BRE anticorps (N-Term)
Aperçu rapide pour BRE anticorps (N-Term) (ABIN343906)
Antigène
Voir toutes BRE AnticorpsReactivité
Hôte
Clonalité
Conjugué
Application
-
-
Épitope
- N-Term
-
Purification
- Immunoaffinity purified
-
Isotype
- IgG
-
-
-
-
Indications d'application
-
Approved: ELISA, IHC, IHC-P (5 μg/mL), WB (1 - 2 μg/mL)
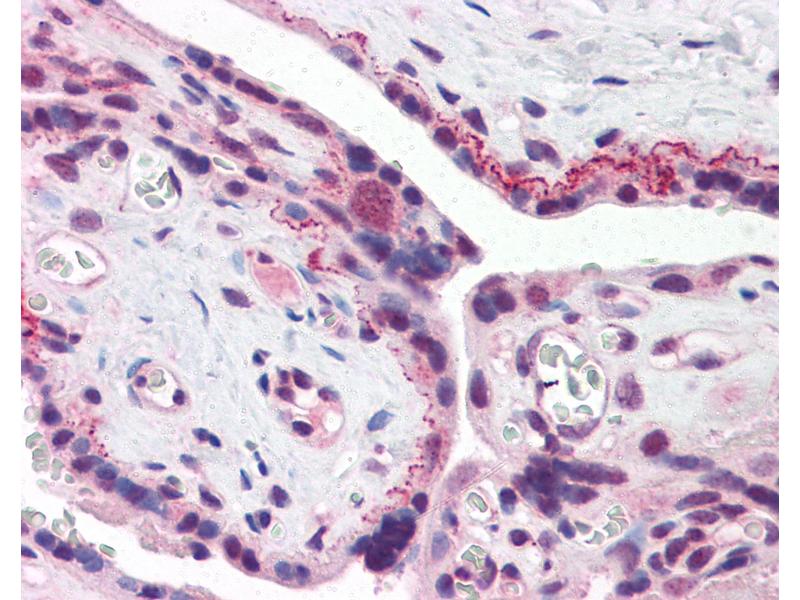
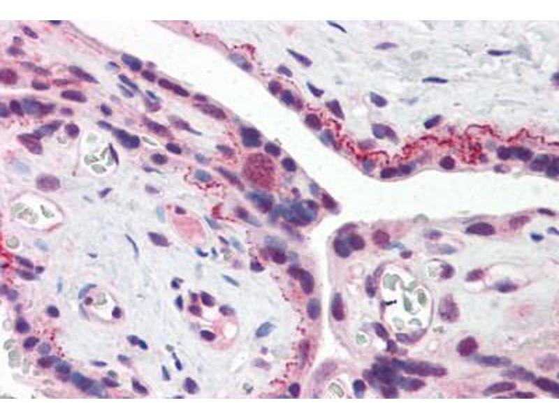
Usage: Immunohistochemistry: This antibody was validated for use in immunohistochemistry on a panel of 21 formalin-fixed, paraffin-embedded (FFPE) human tissues after heat induced antigen retrieval in pH 6.0 citrate buffer. After incubation with the primary antibody, slides were incubated with biotinylated secondary antibody, followed by alkaline phosphatase-streptavidin and chromogen. The stained slides were evaluated by a pathologist to confirm staining specificity. The optimal working concentration for this antibody was determined to be 5 μg/mL. -
Commentaires
-
Target Species of Antibody: Human
-
Restrictions
- For Research Use only
-
-
-
Format
- Liquid
-
Concentration
- Lot specific
-
Buffer
- PBS, 0.02 % sodium azide.
-
Agent conservateur
- Sodium azide
-
Précaution d'utilisation
- This product contains Sodium azide: a POISONOUS AND HAZARDOUS SUBSTANCE which should be handled by trained staff only.
-
Conseil sur la manipulation
- avoid freeze thaw cycles. Store undiluted.
-
Stock
- 4 °C,-20 °C
-
Stockage commentaire
- Store at 4°C for 3 months and -20°C, stable for up to 1 year. Avoid repeated freeze-thaw cycles.
-
Date de péremption
- 12 months
-
-
- BRE (Brain and Reproductive Organ-Expressed (TNFRSF1A Modulator) (BRE))
-
Autre désignation
- BRCC45 / BRE
-
Sujet
-
Name/Gene ID: BABAM2
Synonyms: BABAM2 , BRE, BRCA1-A complex subunit BRE, BRCC45, BRCC4 -
ID gène
- 9577
-
UniProt
- Q9NXR7
-
Pathways
- Positive Regulation of Response to DNA Damage Stimulus
Antigène
-