Tel:
+49 (0)241 95 163 153
Fax:
+49 (0)241 95 163 155
E-Mail:
orders@anticorps-enligne.fr

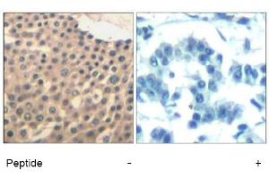
HDAC4/HDAC5/HDAC9 anticorps (Ser220, Ser246, Ser259)

Cet anticorps anti-HDAC4/HDAC5/HDAC9 Polyclonal Lapin (ABIN319389) détecte spécifiquement HDAC4/HDAC5/HDAC9 dans WB, IF et IHC (p). L’anticorps est réactif avec des échantillons de Humain et Souris.
N° du produit ABIN319389
606,15 €
Plus frais de livraison 40,00 € et TVA
Destination: France
Envoi sous 17 jours ouvrables

Aperçu rapide pour HDAC4/HDAC5/HDAC9 anticorps (Ser220, Ser246, Ser259) (ABIN319389)

Antigène

HDAC4/HDAC5/HDAC9 (HDAC4,HDAC5,HDAC9)

Reactivité

  • 19
  • 11
  • 1
Humain, Souris

Hôte

  • 19
Lapin

Clonalité

  • 19
Polyclonal

Conjugué

  • 5
  • 2
  • 2
  • 2
  • 2
  • 2
  • 2
  • 2
Cet anticorp HDAC4/HDAC5/HDAC9 est non-conjugé

Application

  • 5
  • 4
  • 2
  • 1
Western Blotting (WB), Immunofluorescence (IF), Immunohistochemistry (Paraffin-embedded Sections) (IHC (p))
  • Épitope

    • 10
    • 9
    • 8
    • 1
    • 1
    Ser220, Ser246, Ser259

    Purification

    Immunoaffinity Chromatography

    Immunogène

    The antiserum was produced against synthesized non-phosphopeptide derived from human HDAC4/HDAC5/HDAC9 around the phosphorylation site of Serine 246/259/220 (T-A-Sp-EP).
  • Indications d'application

    Western Blot (1/500-1/1000). Immunohistochemistry (1/50-1/100). Immunofluorescence (1/100-1/200).
    Other applications not tested.
    Optimal dilutions are dependent on conditions and should be determined by the user.

    Restrictions

    For Research Use only
  • Concentration

    1,0 mg/mL

    Buffer

    PBS (without Mg2+ and Ca2+), pH 7.4, 150 mM NaCl, 0.02 % Sodium Azide and 50 % Glycerol.

    Agent conservateur

    Sodium azide

    Précaution d'utilisation

    This product contains sodium azide: a POISONOUS AND HAZARDOUS SUBSTANCE which should be handled by trained staff only.

    Conseil sur la manipulation

    Avoid repeated freezing and thawing.

    Stock

    -20 °C

    Stockage commentaire

    Store the antibody (in aliquots) at-20 °C.
  • Antigène

    HDAC4/HDAC5/HDAC9 (HDAC4,HDAC5,HDAC9)

    Sujet

    Synonyms: HDAC-4, HDAC-5, HDAC-9, Histone Deacetylase
Vous êtes ici:
Chat with us!