×
Pour une meilleure utilisation, nous vous conseillons d’activer Javascript dans votre navigateur.
U2AF1 anticorps
Cet anticorps anti-U2AF1 Polyclonal Lapin (ABIN7308460) détecte spécifiquement U2AF1 dans WB et IHC.
L’anticorps est réactif avec des échantillons de Humain, Souris et Rat.
N° du produit ABIN7308460
330,77 €
Plus frais de livraison 40,00 € et TVA
30 μL ABIN7689428
50 μL ABIN7308461
100 μL ABIN7308460
200 μL ABIN3198361
30 μL ABIN7689428
50 μL ABIN7308461
100 μL ABIN7308460
200 μL ABIN3198361
Envoi sous 17 à 20 jours ouvrables
Aperçu rapide pour U2AF1 anticorps (ABIN7308460)
Antigène
Voir toutes U2AF1 Anticorps
U2AF1
(U2 Small Nuclear RNA Auxiliary Factor 1 (U2AF1))
Reactivité
Toutes les réactivités sur U2AF1 Anticorps
Humain, Souris, Rat
Hôte
Toutes les hôtes sur U2AF1 Anticorps
Lapin
Clonalité
Toutes les clonalités sur U2AF1 Anticorps
Polyclonal
Conjugué
Tous les conjugués à travers U2AF1 Anticorps
Cet anticorp U2AF1 est non-conjugé
Application
Tous les applications à travers U2AF1 Anticorps.
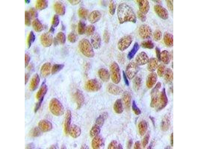
Western Blotting (WB), Immunohistochemistry (IHC)
Détail du produit anti-U2AF1 anticorps
(cache)
Fonction
Rabbit polyclonal antibody to U2AF1
Specificité
Recognizes endogenous levels of U2AF1 protein.
Attributs du produit
Rabbit polyclonal antibody to U2AF1
Purification
The antibody was purified by immunogen affinity chromatography.
Immunogène
Recombinant fusion protein of human U2AF1
Alternatives
(show)
Information d'application
(cache)
Indications d'application
WB (1/500 - 1/2000), IH (1/50 - 1/200)
Restrictions
For Research Use only
Stockage
(cache)
Format
Liquid
Buffer
Liquid in 0.42 % Potassium phosphate, 0.87 % Sodium chloride, pH 7.3, 30 % glycerol, and 0.01 % sodium azide.
Agent conservateur
Sodium azide
Précaution d'utilisation
This product contains Sodium azide: a POISONOUS AND HAZARDOUS SUBSTANCE which should be handled by trained staff only.
Stock
-20 °C
Stockage commentaire
Shipped at 4°C. Upon delivery aliquot and store at -20°C for one year. Avoid freeze/thaw cycles.
Date de péremption
12 months
Détails sur U2AF1
(cache)
Antigène
U2AF1
(U2 Small Nuclear RNA Auxiliary Factor 1 (U2AF1))
Autre désignation
U2AF1
Sujet
U2AF35, U2AFBP, Splicing factor U2AF 35 kDa subunit, U2 auxiliary factor 35 kDa subunit, U2 small nuclear RNA auxiliary factor 1, U2 snRNP auxiliary factor small subunit
ID gène
102724594, 108121
UniProt
Q01081
Vus récemment
(cache)
Chat with us , powered by LiveChat