Tel:
+49 (0)241 95 163 153
Fax:
+49 (0)241 95 163 155
E-Mail:
orders@anticorps-enligne.fr

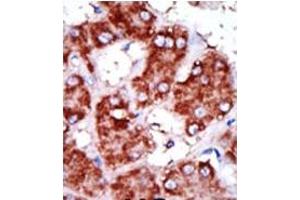
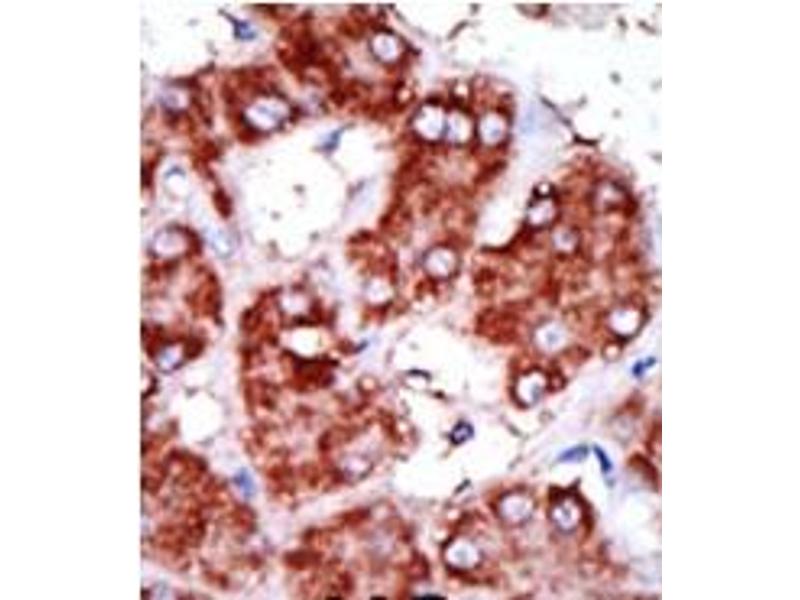
CPT1B anticorps (C-Term)

Cet anticorps Lapin Polyclonal détecte spécifiquement CPT1B dans WB, IHC (p) et EIA. Il présente une réactivité avec des échantillons de Humain.
N° du produit ABIN357772
870,77 €
Plus frais de livraison 40,00 € et TVA
0.4 mL
Destination: France
Envoi sous 17 jours ouvrables

Aperçu rapide pour CPT1B anticorps (C-Term) (ABIN357772)

Antigène

Voir toutes CPT1B Anticorps
CPT1B (Carnitine Palmitoyltransferase 1B (Muscle) (CPT1B))

Reactivité

  • 59
  • 25
  • 20
  • 2
  • 2
  • 2
  • 2
  • 2
  • 1
  • 1
  • 1
  • 1
Humain

Hôte

  • 61
  • 1
  • 1
Lapin

Clonalité

  • 61
  • 2
Polyclonal

Conjugué

  • 30
  • 6
  • 5
  • 5
  • 3
  • 3
  • 1
  • 1
  • 1
  • 1
  • 1
  • 1
  • 1
  • 1
  • 1
  • 1
  • 1
Cet anticorp CPT1B est non-conjugé

Application

  • 56
  • 38
  • 23
  • 13
  • 13
  • 5
  • 5
  • 5
  • 4
  • 4
  • 1
  • 1
Western Blotting (WB), Immunohistochemistry (Paraffin-embedded Sections) (IHC (p)), Enzyme Immunoassay (EIA)
  • Épitope

    • 15
    • 8
    • 7
    • 7
    • 5
    • 4
    • 2
    • 1
    • 1
    • 1
    • 1
    • 1
    • 1
    • 1
    • 1
    • 1
    • 1
    C-Term

    Specificité

    This antibody is specific to CPT1B/CPT1-M (C-term).

    Purification

    Protein G Chromatography, eluted with high and low pH buffers and neutralized immediately, followed by dialysis against PBS.

    Immunogène

    This antibody is generated from rabbits immunized with a KLH conjugated synthetic peptide selected from the C-terminal region of human CPT1B.

    Isotype

    Ig Fraction
  • Indications d'application

    ELISA: 1/1,000. Western blot: 1/50-1/200. Immunohistochemistry: 1/50-1/100.
    Other applications not tested.
    Optimal dilutions are dependent on conditions and should be determined by the user.

    Restrictions

    For Research Use only
  • Format

    Liquid

    Concentration

    0.25 mg/mL

    Buffer

    PBS with 0.09 % (W/V) Sodium Azide as preservative.

    Agent conservateur

    Sodium azide

    Précaution d'utilisation

    This product contains sodium azide: a POISONOUS AND HAZARDOUS SUBSTANCE which should be handled by trained staff only.

    Conseil sur la manipulation

    Avoid repeated freezing and thawing.

    Stock

    4 °C/-20 °C

    Stockage commentaire

    Store the antibody undiluted at 2-8 °C for one month or (in aliquots) at-20 °C for longer.
  • Antigène

    CPT1B (Carnitine Palmitoyltransferase 1B (Muscle) (CPT1B))

    Autre désignation

    CPT1B / CPT1-M

    Sujet

    CPT1B is a member of the carnitine/choline acetyltransferase family, and is the rate-controlling enzyme of the long-chain fatty acid beta-oxidation pathway in muscle mitochondria. This enzyme is required for the net transport of long-chain fatty acyl-CoAs from the cytoplasm into the mitochondria.Synonyms: Carnitine O-palmitoyltransferase 1, Carnitine palmitoyltransferase 1B, Carnitine palmitoyltransferase I-like protein, KIAA1670, muscle isoform

    Poids moléculaire

    87801 Da

    ID gène

    1120, 9606

    UniProt

    Q92523

    Pathways

    AMPK Signaling, Monocarboxylic Acid Catabolic Process
Vous êtes ici:
Chat with us!