Tel:
+49 (0)241 95 163 153
Fax:
+49 (0)241 95 163 155
E-Mail:
orders@anticorps-enligne.fr

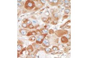
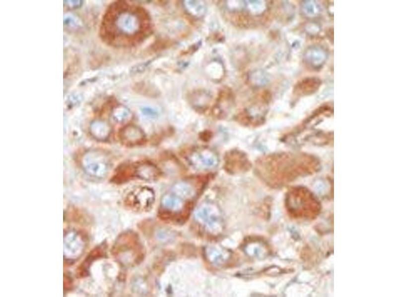
SRPK2 anticorps (C-Term)

L’anticorps anti-SRPK2 Polyclonal Lapin est utilisé pour la détection de SRPK2 dans des échantillons de Humain et Souris. Il a été validé pour WB, IHC (p) et EIA.
N° du produit ABIN359708
870,77 €
Plus frais de livraison 40,00 € et TVA
0.4 mL
Destination: France
Envoi sous 17 jours ouvrables

Aperçu rapide pour SRPK2 anticorps (C-Term) (ABIN359708)

Antigène

Voir toutes SRPK2 Anticorps
SRPK2 (SFRS Protein Kinase 2 (SRPK2))

Reactivité

  • 42
  • 27
  • 3
  • 2
  • 1
  • 1
  • 1
  • 1
Humain, Souris

Hôte

  • 38
  • 4
Lapin

Clonalité

  • 40
  • 2
Polyclonal

Conjugué

  • 20
  • 3
  • 3
  • 3
  • 1
  • 1
  • 1
  • 1
  • 1
  • 1
  • 1
  • 1
  • 1
  • 1
  • 1
  • 1
  • 1
Cet anticorp SRPK2 est non-conjugé

Application

  • 23
  • 16
  • 15
  • 13
  • 13
  • 6
  • 5
  • 4
  • 3
  • 2
  • 1
  • 1
Western Blotting (WB), Immunohistochemistry (Paraffin-embedded Sections) (IHC (p)), Enzyme Immunoassay (EIA)
  • Épitope

    • 15
    • 7
    • 4
    • 3
    • 2
    • 2
    • 1
    • 1
    • 1
    C-Term

    Specificité

    This antibody reacts to SRPK2.

    Purification

    Protein G column, eluted with high and low pH buffers and neutralized immediately, followed by dialysis against PBS

    Immunogène

    This antibody is generated from rabbits immunized with a KLH conjugated synthetic peptide selected from the C-terminal region of human SRPK2.

    Isotype

    Ig Fraction
  • Indications d'application

    ELISA: 1/1,000. Western blotting: 1/100 - 1/500. Immunohistochemistry: 1/50 - 1/100.
    Other applications not tested.
    Optimal dilutions are dependent on conditions and should be determined by the user.

    Restrictions

    For Research Use only
  • Format

    Liquid

    Concentration

    0.25 mg/mL

    Buffer

    PBS with 0.09 % (W/V) sodium azide

    Agent conservateur

    Sodium azide

    Précaution d'utilisation

    This product contains sodium azide: a POISONOUS AND HAZARDOUS SUBSTANCE which should be handled by trained staff only.

    Conseil sur la manipulation

    Avoid repeated freezing and thawing.

    Stock

    4 °C/-20 °C

    Stockage commentaire

    Store the antibody undiluted at 2-8 °C for one month or (in aliquots) at-20 °C for longer.
  • Antigène

    SRPK2 (SFRS Protein Kinase 2 (SRPK2))

    Autre désignation

    SRPK2

    Sujet

    Protein kinases are enzymes that transfer a phosphate group from a phosphate donor, generally the g phosphate of ATP, onto an acceptor amino acid in a substrate protein. By this basic mechanism, protein kinases mediate most of the signal transduction in eukaryotic cells, regulating cellular metabolism, transcription, cell cycle progression, cytoskeletal rearrangement and cell movement, apoptosis, and differentiation. With more than 500 gene products, the protein kinase family is one of the largest families of proteins in eukaryotes. The family has been classified in 8 major groups based on sequence comparison of their tyrosine (PTK) or serine/threonine (STK) kinase catalytic domains. The STE group (homologs of yeast Sterile 7, 11, 20 kinases) consists of 50 kinases related to the mitogen-activated protein kinase (MAPK) cascade families (Ste7/MAP2K, Ste11/MAP3K, and Ste20/MAP4K). MAP kinase cascades, consisting of a MAPK and one or more upstream regulatory kinases (MAPKKs) have been best characterized in the yeast pheromone response pathway. Pheromones bind to Ste cell surface receptors and activate yeast MAPK pathway.Synonyms: SFRS protein kinase 2, Serine/threonine-protein kinase SRPK2

    ID gène

    6733, 9606

    UniProt

    P78362

    Pathways

    Ribonucleoprotein Complex Subunit Organization
Vous êtes ici:
Chat with us!