Tel:
+49 (0)241 95 163 153
Fax:
+49 (0)241 95 163 155
E-Mail:
orders@anticorps-enligne.fr

BAR2 anticorps (AA 236-264)

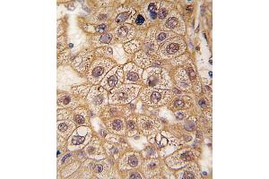
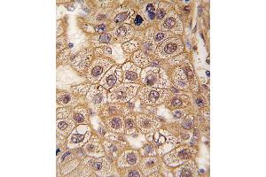
Il existe 1 publication pour ce produit. L’anticorps anti-BAR2 Polyclonal Lapin est utilisé pour la détection de BAR2 dans des échantillons de Humain et Souris. Il a été validé pour WB et IHC (p).
N° du produit ABIN391397
434,77 €
Plus frais de livraison 40,00 € et TVA
Destination: France
Envoi sous 14 à 17 jours ouvrables

Aperçu rapide pour BAR2 anticorps (AA 236-264) (ABIN391397)

Antigène

BAR2 (Phosphinothricin N-Acetyltransferase (BAR2))

Reactivité

Humain, Souris

Hôte

  • 3
Lapin

Clonalité

  • 3
Polyclonal

Conjugué

  • 3
Cet anticorp BAR2 est non-conjugé

Application

  • 2
  • 1
  • 1
Western Blotting (WB), Immunohistochemistry (Paraffin-embedded Sections) (IHC (p))

Clone

RB15325
  • Épitope

    AA 236-264

    Purification

    This antibody is purified through a protein A column, followed by peptide affinity purification.

    Immunogène

    This BAR2 antibody is generated from rabbits immunized with a KLH conjugated synthetic peptide between 236-264 amino acids from human BAR2.

    Isotype

    Ig Fraction
  • Indications d'application

    WB: 1:2000. IHC-P: 1:10~50

    Restrictions

    For Research Use only
  • Format

    Liquid

    Buffer

    Purified polyclonal antibody supplied in PBS with 0.09 % (W/V) sodium azide.

    Agent conservateur

    Sodium azide

    Précaution d'utilisation

    This product contains Sodium azide: a POISONOUS AND HAZARDOUS SUBSTANCE which should be handled by trained staff only.

    Stock

    4 °C,-20 °C

    Stockage commentaire

    Maintain refrigerated at 2-8 °C for up to 6 months. For long term storage store at -20 °C in small aliquots to prevent freeze-thaw cycles.

    Date de péremption

    6 months
  • Simkins, Crawford, Goudreau, Lookingland, Kaplan: "Enhanced humoral immunity in mice lacking CB1 and CB2 receptors (Cnr1-/-/Cnr2-/- mice) is not due to increased splenic noradrenergic neuronal activity." dans: Journal of neuroimmune pharmacology : the official journal of the Society on NeuroImmune Pharmacology, Vol. 9, Issue 4, pp. 544-57, (2014) (PubMed).

  • Antigène

    BAR2 (Phosphinothricin N-Acetyltransferase (BAR2))

    Autre désignation

    BAR2

    Sujet

    Beta-2-adrenergic receptor is a member of the G protein-coupled receptor superfamily. This receptor is directly associated with one of its ultimate effectors, the class C L-type calcium channel Ca(V)1.2. This receptor-channel complex also contains a G protein, an adenylyl cyclase, cAMP-dependent kinase, and the counterbalancing phosphatase, PP2A. The assembly of the signaling complex provides a mechanism that ensures specific and rapid signaling by this G protein-coupled receptor.

    Poids moléculaire

    46459

    ID gène

    154

    NCBI Accession

    NP_000015

    UniProt

    P07550
Vous êtes ici:
Chat with us!