Tel:
+49 (0)241 95 163 153
Fax:
+49 (0)241 95 163 155
E-Mail:
orders@anticorps-enligne.fr

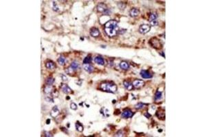
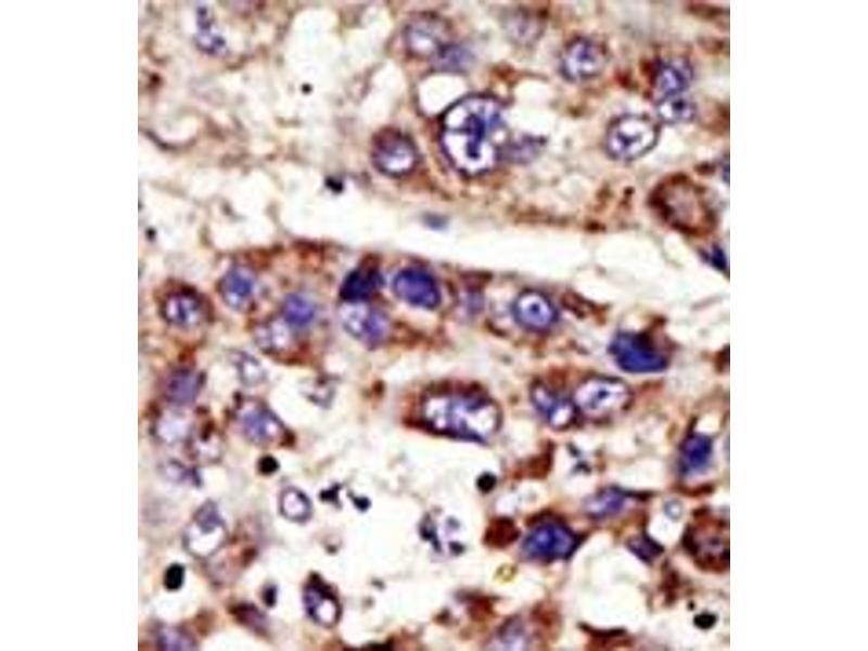
ZMPSTE24 anticorps (C-Term)

Cet anticorps anti-ZMPSTE24 Polyclonal Lapin (ABIN357708) détecte spécifiquement ZMPSTE24 dans WB, IHC (p) et EIA. L’anticorps est réactif avec des échantillons de Humain.
N° du produit ABIN357708
870,77 €
Plus frais de livraison 40,00 € et TVA
0.4 mL
Destination: France
Envoi sous 17 jours ouvrables

Aperçu rapide pour ZMPSTE24 anticorps (C-Term) (ABIN357708)

Antigène

Voir toutes ZMPSTE24 (Zmpste24) Anticorps
ZMPSTE24 (Zmpste24) (Zinc Metalloproteinase, Ste24 (Zmpste24))

Reactivité

  • 37
  • 16
  • 9
  • 2
  • 2
  • 2
  • 1
  • 1
  • 1
  • 1
  • 1
Humain

Hôte

  • 37
  • 1
Lapin

Clonalité

  • 38
Polyclonal

Conjugué

  • 21
  • 7
  • 3
  • 3
  • 3
  • 1
Cet anticorp ZMPSTE24 est non-conjugé

Application

  • 33
  • 27
  • 12
  • 4
  • 2
  • 1
  • 1
Western Blotting (WB), Immunohistochemistry (Paraffin-embedded Sections) (IHC (p)), Enzyme Immunoassay (EIA)
  • Épitope

    • 6
    • 6
    • 5
    • 5
    • 4
    • 2
    • 2
    • 1
    • 1
    • 1
    • 1
    • 1
    C-Term

    Specificité

    This antibody is specific to ZMPSTE24 (C-term). Predicted to cross react with Mouse (100 % Antigen Homology).

    Purification

    Protein G Chromatography, eluted with high and low pH buffers and neutralized immediately, followed by dialysis against PBS.

    Immunogène

    This antibody is generated from rabbits immunized with a KLH conjugated synthetic peptide selected from the C-terminal region of human ZMPSTE24.

    Isotype

    Ig Fraction
  • Indications d'application

    ELISA: 1/1,000. Western Blot: 1/100-1/500. Immunohistochemistry: 1/50-1/100.
    Other applications not tested.
    Optimal dilutions are dependent on conditions and should be determined by the user.

    Restrictions

    For Research Use only
  • Format

    Liquid

    Concentration

    0.25 mg/mL

    Buffer

    PBS with 0.09 % (W/V) Sodium Azide as preservative.

    Agent conservateur

    Sodium azide

    Précaution d'utilisation

    This product contains sodium azide: a POISONOUS AND HAZARDOUS SUBSTANCE which should be handled by trained staff only.

    Conseil sur la manipulation

    Avoid repeated freezing and thawing.

    Stock

    4 °C/-20 °C

    Stockage commentaire

    Store the antibody undiluted at 2-8 °C for one month or (in aliquots) at-20 °C for longer.
  • Antigène

    ZMPSTE24 (Zmpste24) (Zinc Metalloproteinase, Ste24 (Zmpste24))

    Autre désignation

    ZMPSTE24

    Sujet

    ZMPSTE24 is a zinc metalloprotease similar to yeast Ste24p. It is an integral membrane protein belonging to peptidase family M48 and is found in the endoplasmic reticulum and possibly in the Golgi compartment. It is thought to be involved in the proteolytic processing of farnesylated proteins.Synonyms: CAAX prenyl protease 1 homolog, FACE-1, FACE1, Farnesylated proteins-converting enzyme 1, Prenyl protein-specific endoprotease 1, STE24, Zinc metalloproteinase Ste24 homolog

    Poids moléculaire

    54813 Da

    ID gène

    10269, 5874

    UniProt

    O75844
Vous êtes ici:
Chat with us!