Tel:
+49 (0)241 95 163 153
Fax:
+49 (0)241 95 163 155
E-Mail:
orders@anticorps-enligne.fr

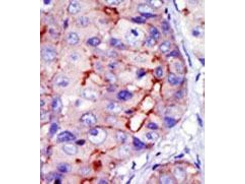
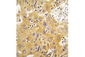
CAMK1D anticorps (C-Term)

Cet anticorps anti-CAMK1D Polyclonal Lapin (ABIN359397) détecte spécifiquement CAMK1D dans WB, IHC (p) et EIA. L’anticorps est réactif avec des échantillons de Humain.
N° du produit ABIN359397
870,77 €
Plus frais de livraison 40,00 € et TVA
0.4 mL
Destination: France
Envoi sous 17 jours ouvrables

Aperçu rapide pour CAMK1D anticorps (C-Term) (ABIN359397)

Antigène

Voir toutes CAMK1D Anticorps
CAMK1D (Calcium/calmodulin-Dependent Protein Kinase ID (CAMK1D))

Reactivité

  • 50
  • 10
  • 6
  • 4
  • 4
  • 4
  • 3
  • 3
  • 2
  • 1
  • 1
  • 1
Humain

Hôte

  • 43
  • 6
  • 1
Lapin

Clonalité

  • 46
  • 4
Polyclonal

Conjugué

  • 38
  • 2
  • 1
  • 1
  • 1
  • 1
  • 1
  • 1
  • 1
  • 1
  • 1
  • 1
Cet anticorp CAMK1D est non-conjugé

Application

  • 37
  • 18
  • 16
  • 10
  • 8
  • 4
  • 4
  • 1
  • 1
  • 1
Western Blotting (WB), Immunohistochemistry (Paraffin-embedded Sections) (IHC (p)), Enzyme Immunoassay (EIA)
  • Épitope

    • 8
    • 5
    • 4
    • 3
    • 2
    • 2
    • 2
    • 1
    • 1
    • 1
    • 1
    • 1
    • 1
    • 1
    • 1
    • 1
    • 1
    • 1
    • 1
    C-Term

    Specificité

    This antibody detects CAMK1D at C-term.

    Purification

    Protein G column, eluted with high and low pH buffers and neutralized immediately, followed by dialysis against PBS.

    Immunogène

    This antibody is generated from rabbits immunized with a KLH conjugated synthetic peptide selected from the C-terminal region of human CAMK1-like protein kinase.

    Isotype

    Ig Fraction
  • Indications d'application

    ELISA 1: 1,000. Western blot 1: 100 - 1: 500. Immunohistochemistry 1: 50 - 1: 100.
    Other applications not tested.
    Optimal dilutions are dependent on conditions and should be determined by the user.

    Restrictions

    For Research Use only
  • Format

    Liquid

    Concentration

    0.25 mg/mL

    Buffer

    PBS with 0.09 % (W/V) sodium azide

    Agent conservateur

    Sodium azide

    Précaution d'utilisation

    This product contains sodium azide: a POISONOUS AND HAZARDOUS SUBSTANCE which should be handled by trained staff only.

    Conseil sur la manipulation

    Avoid repeated freezing and thawing. Should this product contain a precipitate we recommend microcentrifugation before use.

    Stock

    4 °C/-20 °C

    Stockage commentaire

    Store the antibody at 2 - 8 °C up to one month or (in aliquots) at -20 °C for longer.
  • Antigène

    CAMK1D (Calcium/calmodulin-Dependent Protein Kinase ID (CAMK1D))

    Autre désignation

    CAMK1D

    Sujet

    CAMK1-like protein kinase belongs to a proposed calcium-triggered signaling cascade. This protein is expressed in polymorphonuclear leukocytes (PMNs) and may be part of the chemokine signal transduction pathway that regulates granulocyte function. CAMK1-like protein kinase may play a role in apoptosis of erythroleukemia cells. It activates MAP kinase MAPK3, and in vitro, phosphorylates transcription factor CREM isoform Beta and probably CREB1.Synonyms: CKLiK, CaM kinase I delta, CaM kinase ID, CaMKI-delta, Calcium/calmodulin-dependent protein kinase type 1D, CamKI-like protein kinase, Camk1D

    ID gène

    57118, 9606

    UniProt

    Q8IU85
Vous êtes ici:
Chat with us!