Tel:
+49 (0)241 95 163 153
Fax:
+49 (0)241 95 163 155
E-Mail:
orders@anticorps-enligne.fr

ADRA1D anticorps (C-Term)

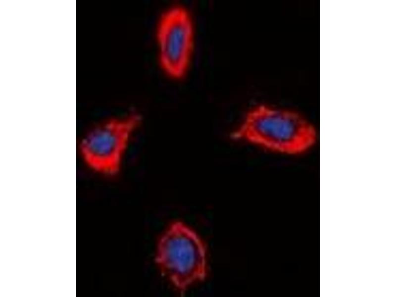
L’anticorps anti-ADRA1D Polyclonal Lapin est utilisé pour la détection de ADRA1D dans des échantillons de Humain. Il a été validé pour IHC, WB et IF.
N° du produit ABIN7303448
330,77 €
Plus frais de livraison 40,00 € et TVA
Destination: France
Envoi sous 17 à 20 jours ouvrables

Aperçu rapide pour ADRA1D anticorps (C-Term) (ABIN7303448)

Antigène

Voir toutes ADRA1D Anticorps
ADRA1D (Adrenergic Receptor, alpha 1d (ADRA1D))

Reactivité

  • 21
  • 14
  • 10
  • 4
  • 4
  • 3
  • 3
  • 3
  • 3
  • 3
  • 2
  • 1
  • 1
Humain

Hôte

  • 22
Lapin

Clonalité

  • 22
Polyclonal

Conjugué

  • 15
  • 1
  • 1
  • 1
  • 1
  • 1
  • 1
  • 1
Cet anticorp ADRA1D est non-conjugé

Application

  • 9
  • 7
  • 7
  • 4
  • 4
  • 3
  • 1
  • 1
Immunohistochemistry (IHC), Western Blotting (WB), Immunofluorescence (IF)
  • Épitope

    • 4
    • 2
    • 2
    • 1
    • 1
    • 1
    • 1
    • 1
    • 1
    • 1
    • 1
    • 1
    C-Term

    Fonction

    Rabbit polyclonal antibody to Alpha-1D Adrenergic Receptor

    Specificité

    Recognizes endogenous levels of Alpha-1D Adrenergic Receptor protein.

    Attributs du produit

    Rabbit polyclonal antibody to Alpha-1D Adrenergic Receptor

    Purification

    The antibody was purified by immunogen affinity chromatography.

    Immunogène

    KLH-conjugated synthetic peptide encompassing a sequence within the C-term region of human Alpha-1D Adrenergic Receptor. The exact sequence is proprietary.
  • Indications d'application

    WB (1/500 - 1/2000), IH (1/50 - 1/200), IF/IC (1/50 - 1/100)

    Restrictions

    For Research Use only
  • Format

    Liquid

    Buffer

    Liquid in 0.42 % Potassium phosphate, 0.87 % Sodium chloride, pH 7.3, 30 % glycerol, and 0.01 % sodium azide.

    Agent conservateur

    Sodium azide

    Précaution d'utilisation

    This product contains Sodium azide: a POISONOUS AND HAZARDOUS SUBSTANCE which should be handled by trained staff only.

    Stock

    -20 °C

    Stockage commentaire

    Shipped at 4°C. Upon delivery aliquot and store at -20°C for one year. Avoid freeze/thaw cycles.

    Date de péremption

    12 months
  • Antigène

    ADRA1D (Adrenergic Receptor, alpha 1d (ADRA1D))

    Autre désignation

    alpha-1D Adrenergic Receptor

    Sujet

    ADRA1A, Alpha-1D adrenergic receptor, Alpha-1A adrenergic receptor, Alpha-1D adrenoreceptor, Alpha-1D adrenoceptor, Alpha-adrenergic receptor 1a

    ID gène

    146, 29413

    UniProt

    P25100
Vous êtes ici:
Chat with us!