Tel:
+49 (0)241 95 163 153
Fax:
+49 (0)241 95 163 155
E-Mail:
orders@anticorps-enligne.fr

USP7 anticorps (C-Term)

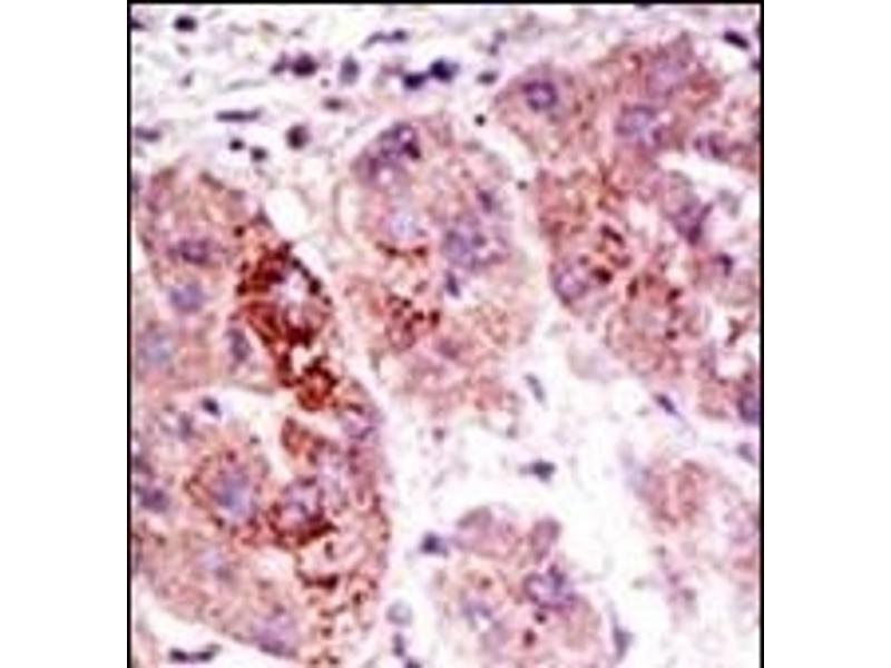
L’anticorps anti-USP7 Polyclonal Lapin est utilisé pour la détection de USP7 dans des échantillons de Humain. Il a été validé pour WB et IHC (p).
N° du produit ABIN388889
434,77 €
Plus frais de livraison 40,00 € et TVA
Destination: France
Envoi sous 14 à 17 jours ouvrables

Aperçu rapide pour USP7 anticorps (C-Term) (ABIN388889)

Antigène

Voir toutes USP7 Anticorps
USP7 (Ubiquitin Specific Peptidase 7 (Herpes Virus-Associated) (USP7))

Reactivité

  • 110
  • 56
  • 51
  • 8
  • 6
  • 5
  • 4
  • 3
  • 3
  • 3
  • 3
  • 2
  • 2
  • 1
  • 1
Humain

Hôte

  • 98
  • 11
  • 2
Lapin

Clonalité

  • 69
  • 42
Polyclonal

Conjugué

  • 50
  • 8
  • 5
  • 5
  • 4
  • 4
  • 4
  • 4
  • 4
  • 4
  • 2
  • 2
  • 2
  • 2
  • 1
  • 1
  • 1
  • 1
  • 1
  • 1
  • 1
  • 1
  • 1
  • 1
  • 1
Cet anticorp USP7 est non-conjugé

Application

  • 91
  • 47
  • 27
  • 25
  • 22
  • 14
  • 13
  • 10
  • 10
  • 10
  • 3
  • 3
  • 2
  • 2
  • 1
Western Blotting (WB), Immunohistochemistry (Paraffin-embedded Sections) (IHC (p))

Clone

RB4281
  • Épitope

    • 15
    • 8
    • 7
    • 6
    • 6
    • 4
    • 4
    • 2
    • 2
    • 2
    • 2
    • 2
    • 2
    • 2
    • 1
    • 1
    • 1
    • 1
    • 1
    • 1
    • 1
    • 1
    • 1
    AA 1060-1090, C-Term

    Homologie

    M, Rat

    Purification

    This antibody is prepared by Saturated Ammonium Sulfate (SAS) precipitation followed by dialysis against PBS.

    Immunogène

    This USP7 (HAUSP) antibody is generated from rabbits immunized with a KLH conjugated synthetic peptide between 1060-1090 amino acids from the C-terminal region of human USP7 (HAUSP).

    Isotype

    Ig Fraction
  • Indications d'application

    WB: 1:1000. IHC-P: 1:50~100. IHC-P: 1:50~100

    Restrictions

    For Research Use only
  • Format

    Liquid

    Buffer

    Purified polyclonal antibody supplied in PBS with 0.09 % (W/V) sodium azide.

    Agent conservateur

    Sodium azide

    Précaution d'utilisation

    This product contains Sodium azide: a POISONOUS AND HAZARDOUS SUBSTANCE which should be handled by trained staff only.

    Stock

    4 °C,-20 °C

    Stockage commentaire

    Maintain refrigerated at 2-8 °C for up to 6 months. For long term storage store at -20 °C in small aliquots to prevent freeze-thaw cycles.

    Date de péremption

    6 months
  • Antigène

    USP7 (Ubiquitin Specific Peptidase 7 (Herpes Virus-Associated) (USP7))

    Autre désignation

    USP7 (HAUSP)

    Sujet

    Modification of target proteins by ubiquitin participates in a wide array of biological functions. Proteins destined for degradation or processing via the 26 S proteasome are coupled to multiple copies of ubiquitin. However, attachment of ubiquitin or ubiquitin-related molecules may also result in changes in subcellular distribution or modification of protein activity. An additional level of ubiquitin regulation, deubiquitination, is catalyzed by proteases called deubiquitinating enzymes, which fall into four distinct families. Ubiquitin C-terminal hydrolases, ubiquitin-specific processing proteases (USPs),1 OTU-domain ubiquitin-aldehyde-binding proteins, and Jab1/Pad1/MPN-domain-containing metallo-enzymes. Among these four families, USPs represent the most widespread and represented deubiquitinating enzymes across evolution. USPs tend to release ubiquitin from a conjugated protein. They display similar catalytic domains containing conserved Cys and His boxes but divergent N-terminal and occasionally C-terminal extensions, which are thought to function in substrate recognition, subcellular localization, and protein-protein interactions.

    Poids moléculaire

    128302

    ID gène

    7874

    NCBI Accession

    NP_003461

    UniProt

    Q93009
Vous êtes ici:
Chat with us!