptide derived from the Internal region of human CD300f.
Isotype
IgG
Alternatives
(show)
Information d'application
(cache)
Indications d'application
WB 1:500-1:2000, IHC-P 1:100-1:300, ELISA 1:20000,
Restrictions
For Research Use only
Stockage
(cache)
Format
Liquid
Concentration
1 mg/mL
Buffer
Liquid in PBS containing 50 % glycerol, 0.5 % BSA and 0.02 % sodium azide.
Agent conservateur
Sodium azide
Précaution d'utilisation
This product contains Sodium azide: a POISONOUS AND HAZARDOUS SUBSTANCE which should be handled by trained staff only.
Conseil sur la manipulation
Avoid repeated freeze/thaw cycles.
Stock
-20 °C
Stockage commentaire
Store at -20°C.
Détails sur IREM1
(cache)
Antigène
IREM1
(Immune Receptor Expressed On Myeloid Cells 1 (IREM1))
Autre désignation
CD300f
Poids moléculaire
30 kDa
ID gène
146722
UniProt
Q8TDQ1
Vus récemment
(cache)
Chat with us , powered by LiveChat