Tel:
+49 (0)241 95 163 153
Fax:
+49 (0)241 95 163 155
E-Mail:
orders@anticorps-enligne.fr

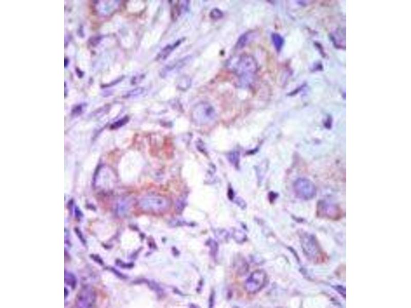
MAP3K9 anticorps (C-Term)

Cet anticorps Lapin Polyclonal détecte spécifiquement MAP3K9 dans WB, IHC (p) et EIA. Il présente une réactivité avec des échantillons de Humain, Souris et Rat.
N° du produit ABIN360307
870,77 €
Plus frais de livraison 40,00 € et TVA
0.4 mL
Destination: France
Envoi sous 17 jours ouvrables

Aperçu rapide pour MAP3K9 anticorps (C-Term) (ABIN360307)

Antigène

Voir toutes MAP3K9 Anticorps
MAP3K9 (Mitogen-Activated Protein Kinase Kinase Kinase 9 (MAP3K9))

Reactivité

  • 74
  • 43
  • 24
  • 2
  • 1
  • 1
  • 1
  • 1
  • 1
Humain, Souris, Rat

Hôte

  • 73
  • 1
Lapin

Clonalité

  • 74
Polyclonal

Conjugué

  • 18
  • 7
  • 6
  • 6
  • 3
  • 3
  • 3
  • 3
  • 3
  • 3
  • 3
  • 3
  • 3
  • 3
  • 3
  • 2
  • 2
Cet anticorp MAP3K9 est non-conjugé

Application

  • 44
  • 39
  • 39
  • 30
  • 20
  • 15
  • 9
  • 2
  • 1
Western Blotting (WB), Immunohistochemistry (Paraffin-embedded Sections) (IHC (p)), Enzyme Immunoassay (EIA)
  • Épitope

    • 16
    • 15
    • 15
    • 9
    • 9
    • 6
    • 2
    • 1
    • 1
    • 1
    • 1
    • 1
    • 1
    C-Term

    Specificité

    This antibody reacts to MLK1.

    Purification

    Protein G column, eluted with high and low pH buffers and neutralized immediately, followed by dialysis against PBS

    Immunogène

    This antibody is generated from rabbits immunized with a KLH conjugated synthetic peptide selected from the C-terminal region of human MLK1.

    Isotype

    Ig Fraction
  • Indications d'application

    ELISA: 1/1,000. Western blotting: 1/100 - 1/500. Immunohistochemistry: 1/50 - 1/100.
    Other applications not tested.
    Optimal dilutions are dependent on conditions and should be determined by the user.

    Restrictions

    For Research Use only
  • Format

    Liquid

    Concentration

    0.25 mg/mL

    Buffer

    PBS with 0.09 % (W/V) sodium azide

    Agent conservateur

    Sodium azide

    Précaution d'utilisation

    This product contains sodium azide: a POISONOUS AND HAZARDOUS SUBSTANCE which should be handled by trained staff only.

    Conseil sur la manipulation

    Avoid repeated freezing and thawing.

    Stock

    4 °C/-20 °C

    Stockage commentaire

    Store the antibody undiluted at 2-8 °C for one month or (in aliquots) at-20 °C for longer.
  • Antigène

    MAP3K9 (Mitogen-Activated Protein Kinase Kinase Kinase 9 (MAP3K9))

    Autre désignation

    MAP3K9

    Sujet

    MLK1 is a MLK(MAP3K) type protein kinase. The catalytic domain of mixed-lineage kinases (MLKs) kinases have amino acid sequence similarity to both the tyr-specific and the ser/thr-specific kinase classes. In addition to thee unusual nature of the kinase catalytic domains, MLK1 and MLK2 contain 2 leu/ile-zipper motifs and a basic sequence near their C-termini. MLK1 is a member of the neuronal apoptotic JNK/c-Jun pathway acting between Rac1/Cdc42 and MKK4 and -7 in death signaling. MLK1 expression has been documented in human epithelial tumor cell lines of colonic, breast and esophageal origin.Synonyms: M3K9, MAP Kinase Kinase Kinase 9, MLK1, Mitogen-activated protein kinase kinase kinase 9, PRKE1

    ID gène

    4293, 9606

    UniProt

    P80192
Vous êtes ici:
Chat with us!