Tel:
+49 (0)241 95 163 153
Fax:
+49 (0)241 95 163 155
E-Mail:
orders@anticorps-enligne.fr

PIM1 anticorps (C-Term)

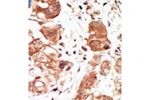
Cet anticorps anti-PIM1 Polyclonal Lapin (ABIN360327) détecte spécifiquement PIM1 dans WB, IHC (p) et EIA. L’anticorps est réactif avec des échantillons de Humain.
N° du produit ABIN360327
870,77 €
Plus frais de livraison 40,00 € et TVA
0.4 mL
Destination: France
Envoi sous 17 jours ouvrables

Aperçu rapide pour PIM1 anticorps (C-Term) (ABIN360327)

Antigène

Voir toutes PIM1 Anticorps
PIM1 (Pim-1 Oncogene (PIM1))

Reactivité

  • 124
  • 71
  • 54
  • 4
  • 4
  • 3
  • 3
  • 3
  • 2
  • 2
  • 2
  • 1
  • 1
  • 1
Humain

Hôte

  • 123
  • 11
Lapin

Clonalité

  • 93
  • 41
Polyclonal

Conjugué

  • 50
  • 17
  • 6
  • 5
  • 4
  • 4
  • 4
  • 4
  • 4
  • 4
  • 3
  • 3
  • 2
  • 2
  • 2
  • 2
  • 2
  • 2
  • 2
  • 2
  • 2
  • 2
  • 2
  • 2
  • 2
Cet anticorp PIM1 est non-conjugé

Application

  • 110
  • 49
  • 40
  • 30
  • 27
  • 26
  • 26
  • 15
  • 15
  • 8
  • 6
  • 4
  • 1
  • 1
  • 1
Western Blotting (WB), Immunohistochemistry (Paraffin-embedded Sections) (IHC (p)), Enzyme Immunoassay (EIA)
  • Épitope

    • 23
    • 16
    • 8
    • 8
    • 6
    • 5
    • 4
    • 3
    • 3
    • 3
    • 3
    • 2
    • 2
    • 2
    • 2
    • 1
    • 1
    • 1
    • 1
    • 1
    C-Term

    Specificité

    This antibody reacts to PIM1.

    Purification

    Protein G column, eluted with high and low pH buffers and neutralized immediately, followed by dialysis against PBS

    Immunogène

    This antibody is generated from rabbits immunized with a KLH conjugated synthetic peptide selected from the C-terminal region of human PIM1.

    Isotype

    Ig Fraction
  • Indications d'application

    ELISA: 1/1,000. Western blotting: 1/100 - 1/500. Immunohistochemistry: 1/50 - 1/100.
    Other applications not tested.
    Optimal dilutions are dependent on conditions and should be determined by the user.

    Restrictions

    For Research Use only
  • Format

    Liquid

    Concentration

    0.25 mg/mL

    Buffer

    PBS with 0.09 % (W/V) sodium azide

    Agent conservateur

    Sodium azide

    Précaution d'utilisation

    This product contains sodium azide: a POISONOUS AND HAZARDOUS SUBSTANCE which should be handled by trained staff only.

    Conseil sur la manipulation

    Avoid repeated freezing and thawing.

    Stock

    4 °C/-20 °C

    Stockage commentaire

    Store the antibody undiluted at 2-8 °C for one month or (in aliquots) at-20 °C for longer.
  • Antigène

    PIM1 (Pim-1 Oncogene (PIM1))

    Autre désignation

    PIM1

    Sujet

    PIM1, which belongs to the Serine/Threonine protein kinase family, is thought to play a role in signal transduction in blood cells. The protooncogene PIM1 encodes a protein kinase upregulated in prostate cancer. It may affect the structure or silencing of chromatin by phosphorylating HP1 gamma/CBX3. PIM1 is expressed primarily in cells of the hematopoietic and germ line lineages.Synonyms: Pim-1, Proto-oncogene serine/threonine-protein kinase pim-1

    ID gène

    5292, 9606

    UniProt

    P11309

    Pathways

    Glycosaminoglycan Metabolic Process
Vous êtes ici:
Chat with us!