×
Pour une meilleure utilisation, nous vous conseillons d’activer Javascript dans votre navigateur.
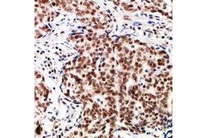
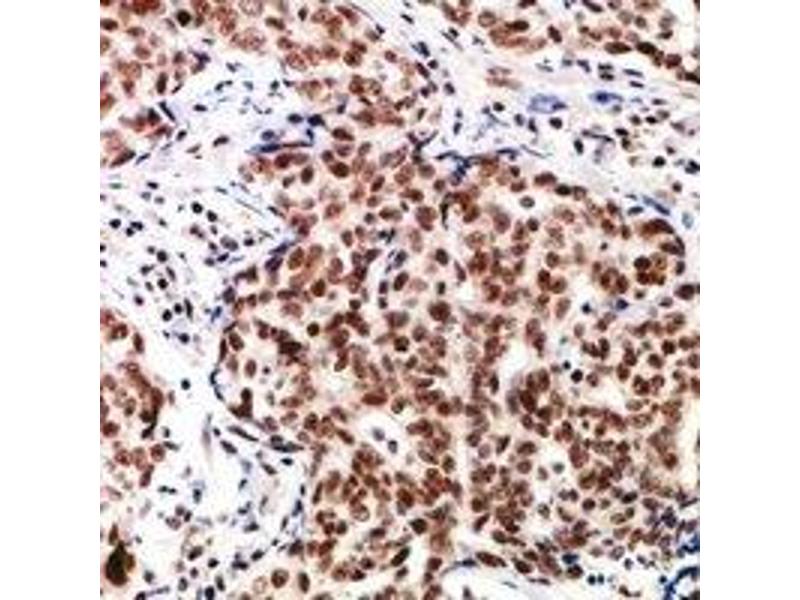
TP53INP2 anticorps (N-Term)
L’anticorps anti-TP53INP2 Polyclonal Lapin est utilisé pour la détection de TP53INP2 dans des échantillons de Humain, Souris et Rat. Il a été validé pour IHC, WB et IF.
N° du produit ABIN7303458
330,77 €
Plus frais de livraison 40,00 € et TVA
30 μL ABIN7303459
50 μL ABIN7685921
100 μL ABIN7303458
200 μL ABIN3223000
30 μL ABIN7303459
50 μL ABIN7685921
100 μL ABIN7303458
200 μL ABIN3223000
Envoi sous 17 à 20 jours ouvrables
Aperçu rapide pour TP53INP2 anticorps (N-Term) (ABIN7303458)
Antigène
Voir toutes TP53INP2 Anticorps
TP53INP2
(Tumor Protein P53 Inducible Nuclear Protein 2 (TP53INP2))
Reactivité
Toutes les réactivités sur TP53INP2 Anticorps
Humain, Souris, Rat
Hôte
Toutes les hôtes sur TP53INP2 Anticorps
Lapin
Clonalité
Toutes les clonalités sur TP53INP2 Anticorps
Polyclonal
Conjugué
Tous les conjugués à travers TP53INP2 Anticorps
Cet anticorp TP53INP2 est non-conjugé
Application
Tous les applications à travers TP53INP2 Anticorps.
Immunohistochemistry (IHC), Western Blotting (WB), Immunofluorescence (IF)
Détail du produit anti-TP53INP2 anticorps
(cache)
Épitope
Tous les épitopes à travers TP53INP2 Anticorps.
N-Term
Fonction
Rabbit polyclonal antibody to TP53INP2
Specificité
Recognizes endogenous levels of TP53INP2 protein.
Attributs du produit
Rabbit polyclonal antibody to TP53INP2
Purification
The antibody was purified by immunogen affinity chromatography.
Immunogène
KLH-conjugated synthetic peptide encompassing a sequence within the N-term region of human TP53INP2. The exact sequence is proprietary.
Alternatives
(show)
Information d'application
(cache)
Indications d'application
WB (1/500 - 1/2000), IH (1/50 - 1/200), IF/IC (1/50 - 1/100)
Restrictions
For Research Use only
Stockage
(cache)
Format
Liquid
Buffer
Liquid in 0.42 % Potassium phosphate, 0.87 % Sodium chloride, pH 7.3, 30 % glycerol, and 0.01 % sodium azide.
Agent conservateur
Sodium azide
Précaution d'utilisation
This product contains Sodium azide: a POISONOUS AND HAZARDOUS SUBSTANCE which should be handled by trained staff only.
Stock
-20 °C
Stockage commentaire
Shipped at 4°C. Upon delivery aliquot and store at -20°C for one year. Avoid freeze/thaw cycles.
Date de péremption
12 months
Détails sur TP53INP2
(cache)
Antigène
TP53INP2
(Tumor Protein P53 Inducible Nuclear Protein 2 (TP53INP2))
Autre désignation
TP53INP2
Sujet
C20orf110, DOR, PINH, Tumor protein p53-inducible nuclear protein 2, Diabetes and obesity-regulated gene, p53-inducible protein U, PIG-U
ID gène
58476, 68728
UniProt
Q8IXH6
Vus récemment
(cache)
Chat with us , powered by LiveChat