Tel:
+49 (0)241 95 163 153
Fax:
+49 (0)241 95 163 155
E-Mail:
orders@anticorps-enligne.fr

CKS1 anticorps (C-Term)

L’anticorps anti-CKS1 Monoclonal Souris est utilisé pour la détection de CKS1 dans des échantillons de Humain. Il a été validé pour WB, IHC et IHC (p).
N° du produit ABIN337043
687,50 €
Plus frais de livraison 40,00 € et TVA
50 μg
Destination: France
Envoi sous 15 à 20 jours ouvrables

Aperçu rapide pour CKS1 anticorps (C-Term) (ABIN337043)

Antigène

Voir toutes CKS1 (CKS1B) Anticorps
CKS1 (CKS1B) (CDC28 Protein Kinase Regulatory Subunit 1B (CKS1B))

Reactivité

  • 43
  • 15
  • 4
  • 2
  • 2
  • 2
  • 2
  • 2
  • 1
  • 1
  • 1
  • 1
  • 1
  • 1
  • 1
  • 1
Humain

Hôte

  • 41
  • 2
Souris

Clonalité

  • 42
  • 1
Monoclonal

Conjugué

  • 17
  • 3
  • 2
  • 2
  • 1
  • 1
  • 1
  • 1
  • 1
  • 1
  • 1
  • 1
  • 1
  • 1
  • 1
  • 1
  • 1
  • 1
  • 1
  • 1
  • 1
  • 1
  • 1
Cet anticorp CKS1 est non-conjugé

Application

  • 36
  • 19
  • 13
  • 13
  • 8
  • 4
  • 3
  • 3
  • 2
  • 1
Western Blotting (WB), Immunohistochemistry (IHC), Immunohistochemistry (Paraffin-embedded Sections) (IHC (p))

Clone

4G12G7
  • Épitope

    • 15
    • 7
    • 4
    • 2
    • 2
    • 1
    • 1
    • 1
    • 1
    • 1
    • 1
    • 1
    C-Term

    Specificité

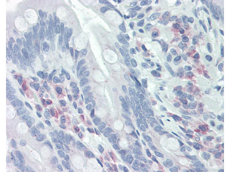
    Recognizes the 11kD human Cks1 protein. No reactivity was observed with a Cks2 recombinant protein. Cross reactivity with an unknown protein at ~35kD has been observed in Western blots of HeLa cell lysates. Reactivity has been confirmed with a Cks1 recombinant protein as well as HeLa cell lysates. IHC reactivity was confirmed with formalin-fixed, paraffin-embedded (FFPE) human tonsil sections.

    Purification

    Protein A purified

    Immunogène

    Synthetic peptide derived from the C-terminal region of the human Cks1 protein.

    Type of Immunogen: Synthetic peptide

    Isotype

    IgG1 kappa
  • Indications d'application

    Approved: IHC, IHC-P (5 μg/mL), WB (1 - 3 μg/mL)

    Usage: Immunohistochemistry: This antibody was validated for use in immunohistochemistry on a panel of 21 formalin-fixed, paraffin-embedded (FFPE) human tissues after heat induced antigen retrieval in  pH 6.0 citrate buffer. After incubation with the primary antibody, slides were incubated with biotinylated secondary antibody, followed by alkaline phosphatase-streptavidin and chromogen. The stained slides were evaluated by a pathologist to confirm staining specificity. The optimal working concentration for this antibody was determined to be 5 μg/mL.

    Commentaires

    Target Species of Antibody: Human

    Restrictions

    For Research Use only
  • Format

    Liquid

    Concentration

    Lot specific

    Buffer

    PBS,  pH 7.4, 0.09 % sodium azide.

    Agent conservateur

    Sodium azide

    Précaution d'utilisation

    This product contains Sodium azide: a POISONOUS AND HAZARDOUS SUBSTANCE which should be handled by trained staff only.

    Stock

    4 °C,-20 °C

    Stockage commentaire

    4°C or -20°C, Avoid freeze-thaw cycles.
  • Antigène

    CKS1 (CKS1B) (CDC28 Protein Kinase Regulatory Subunit 1B (CKS1B))

    Autre désignation

    CKS1B / CKS1

    Sujet

    Name/Gene ID: CKS1B
    Subfamily: CKS

    Synonyms: CKS1B, CDC28 protein kinase 1, CKS-1, CDC28 protein kinase 1B, Ckshs1, PNAS-18, PNAS-143, PNAS-16, CDC2-associated protein CKS1, CKS1

    ID gène

    1163

    UniProt

    P61024

    Pathways

    Mitotic G1-G1/S Phases, Inositol Metabolic Process
Vous êtes ici:
Chat with us!