Tel:
+49 (0)241 95 163 153
Fax:
+49 (0)241 95 163 155
E-Mail:
orders@anticorps-enligne.fr

CDKL5 anticorps (C-Term)

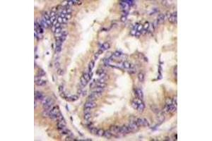
Cet anticorps anti-CDKL5 Polyclonal Lapin (Clone RB3556) (ABIN391362) détecte spécifiquement CDKL5 dans WB et IHC (p). L’anticorps est réactif avec des échantillons de Humain.
N° du produit ABIN391362
434,77 €
Plus frais de livraison 40,00 € et TVA
Destination: France
Envoi sous 14 à 17 jours ouvrables

Aperçu rapide pour CDKL5 anticorps (C-Term) (ABIN391362)

Antigène

Voir toutes CDKL5 Anticorps
CDKL5 (Cyclin-Dependent Kinase-Like 5 (CDKL5))

Reactivité

  • 38
  • 21
  • 2
  • 2
  • 2
  • 2
  • 1
  • 1
  • 1
  • 1
Humain

Hôte

  • 44
  • 1
Lapin

Clonalité

  • 44
  • 1
Polyclonal

Conjugué

  • 18
  • 4
  • 4
  • 4
  • 2
  • 2
  • 1
  • 1
  • 1
  • 1
  • 1
  • 1
  • 1
  • 1
  • 1
  • 1
  • 1
Cet anticorp CDKL5 est non-conjugé

Application

  • 42
  • 23
  • 13
  • 13
  • 8
  • 6
  • 3
  • 2
  • 1
  • 1
  • 1
Western Blotting (WB), Immunohistochemistry (Paraffin-embedded Sections) (IHC (p))

Clone

RB3556
  • Épitope

    • 15
    • 7
    • 7
    • 5
    • 4
    • 2
    • 2
    • 2
    • 1
    • 1
    • 1
    • 1
    AA 982-1012, C-Term

    Purification

    This antibody is prepared by Saturated Ammonium Sulfate (SAS) precipitation followed by dialysis against PBS.

    Immunogène

    This CDKL5 (STK9) antibody is generated from rabbits immunized with a KLH conjugated synthetic peptide between 982-1012 amino acids from the C-terminal region of human CDKL5 (STK9).

    Isotype

    Ig Fraction
  • Indications d'application

    WB: 1:1000. IHC-P: 1:10~50

    Restrictions

    For Research Use only
  • Format

    Liquid

    Buffer

    Purified polyclonal antibody supplied in PBS with 0.09 % (W/V) sodium azide.

    Agent conservateur

    Sodium azide

    Précaution d'utilisation

    This product contains Sodium azide: a POISONOUS AND HAZARDOUS SUBSTANCE which should be handled by trained staff only.

    Stock

    4 °C,-20 °C

    Stockage commentaire

    Maintain refrigerated at 2-8 °C for up to 6 months. For long term storage store at -20 °C in small aliquots to prevent freeze-thaw cycles.

    Date de péremption

    6 months
  • Antigène

    CDKL5 (Cyclin-Dependent Kinase-Like 5 (CDKL5))

    Autre désignation

    CDKL5 (STK9)

    Sujet

    Defects in STK9, a dual-specificity serine/threonine kinase, are a cause of atypical Rett syndrome. Rett syndrome is an X-linked dominant disease. It is a progressive neurologic developmental disorder and one of the most common causes of mental retardation in females. Patients appear to develop normally until 6 to 18 months of age, then gradually lose speech and purposeful hand movements and develop microcephaly, seizures, autism, ataxia, intermittent hyperventilation, and stereotypic hand movements. After initial regression, the condition stabilizes and patients usually survive into adulthood. Rett syndrome due to CDKL5-associated mutations is characterized by a severe early-onset phenotype and atypical features such as infantile spasms.

    Poids moléculaire

    107519

    ID gène

    6792

    NCBI Accession

    NP_001032420, NP_003150

    UniProt

    O76039

    Pathways

    Regulation of Cell Size
Vous êtes ici:
Chat with us!