Tel:
+49 (0)241 95 163 153
Fax:
+49 (0)241 95 163 155
E-Mail:
orders@anticorps-enligne.fr

HSP70/HSC70 anticorps

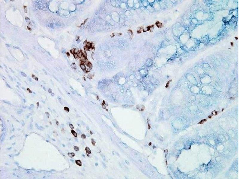
Il existe 4+ publications pour ce produit. L’anticorps anti-HSP70/HSC70 Monoclonal Souris est utilisé pour la détection de HSP70/HSC70 dans des échantillons de Poulet. Il a été validé pour WB, IP, IHC, ICC et IF.
N° du produit ABIN361710
658,21 €
Plus frais de livraison 40,00 € et TVA
200 μg
Destination: France
Envoi sous 7 à 10 jours ouvrables

Aperçu rapide pour HSP70/HSC70 anticorps (ABIN361710)

Antigène

HSP70/HSC70 (HSC70-4) (Heat Shock Protein Cognate 4 (HSC70-4))

Reactivité

  • 34
  • 34
  • 25
  • 23
  • 23
  • 23
  • 23
  • 22
  • 22
  • 21
  • 21
  • 21
  • 21
  • 20
  • 20
  • 13
  • 12
  • 11
  • 10
  • 10
  • 10
  • 4
  • 3
  • 2
  • 1
  • 1
  • 1
  • 1
  • 1
  • 1
  • 1
  • 1
  • 1
  • 1
  • 1
  • 1
  • 1
  • 1
Poulet

Hôte

  • 45
  • 2
Souris

Clonalité

  • 45
  • 2
Monoclonal

Conjugué

  • 11
  • 4
  • 4
  • 4
  • 4
  • 4
  • 4
  • 4
  • 4
  • 4
Cet anticorp HSP70/HSC70 est non-conjugé

Application

  • 47
  • 42
  • 41
  • 22
  • 20
  • 19
  • 19
  • 10
  • 2
  • 2
Western Blotting (WB), Immunoprecipitation (IP), Immunohistochemistry (IHC), Immunocytochemistry (ICC), Immunofluorescence (IF)

Clone

BB70
  • Specificité

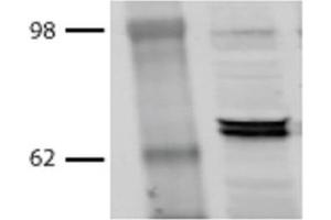
    Detects ~72 (HSP) and ~73 kDa (HSC).

     Réactivité croisée

    Beluga, Poulet, Boeuf (Vache), Chien, Drosophila melanogaster, Poisson, Cobaye, Hamster, Humain, Souris, Porc, Lapin, Rat, Saccharomyces cerevisiae, Mouton, Xenopus laevis

    Purification

    Protein G Purified

    Immunogène

    Chicken HSP70/HSP90 complex

    Isotype

    IgG2a
  • Indications d'application

    • WB (1:1000)
    • IHC (1:200)
    • ICC/IF (1:200)
    • optimal dilutions for assays should be determined by the user.

    Commentaires

    1 μg/ml of ABIN361709 was sufficient for detection of HSP70 and HSC70 in 20 μg of heat shocked HeLa cell lysate by colorimetric immunoblot analysis using Goat anti-mouse IgG:HRP as the secondary antibody.

    Restrictions

    For Research Use only
  • Format

    Liquid

    Concentration

    1 mg/mL

    Buffer

    PBS pH 7.2, 50 % glycerol, 0.09 % sodium azide, Storage buffer may change when conjugated

    Agent conservateur

    Sodium azide

    Précaution d'utilisation

    This product contains Sodium azide: a POISONOUS AND HAZARDOUS SUBSTANCE which should be handled by trained staff only.

    Stock

    -20 °C

    Stockage commentaire

    -20°C
  • Kang, Taldone, Patel, Patel, Rodina, Gozman, Maharaj, Clement, Patel, Brodsky, Young, Chiosis: "Heat shock protein 70 inhibitors. 1. 2,5'-thiodipyrimidine and 5-(phenylthio)pyrimidine acrylamides as irreversible binders to an allosteric site on heat shock protein 70." dans: Journal of medicinal chemistry, Vol. 57, Issue 4, pp. 1188-207, (2014) (PubMed).

    Taldone, Kang, Patel, Patel, Patel, Rodina, Patel, Gozman, Maharaj, Clement, Lu, Young, Chiosis et al.: "Heat shock protein 70 inhibitors. 2. 2,5'-thiodipyrimidines, 5-(phenylthio)pyrimidines, 2-(pyridin-3-ylthio)pyrimidines, and 3-(phenylthio)pyridines as reversible binders to an allosteric site on ..." dans: Journal of medicinal chemistry, Vol. 57, Issue 4, pp. 1208-24, (2014) (PubMed).

    Rodina, Taldone, Kang, Patel, Koren, Yan, DaGama Gomes, Yang, Patel, Shrestha, Ochiana, Santarossa, Maharaj, Gozman, Cox, Erdjument-Bromage, Hendrickson, Cerchietti, Melnick, Guzman, Chiosis: "Affinity purification probes of potential use to investigate the endogenous Hsp70 interactome in cancer." dans: ACS chemical biology, Vol. 9, Issue 8, pp. 1698-705, (2014) (PubMed).

    Rodina, Patel, Kang, Patel, Baaklini, Wong, Taldone, Yan, Yang, Maharaj, Gozman, Patel, Patel, Chirico, Erdjument-Bromage, Talele, Young, Chiosis: "Identification of an allosteric pocket on human hsp70 reveals a mode of inhibition of this therapeutically important protein." dans: Chemistry & biology, Vol. 20, Issue 12, pp. 1469-80, (2013) (PubMed).

  • Antigène

    HSP70/HSC70 (HSC70-4) (Heat Shock Protein Cognate 4 (HSC70-4))

    Autre désignation

    HSP70/HSC70

    Sujet

    HSP70 genes encode abundant heat-inducible 70- kDa HSPs (HSP70s). In most eukaryotes HSP70 genes exist as part of a multigene family. They are found in most cellular compartments of eukaryotes including nuclei, mitochondria, chloroplasts, the endoplasmic reticulum and the cytosol, as well as in bacteria. The genes show a high degree of conservation, having at least 50 % identity (2). The N-terminal two thirds of HSP70s are more conserved than the C-terminal third. HSP70 binds ATP with high affinity and possesses a weak ATPase activity which can be stimulated by binding to unfolded proteins and synthetic peptides (3). When HSC70 (constitutively expressed) present in mammalian cells was truncated, ATP binding activity was found to reside in an N-terminal fragment of 44 kDa which lacked peptide binding capacity. Polypeptide binding ability therefore resided within the C-terminal half (4). The structure of this ATP binding domain displays multiple features of nucleotide binding proteins (5). All HSP70s, regardless of location, bind proteins, particularly unfolded ones. The molecular chaperones of the HSP70 family recognize and bind to nascent polypeptide chains as well as partially folded intermediates of proteins preventing their aggregation and misfolding. The binding of ATP triggers a critical conformational change leading to the release of the bound substrate protein (6). The universal ability of HSP70s to undergo cycles of binding to and release from hydrophobic stretches of partially unfolded proteins determines their role in a great variety of vital intracellular functions such as protein synthesis, protein folding and oligomerization and protein transport. For more information visit our HSP70 Scientific Resource Guide at http://www.HSP70.com.

    ID gène

    423504

    NCBI Accession

    NP_001006686

    UniProt

    P08106
Vous êtes ici:
Chat with us!